跳转至内容
Merck
CN

MABE222

Anti-JMJD2A Antibody, clone 8B7.1, rabbit monoclonal

clone 8B7.1, from rabbit

别名:

JMJD, Lysine-specific demethylase 4A, JmjC domain-containing histone demethylation protein 3A, Jumonji domain-containing protein 2A

登录 查看组织和合同定价。

选择尺寸

变更视图

关于此项目

UNSPSC Code:
12352203
NACRES:
NA.41
eCl@ss:
32160702
Conjugate:
unconjugated
Clone:
8B7.1, monoclonal
Application:
IHC, WB
Citations:
-
技术服务
需要帮助?我们经验丰富的科学家团队随时乐意为您服务。
让我们为您提供帮助


biological source

rabbit

Quality Level

conjugate

unconjugated

antibody form

purified immunoglobulin

antibody product type

primary antibodies

clone

8B7.1, monoclonal

species reactivity

human

technique(s)

immunohistochemistry: suitable, western blot: suitable

isotype

IgG1κ

NCBI accession no.

UniProt accession no.

shipped in

wet ice

target post-translational modification

unmodified

Gene Information

human ... KDM4A(9682)

General description

Jumonji domain-containing protein 2A (JMJD2A), or KDM4A, is a ubiquitously expressed demethylase enzyme, which belongs to the JMJD2 family. Like other members of this family, JMJD2A contains multiple domains: two Tudor domains, two PHD-type zinc fingers, one JmjC domain, and one JmjN domain. Little is known about the function of most of these domains; however, they are believed to be involved in transcriptional regulation. JMJD2A functions as a histone demethylase with specific activity against trimethylated Histone H3 Lysine residues Lys-9 and Lys-36. It has no effect on any other lysine residues, or on mono- and dimethylated Lys-9 and Lys-36. The demethylation of these residues induces the production of succinate and formaldehyde. Studies have shown that JMJD2A recruits NCOR1 and histone deacetylases, causing the respective transcriptional repression of E2Fand ASCL2 responsive promoters.
~120 kDa observed

Immunogen

KLH-conjugated linear peptide corresponding to human JMJD2A.

Application

This Anti-JMJD2A Antibody, clone 8B7.1 is validated for use in Western Blotting, IHC for the detection of JMJD2A.
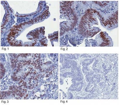
Immunohistochemistry Analysis: A 1:100 dilution from a representative lot detected JMJD2A in human colorectal adenocarcinoma cells.
Research Category
Epigenetics & Nuclear Function
Research Sub Category
Histone Modifying Proteins

Physical form

Format: Purified
Protein G Purified
Purified mouse monoclonal IgG1κ in buffer containing 0.1 M Tris-Glycine (pH 7.4), 150 mM NaCl with 0.05% sodium azide.

Preparation Note

Stable for 1 year at 2-8°C from date of receipt.

Analysis Note

Control
U2OS nuclear extract
Evaluated by Western Blot in U2OS nuclear extract.

Western Blot Analysis: A 1:1,000 dilution of this antibody detected JMJD2A in 10 µg of U2OS nuclear extract.

Disclaimer

Unless otherwise stated in our catalog or other company documentation accompanying the product(s), our products are intended for research use only and are not to be used for any other purpose, which includes but is not limited to, unauthorized commercial uses, in vitro diagnostic uses, ex vivo or in vivo therapeutic uses or any type of consumption or application to humans or animals.


Still not finding the right product?

试用我们的 产品选型工具 工具缩小选择范围


存储类别

12 - Non Combustible Liquids

wgk

WGK 1

flash_point_f

Not applicable

flash_point_c

Not applicable



分析证书(COA)

输入产品批号来搜索 分析证书(COA) 。批号可以在产品标签上"批“ (Lot或Batch)字后找到。

已有该产品?

在文件库中查找您最近购买产品的文档。

访问文档库



全球贸易项目编号

货号GTIN
MABE22204053252698583