跳转至内容
Merck
CN

MABC97

Anti-S1PR4/EDG6 Antibody, clone 16B9.1

clone 16B9.1, from mouse

别名:

Sphingosine 1-phosphate receptor 4, S1P receptor 4, S1P4, Endothelial differentiation G-protein coupled receptor 6, Sphingosine 1-phosphate receptor Edg-6, S1P receptor Edg-6

登录 查看组织和合同定价。

选择尺寸

变更视图

关于此项目

UNSPSC Code:
12352203
NACRES:
NA.41
eCl@ss:
32160702
Conjugate:
unconjugated
Clone:
16B9.1, monoclonal
Application:
IHC, WB
Citations:
1
技术服务
需要帮助?我们经验丰富的科学家团队随时乐意为您服务。
让我们为您提供帮助


biological source

mouse

Quality Level

conjugate

unconjugated

antibody form

purified immunoglobulin

antibody product type

primary antibodies

clone

16B9.1, monoclonal

species reactivity

rat, human

technique(s)

immunohistochemistry: suitable, western blot: suitable

isotype

IgMκ

NCBI accession no.

UniProt accession no.

shipped in

wet ice

target post-translational modification

unmodified

Gene Information

human ... S1PR4(8698)

General description

Sphingosine 1-phosphate receptor 4 (S1PR4), otherwise known as EDG6, is present, in varying expression levels, in the adult lymph node, bone marrow, and thymus, as well as fetal liver, lung, and thymus. It is activated by the lysosphingolipid sphingosine 1-phosphate, and is coupled to Gi and G12/13 G proteins and via their various effector molecules, SIP4 regulates cell proliferation, differentiation, motility, and migration.
~42 kDa observed

Immunogen

GST-tagged recombinant protein corresponding to human S1PR4/EDG6.

Application

Detect S1PR4/EDG6 using this Anti-S1PR4/EDG6 Antibody, clone 16B9.1 validated for use in Western Blotting & IHC.
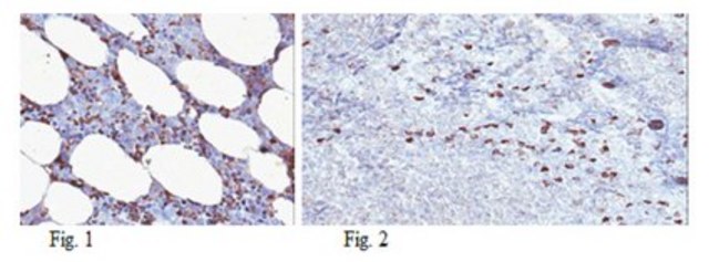
Immunohistochemistry Analysis: A 1:300 dilution from a representative lot detected S1PR4/EDG6 in human red bone marrow and human tonsil tissues.

Physical form

Format: Purified

Analysis Note

Evaluated by Western Blot Analysis in rat spleen tissue lysate.

Western Blot Analysis: 1 µg/mL of this antibody detected S1PR4/EDG6 in 10 µg of rat spleen tissue lysate.

Other Notes

Concentration: Please refer to the Certificate of Analysis for the lot-specific concentration.


Still not finding the right product?

试用我们的 产品选型工具 工具缩小选择范围


wgk

WGK 2

flash_point_f

Not applicable

flash_point_c

Not applicable

存储类别

12 - Non Combustible Liquids



分析证书(COA)

输入产品批号来搜索 分析证书(COA) 。批号可以在产品标签上"批“ (Lot或Batch)字后找到。

已有该产品?

在文件库中查找您最近购买产品的文档。

访问文档库



Qun Zhu et al.
The FEBS journal, 281(12), 2861-2870 (2014-05-07)
It has been reported that the effect of inflammatory cytokines on β-cell destruction in type 1 diabetes is concentration-dependent. However, the underlying mechanisms remain unclear. In the present study, we found that a high concentration of cytokines promoted apoptosis in



全球贸易项目编号

货号GTIN
MABC9704053252648366