跳转至内容
Merck
CN

MABD175

Anti-SHH Antibody, clone 5H4

clone 5H4, from mouse

别名:

HHG-1, Sonic hedgehog protein

登录 查看组织和合同定价。

选择尺寸

变更视图

关于此项目

UNSPSC Code:
12352203
NACRES:
NA.41
eCl@ss:
32160702
Clone:
5H4, monoclonal
Species reactivity:
mouse, human, monkey
Application:
FACS, IHC, WB
Citations:
-
技术服务
需要帮助?我们经验丰富的科学家团队随时乐意为您服务。
让我们为您提供帮助


biological source

mouse

Quality Level

antibody form

purified antibody

antibody product type

primary antibodies

clone

5H4, monoclonal

species reactivity

mouse, human, monkey

technique(s)

flow cytometry: suitable, immunohistochemistry: suitable, western blot: suitable

isotype

IgG1

shipped in

wet ice

target post-translational modification

unmodified

Gene Information

human ... SHH(6469)

General description

Sonic hedgehog protein (SHH) or alternatively known as HHG-1, is a very important developmental intercellular signaling factor. SHH protein is cleaved into to active forms, an N-terminal product that stays associated with the cell membrane or forms freely diffusible multimers and a C-terminal form that diffuses into the extracellular matrix. SHH is expressed in fetal intestine, liver, lung and kidney but not normally in adult tissues except during some disease state like cancerous tumors. The intercellular signaling triggered by SHH is essential for a variety of patterning events during development including the development of the notochord, neural tube and plate, as well as the polarizing of the anterior-posterior axis of developing limb buds. Because of its importance in patterning during development, defects in SHH are the cause of a number of abnormalities including structural eye and brain abnormalities, teeth and bone malformations and finally limb and bone developmental defects. EMD-Millipore’s Anti-SHH mouse monoclonal antibody has been tested in western blot against recombinant antigen and cell lysates from HepG2, PANC-1, HeLa, SK-N-SH, F9, NIH3T3 and COS7 cells and in paraffin embedded immunohistochemistry of human liver cancer tissue sections. The antibody has also been successfully tested by flow cytometry against HeLa cells in culture.
~50 kDa observed. Uncharacterized bands may appear in some lysate(s).

Immunogen

Purified recombinant fragment of human SHH expressed in E. Coli.

Application

Anti-SHH Antibody, clone 5H4 is a highly specific mouse monoclonal antibody, that targets Sonic Hedgehog & has been tested in western blotting, Flow Cytometry & IHC.
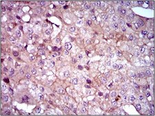
Immunohistochemistry Analysis: A 1:200-1,000 dilution from a representative lot detected SHH in liver cancer tissue.

Flow Cytometry Analysis: A 1:200-400 dilution from a representative lot detected SHH in non serum starved HeLa cells.

Optimal working dilutions must be determined by end user.
Research Category
Stem Cell Research
Research Sub Category
Pluripotent & Early Differentiation

Physical form

Format: Purified
Protein G Purified
Purified mouse monoclonal in PBS with up to 0.1% sodium azide and 0.05% protein stabilizer.

Preparation Note

Stable for 1 year at 2-8°C from date of receipt.

Analysis Note

Control
LNCaP, HepG2, PANC-1, HeLa, SK-N-SH, F9, NIH3T3, COS7 cell lysates
Evaluated by Western Blotting in LNCaP, HepG2, PANC-1, HeLa, SK-N-SH, F9, NIH3T3, COS7 cell lysates.

Western Blotting Analysis: A 1:500-2,000 dilution of this antibody detected SHH in LNCaP, HepG2, PANC-1, HeLa, SK-N-SH, F9, NIH3T3, COS7 cell lysates.

Disclaimer

Unless otherwise stated in our catalog or other company documentation accompanying the product(s), our products are intended for research use only and are not to be used for any other purpose, which includes but is not limited to, unauthorized commercial uses, in vitro diagnostic uses, ex vivo or in vivo therapeutic uses or any type of consumption or application to humans or animals.


Still not finding the right product?

试用我们的 产品选型工具 工具缩小选择范围


存储类别

12 - Non Combustible Liquids

wgk

WGK 2

flash_point_f

Not applicable

flash_point_c

Not applicable



分析证书(COA)

输入产品批号来搜索 分析证书(COA) 。批号可以在产品标签上"批“ (Lot或Batch)字后找到。

已有该产品?

在文件库中查找您最近购买产品的文档。

访问文档库



全球贸易项目编号

货号GTIN
MABD17504053252918179