biological source
mouse
conjugate
unconjugated
antibody form
purified antibody
antibody product type
primary antibodies
clone
P5H9-A3, monoclonal
species reactivity
human
packaging
antibody small pack of 25 μg
technique(s)
ELISA: suitable, immunohistochemistry: suitable (paraffin), western blot: suitable
isotype
IgG1κ
UniProt accession no.
target post-translational modification
unmodified
Gene Information
human ... TMPRSS2(7113)
General description
53.86 kDa calculated.
Transmembrane protease serine 2 (UniProt: O15393; also known as Serine protease 10, TMPRSS2) is encoded by the TMPRSS2 (also known as PRSS10) gene (Gene ID: 7113) in human. TMPRSS2 is a single-pass type II membrane protein of the peptidase S1 family that is shown to proteolytically cleave and activate the viral spike glycoproteins, which facilitate virus-cell membrane fusions. It is shown to facilitate human SARS coronavirus (SARS-CoV) infection via two independent mechanisms, proteolytic cleavage of ACE2 that promotes viral uptake and cleavage of coronavirus spike glycoprotein, which activates the glycoprotein for cathepsin L-independent host cell entry. TMPRSS2 is highly expressed in the prostate tissue and lower expression levels are observed in the epithelia of the colon, stomach, epididymis and breast tissue. Some expression has also been reported in pancreatic acini, hepatic bile ducts, testicular Leydig cells and the kidney. Its expression levels are significantly elevated in both neoplastic prostate and in the epithelium of prostatic hyperplasia. TMPRSS2 has a cytoplasmic domain (aa 1-84), a transmembrane domain (aa 85-105), and an extracellular domain (aa 106-492). Its peptidase S1 domain is localized to amino acids 256-489. It is reported to be proteolytically processed by an autocatalytic mechanism generating the transmembrane protease serine 2 non-catalytic chain (1-255) and the transmembrane protease serine 2 catalytic chain (256-492). Two isoforms of TMPRSS2 have been described that are produced by alternative splicing.
Immunogen
KLH-conjugated linear peptide corresponding to 16 amino acids from the extracellular domain of human transmembrane protease serine 2.
Application
Anti-TMPRSS2, clone P5H9-A3, Cat. No. MABF2158, is a mouse monoclonal antibody that detects Transmembrane protease serine 2 and has been tested for use in ELISA, Immunohistochemistry (Paraffin), and Western Blotting.
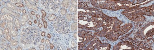
Immunohistochemistry (Paraffin) Analysis: 1:50 dilution from a representative lot detected TMPRSS2 in human kidney tissue sections.
Enzyme Immunoassay (ELISA) Analysis: A representative lot detected TMPRSS2 in ELISA applications (Lucas, J.M., et. al. (2008). J Pathol. 215(2):118-25).
Western Blotting Analysis: A representative lot detected TMPRSS2 in Western Blotting applications (Lucas, J.M., et. al. (2008). J Pathol. 215(2):118-25).
Immunohistochemistry (Paraffin) Analysis: A representative lot detected TMPRSS2 in Immunohistochemistry applications (Lucas, J.M., et. al. (2008). J Pathol. 215(2):118-25; Bertram, S., et. al. (2012). PLoS One. 7(4):e35876).
Enzyme Immunoassay (ELISA) Analysis: A representative lot detected TMPRSS2 in ELISA applications (Lucas, J.M., et. al. (2008). J Pathol. 215(2):118-25).
Western Blotting Analysis: A representative lot detected TMPRSS2 in Western Blotting applications (Lucas, J.M., et. al. (2008). J Pathol. 215(2):118-25).
Immunohistochemistry (Paraffin) Analysis: A representative lot detected TMPRSS2 in Immunohistochemistry applications (Lucas, J.M., et. al. (2008). J Pathol. 215(2):118-25; Bertram, S., et. al. (2012). PLoS One. 7(4):e35876).
Research Category
Inflammation & Immunology
Inflammation & Immunology
Biochem/physiol Actions
Clone P5H9-A3 specifically detects human Transmembrane protease serine 2. It targets an epitope with in the extracellular serine protease domain.
Physical form
Format: Purified
Protein G purified
Purified mouse monoclonal antibody IgG1 in buffer containing 0.1 M Tris-Glycine (pH 7.4), 150 mM NaCl with 0.05% sodium azide.
Preparation Note
Stable for 1 year at 2-8°C from date of receipt.
Analysis Note
Evaluated by Immunohistochemistry (Paraffin) in human prostate tissue sections.
Immunohistochemistry (Paraffin) Analysis: 1:250 dilution of this antibody detected TMPRSS2 in human prostate tissue sections.
Immunohistochemistry (Paraffin) Analysis: 1:250 dilution of this antibody detected TMPRSS2 in human prostate tissue sections.
Other Notes
Concentration: Please refer to lot specific datasheet.
Disclaimer
Unless otherwise stated in our catalog or other company documentation accompanying the product(s), our products are intended for research use only and are not to be used for any other purpose, which includes but is not limited to, unauthorized commercial uses, in vitro diagnostic uses, ex vivo or in vivo therapeutic uses or any type of consumption or application to humans or animals.
Still not finding the right product?
试用我们的 产品选型工具 工具缩小选择范围
法规信息
新产品
此项目有
Lanlan Zhou et al.
Oncotarget, 11(46), 4201-4223 (2020-11-28)
COVID-19 affects vulnerable populations including elderly individuals and patients with cancer. Natural Killer (NK) cells and innate-immune TRAIL suppress transformed and virally-infected cells. ACE2, and TMPRSS2 protease promote SARS-CoV-2 infectivity, while inflammatory cytokines IL-6, or G-CSF worsen COVID-19 severity. We
Tsuguhisa Nakayama et al.
Cell reports. Medicine, 2(10), 100421-100421 (2021-10-05)
Understanding viral tropism is an essential step toward reducing severe acute respiratory syndrome coronavirus 2 (SARS-CoV-2) transmission, decreasing mortality from coronavirus disease 2019 (COVID-19) and limiting opportunities for mutant strains to arise. Currently, little is known about the extent to
全球贸易项目编号
| 货号 | GTIN |
|---|---|
| MABF2158-100UG | 04054839573132 |
| MABF2158-25UG | 04054839573149 |