跳转至内容
Merck
CN

MABD411

Anti-BMP4 Antibody, clone PA354-16.1.1

clone PA354-16.1.1, from mouse

别名:

Bone morphogenetic protein 4, BMP-4, Bone morphogenetic protein 2B, BMP-2B

登录 查看组织和合同定价。

选择尺寸

变更视图

关于此项目

UNSPSC Code:
12352203
NACRES:
NA.75
eCl@ss:
32160702
Conjugate:
unconjugated
Clone:
PA354-16.1.1, monoclonal
Application:
FACS, IHC, WB
Citations:
-
技术服务
需要帮助?我们经验丰富的科学家团队随时乐意为您服务。
让我们为您提供帮助


biological source

mouse

Quality Level

conjugate

unconjugated

antibody form

purified immunoglobulin

antibody product type

primary antibodies

clone

PA354-16.1.1, monoclonal

species reactivity

human

technique(s)

flow cytometry: suitable, immunohistochemistry: suitable, western blot: suitable

isotype

IgG2aκ

NCBI accession no.

UniProt accession no.

shipped in

wet ice

target post-translational modification

unmodified

Gene Information

human ... BMP4(652)

General description

47 kDa calculated. The calculated molecular weight is 47 kDa, however BMP4 has been shown as a ~80 and ~90 kDa band in western blots with the use of a MBP tag.
Bone morphogenetic protein 4 (BMP4), also known as Bone morphogenetic protein 4 (BMP-4), Bone morphogenetic protein 2B (BMP-2B), and encoded by the gene name BMP4/ BMP2B/ DVR4, is morphogenetic protein that induces cartilage and bone formation. Similar to other bone morphogenetic proteins, BMP4 has been shown to play an important role in bone and cartilage development, specifically tooth and limb development and fracture repair. It has been shown to be involved in muscle development, bone mineralization, and uteric bud development. BMP4 has also been implicated in Fibrodysplasia Ossificans Progressiva. In human embryonic development, BMP4 is a critical signalling molecule required for the early differentiation of the embryo and establishing of a dorsal-ventral axis. BMP4 is secreted from the dorsal portion of the notochord, and it acts in concert with sonic hedgehog (released from the ventral portion of the notochord) to establish a dorsal-ventral axis for the differentiation of later structures. BMP4 stimulates differentiation of overlying ectodermal tissue. Inhibition of the BMP4 signal (by chordin, noggin, or follistatin) causes the ectoderm to differentiate into the neural plate. If these cells also receive signals from FGF, they will differentiate into the spinal cord; in the absence of FGF the cells become brain tissue.

Immunogen

MBP-tagged recombinant protein corresponding to human BMP4.

Application

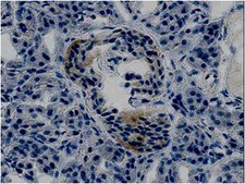
Immunohistochemistry Analysis: A 1:50 dilution from a representative lot detected BMP4 in human pancreas tissue.
Flow Cytometry Analysis: 1:200 dilution of this antibody from a representative lot detected BMP4 in Caco-2 cells (Data courtesy of Juan Ignacio Imbaud, Protein Alternatives).
Research Category
Stem Cell Research
Research Sub Category
Cell Cycle, DNA Replication & Repair
This Anti-BMP4 antibody is validated for use in WB, FC, IH for the detection of BMP4.

Physical form

Format: Purified
Protein G Purified
Purified mouse monoclonal IgG2aκ in buffer containing 0.1 M Tris-Glycine (pH 7.4), 150 mM NaCl with 0.05% sodium azide.

Preparation Note

Stable for 1 year at 2-8°C from date of receipt.

Analysis Note

Evaluated by Western Blotting in human recombinant protein BMP4.

Western Blotting Analysis: 0.5 µg/mL of this antibody detected 0.01 µg human recombinant protein BMP4.

Other Notes

Concentration: Please refer to lot specific datasheet.

Disclaimer

Unless otherwise stated in our catalog or other company documentation accompanying the product(s), our products are intended for research use only and are not to be used for any other purpose, which includes but is not limited to, unauthorized commercial uses, in vitro diagnostic uses, ex vivo or in vivo therapeutic uses or any type of consumption or application to humans or animals.


Still not finding the right product?

试用我们的 产品选型工具 工具缩小选择范围


存储类别

12 - Non Combustible Liquids

wgk

WGK 1



分析证书(COA)

输入产品批号来搜索 分析证书(COA) 。批号可以在产品标签上"批“ (Lot或Batch)字后找到。

已有该产品?

在文件库中查找您最近购买产品的文档。

访问文档库



全球贸易项目编号

货号GTIN
MABD41104055977116953