跳转至内容
Merck
CN

MABE927

Anti-SAE2 Antibody, clone 7H8.1

clone 7H8.1, from mouse

别名:

SUMO-activating enzyme subunit 2, Anthracycline-associated resistance ARX, Ubiquitin-like 1-activating enzyme E1B, Ubiquitin-like modifier-activating enzyme 2

登录 查看组织和合同定价。

选择尺寸

变更视图

关于此项目

UNSPSC Code:
12352203
NACRES:
NA.41
eCl@ss:
32160702
Conjugate:
unconjugated
Clone:
7H8.1, monoclonal
Application:
IHC, WB
Citations:
2
技术服务
需要帮助?我们经验丰富的科学家团队随时乐意为您服务。
让我们为您提供帮助


biological source

mouse

Quality Level

conjugate

unconjugated

antibody form

purified immunoglobulin

antibody product type

primary antibodies

clone

7H8.1, monoclonal

species reactivity

rat, human, mouse

technique(s)

immunohistochemistry: suitable, western blot: suitable

isotype

IgG1κ

NCBI accession no.

UniProt accession no.

shipped in

wet ice

target post-translational modification

unmodified

Gene Information

human ... UBA2(10054)

General description

SUMO-activating enzyme subunit 2, also known as Anthracycline-associated resistance ARX, or Ubiquitin-like 1-activating enzyme E1B, and encoded by the gene name UBA2 or SAE2 or UBLE1B, belongs to the ubiquitin-activating E1 family. SUMOs are a family of small, related proteins (SUMO-1/2/3/4) that can be enzymatically attached to a target protein by a post-translational modification process termed sumoylation, a major regulator of protein function in cellular processes such as nuclear transport, transcriptional regulation, apoptosis and protein stability. This sumoylation is effected by the heterodimeric enzyme SAE1/SAE2 and the SUMO-1-conjugating enzyme Ubch9. The sumoylation pathway mediated by SAE1/SAE2 is distinct from other ubiquitin-like protein (Ubl) pathways.
~80 kDa observed. The calculated molecular weight is 72 kDa, however SAE2 has been shown as a ~70-90 kDa band in western blots (Truong, K., et al. (2012). J. Biol. Chem. 287(51):42611-42619).

Immunogen

GST-tagged recombinant protein corresponding to human SAE2.

Application

Anti-SAE2 Antibody, clone 7H8.1 | MABE927 is an antibody against SAE2 Antibody for use in Western Blotting, Immunohistochemistry.
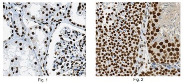
Immunohistochemistry Analysis: A 1:250-1,000 dilution from a representative lot detected SAE2 in human kidney and rat testis tissue.
Research Category
Epigenetics & Nuclear Function
Research Sub Category
Nuclear Receptors

Physical form

Format: Purified
Protein G Purified
Purified mouse monoclonal IgG1κ in buffer containing 0.1 M Tris-Glycine (pH 7.4), 150 mM NaCl with 0.05% sodium azide.

Preparation Note

Stable for 1 year at 2-8°C from date of receipt.

Analysis Note

Evaluated by Western Blotting in Neuro-2a cell lysate.

Western Blotting Analysis: 1.0 µg/mL of this antibody detected SAE2 in 10 µg of Neuro-2a cell lysate.

Other Notes

Concentration: Please refer to lot specific datasheet.

Disclaimer

Unless otherwise stated in our catalog or other company documentation accompanying the product(s), our products are intended for research use only and are not to be used for any other purpose, which includes but is not limited to, unauthorized commercial uses, in vitro diagnostic uses, ex vivo or in vivo therapeutic uses or any type of consumption or application to humans or animals.


Still not finding the right product?

试用我们的 产品选型工具 工具缩小选择范围


存储类别

12 - Non Combustible Liquids

wgk

WGK 1

flash_point_f

Not applicable

flash_point_c

Not applicable



分析证书(COA)

输入产品批号来搜索 分析证书(COA) 。批号可以在产品标签上"批“ (Lot或Batch)字后找到。

已有该产品?

在文件库中查找您最近购买产品的文档。

访问文档库



The Journal of biological chemistry
Truong, K; Lee, TD; Li, B; Chen, Y
The Journal of Biological Chemistry null



全球贸易项目编号

货号GTIN
MABE92704055977126983