跳转至内容
Merck
CN

MABE150

Anti-KDM5B Antibody, clone 15G8.1

clone 15G8.1, from mouse

别名:

Lysine-specific demethylase 5B, KDM5B, Cancer/testis antigen 31, CT31, Histone demethylase JARID1B, Jumonji/ARID domain-containing protein 1B, PLU-1, Retinoblastoma-binding protein 2 homolog 1, RBP2-H1

登录 查看组织和合同定价。

选择尺寸

变更视图

关于此项目

UNSPSC Code:
12352203
NACRES:
NA.41
eCl@ss:
32160702
Conjugate:
unconjugated
Clone:
15G8.1, monoclonal
Application:
IHC, WB
Citations:
-
技术服务
需要帮助?我们经验丰富的科学家团队随时乐意为您服务。
让我们为您提供帮助


biological source

mouse

Quality Level

conjugate

unconjugated

antibody form

purified immunoglobulin

antibody product type

primary antibodies

clone

15G8.1, monoclonal

species reactivity

human, mouse

technique(s)

immunohistochemistry: suitable (paraffin), western blot: suitable

isotype

IgG2aκ

NCBI accession no.

UniProt accession no.

shipped in

wet ice

target post-translational modification

unmodified

Gene Information

human ... KDM5B(10765)

General description

Lysine-specific demethylase 5B (UniProt Q9UGL1; also known as Cancer/testis antigen 31, CT31, Histone demethylase JARID1B, Jumonji AT rich interactive domain 1B, Jumonji/ARID domain-containing protein 1B, PLU-1, Protein phosphatase 1 regulatory subunit 98, Putative DNA/chromatin binding motif, RBP2-H1, Retinoblastoma-binding protein 2 homolog 1) is encoded by the KDM5B (also known as PLU1, PUT1, JARID1B, PPP1R98, RBBP2H1, RBBP2H1A) gene (Gene ID 10765) in human. JARID1B/KDM5B is an H3K4me2/3 demethylase that regulates self-renewal and differentiation in a cell type-specific manner. JARID1B/KDM5B is highly expressed in embryonic stem cells (ESCs), hematopoietic stem cells (HSCs), and in various primary cancers including melanoma, breast, testicular, and is upregulated in leukemic cell lines.
~175 kDa observed. Uncharacterized band(s) may appear in some lysates.

Immunogen

Epitope: Region between ARID and JmjC domain
GST-tagged recombinant protein corresponding to the region between ARID and JmjC domain of human KDM5B.

Application

This Anti-KDM5B Antibody, clone 15G8.1 is validated for use in Western Blotting and Immunohistochemistry (Paraffin) for the detection of KDM5B.
Western Blotting Analysis: 0.5 µg/mL from a representative lot detected KDM5B in 10 µg of MCF-7 cell lysate.
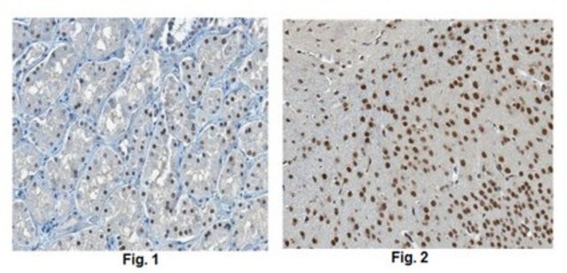
Immunohistochemistry Analysis: A 1:50 dilution from a representative lot detected KDM5B in human kidney and mouse cerebral cortex tissue.

Physical form

Format: Purified

Analysis Note

Evaluated by Western Blotting in HeLa cell lysate.

Western Blotting Analysis: 0.5 µg/mL of this antibody detected KDM5B in 10 µg of HeLa cell lysate.

Other Notes

Concentration: Please refer to lot specific datasheet.


Still not finding the right product?

试用我们的 产品选型工具 工具缩小选择范围


存储类别

12 - Non Combustible Liquids

wgk

WGK 1

flash_point_f

Not applicable

flash_point_c

Not applicable



分析证书(COA)

输入产品批号来搜索 分析证书(COA) 。批号可以在产品标签上"批“ (Lot或Batch)字后找到。

已有该产品?

在文件库中查找您最近购买产品的文档。

访问文档库


相关内容

"Mods – modifications – small alterations can have a big impact on form and function. In the motorsports world, stock vehicles are modified to enhance their performance. Modifications, or mods, to the engine, drive train, intake and exhaust components add up to provide phenomenal performance gains that can be measured as horsepower and torque increases, which yield a competitive advantage, and result in reduced run times. In biology, proteins undergo modifications that alter their function. Some proteins require the modifications in order to perform their function effectively, whether it’s a pro-protein that is cleaved to produce an active enzyme, or a protein that is phosphorylated to facilitate a signaling process. Other proteins, such as histones, undergo modifications that regulate gene expression and alter cellular function. There are several post translational modifications such as acetylation, methylation, phosphorylation, and ubiquitination that impact protein function and activity. As a result, the analysis of proteins and their post-translational modifications are particularly important for the study of normal and disease-associated processes. New antibodies to detect phospho Histidines are now available from EMD Millipore."





全球贸易项目编号

货号GTIN
MABE15004055977288353