跳转至内容
Merck
CN

MABE415

抗-FoxP2 抗体,克隆FOXP2-73A/8

clone FOXP2-73A/8, from mouse

别名:

Forkhead box protein P2, CAG repeat protein 44, Trinucleotide repeat-containing gene 10 protein

登录 查看组织和合同定价。

选择尺寸

变更视图

关于此项目

UNSPSC Code:
12352203
NACRES:
NA.41
eCl@ss:
32160702
Conjugate:
unconjugated
Clone:
FOXP2-73A/8, monoclonal
Application:
IHC, IP, WB
Citations:
8
技术服务
需要帮助?我们经验丰富的科学家团队随时乐意为您服务。
让我们为您提供帮助


biological source

mouse

Quality Level

conjugate

unconjugated

antibody form

purified immunoglobulin

antibody product type

primary antibodies

clone

FOXP2-73A/8, monoclonal

species reactivity

human

technique(s)

immunohistochemistry: suitable, immunoprecipitation (IP): suitable, western blot: suitable

isotype

IgG1κ

NCBI accession no.

UniProt accession no.

shipped in

wet ice

target post-translational modification

unmodified

Gene Information

human ... FOXP2(93986)

General description

叉头盒蛋白P2(FoxP2)是一种多结构域转录抑制因子,属于Fox蛋白家族。FoxP2蛋白包含一个叉头盒DNA结合结构域,该结构域是FOX 转录因子的特征性结构。此外,该蛋白含有一条多聚谷氨酰胺链以及锌指和亮氨酸拉链基序。为了使 FoxP2结合DNA,它与FoxP1和FoxP4形成同型二聚体和异型二聚体。叉头盒蛋白家族在免疫反应、器官发育和癌症的发展中起着重要作用。脊椎动物功能研究表明该基因在神经可塑性的调节中起一定作用。与这些发现一致的是,人类FoxP2 突变与言语和语言障碍有关。
观测值〜80 kDa。Uniprot描述了9-83 kDa之间的9种亚型

Immunogen

GST标记的重组蛋白,对应于人FoxP2的N末端。

Application

使用经过验证可用于蛋白质印迹和&IHC的该小鼠单克隆抗-FoxP2抗体(克隆FOXP2-73A/8 )检测FOXP2。
蛋白印迹分析:1 µg/mL的代表性批次在10 µg THP-1 细胞裂解液中检测到FoxP2。

免疫沉淀分析(IP): 研究证明该抗体的一个代表性批次采用生长阻滞的143B 使FoxP2免疫沉淀(Gascoyne D.M., et al. (2015).PLoS One, 10(6):e0128513)。

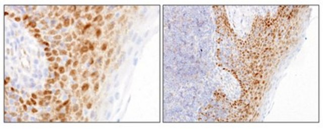
免疫组织化学分析:一个来自独立实验室的代表性批次在人扁桃体组织中检测到FoxP2(Campbell, A. J., et al. (2010).Br J Haematol.149(2):221-230.)。

免疫组化分析:一个来自独立实验室的代表性批次在鼠E17.5长骨的增殖软骨细胞中检测到FoxP2(Gascoyne D.M., et al. (2015).PLoS One, 10(6):e0128513)。

Biochem/physiol Actions

该抗体识别70 kDa、48 kDa和40 kDa的FoxP2亚型。

Physical form

形式:纯化

Analysis Note

已通过蛋白质印迹对HeLa细胞裂解液进行了评估。

蛋白质印迹分析:1 µg/mL该抗体可在10 µg HeLa细胞裂解液中检测到FoxP2。

Other Notes

浓度:请参考批次特异性浓缩物的检验报告。


Still not finding the right product?

试用我们的 产品选型工具 工具缩小选择范围


存储类别

12 - Non Combustible Liquids

wgk

WGK 1

flash_point_f

Not applicable

flash_point_c

Not applicable



分析证书(COA)

输入产品批号来搜索 分析证书(COA) 。批号可以在产品标签上"批“ (Lot或Batch)字后找到。

已有该产品?

在文件库中查找您最近购买产品的文档。

访问文档库



Aberrant expression of the neuronal transcription factor FOXP2 in neoplastic plasma cells.
Campbell, Andrew J, et al.
British Journal of Haematology, 149, 221-230 (2010)
Pedro M Rodenas-Cuadrado et al.
The Journal of comparative neurology, 526(8), 1235-1266 (2018-01-04)
Genes including FOXP2, FOXP1, and CNTNAP2, have been implicated in human speech and language phenotypes, pointing to a role in the development of normal language-related circuitry in the brain. Although speech and language are unique to humans a comparative approach
Takako Kita et al.
The European journal of neuroscience, 44(11), 2899-2908 (2016-10-08)
Projections from the posterior intralaminar thalamic nuclei and the superior colliculus (SC) to the subthalamic nucleus (STN) and the zona incerta (ZI) have been described in the primate and rodent. The aims of this study was to investigate several questions



全球贸易项目编号

货号GTIN
MABE41504053252923708