biological source
mouse
Quality Level
conjugate
unconjugated
antibody form
purified antibody
antibody product type
primary antibodies
clone
6D11.8.11, monoclonal
mol wt
calculated mol wt 15.82 kDa, observed mol wt ~12 kDa
purified by
using protein G
species reactivity
human
packaging
antibody small pack of 100 μg
technique(s)
immunohistochemistry (formalin-fixed, paraffin-embedded sections): suitable, western blot: suitable
isotype
IgG1κ
epitope sequence
Unknown
Protein ID accession no.
UniProt accession no.
shipped in
2-8°C
target post-translational modification
unmodified
General description
Interleukin-13 (UniProt: P35225; also known as IL-13) is encoded by the IL13 (also known as NC30) gene (Gene ID: 3596) in human. IL-13 is an extracellular/secreted glycoprotein that is synthesized with a signal peptide (aa 1-24), which is subsequently cleaved off to generate the mature form. IL-13 is an immunoregulatory cytokine that is released predominantly by CD4+ and CD8+ T cells and by mast cells and eosinophils and regulates the function of human B cells and monocytes. It is closely related to IL-4 in its biological function but, in general, the responses of cells to IL-13 appear to be smaller in magnitude. Both IL-4 and IL-13, independently of each other, are able to induce IgE antibody production. The intracellular site of storage of IL-13 in eosinophils is associated with the crystalloid granules, indicating that IL-13 is a preformed mediator and is released upon stimulation of degranulation. IL-13 signaling is mediated through a shared multi-subunit heterodimeric receptor complex consisting of IL-4R and IL-13R1. This heterodimerization activates STAT6 and most of the biological effects of IL-13 have been linked to STAT6 activation. IL-13 inhibits the production of pro-inflammatory cytokines but can up-regulate the synthesis of IL-12 in dendritic cells and macrophages. IL-13 is typically associated with allergic inflammation, including asthma. It induces many features of allergic lung disease, including airway hyperresponsiveness, goblet cell metaplasia, and glycoprotein hypersecretion, which all contribute to airway obstruction. (Ref.: Marone, G., et al (2019). Front. Pharmacol. 10; 1387; Van Der Pouw Kraan, TCTM., et al. (1998). Clin. Exp. Immunol. 111(1): 129-135).
Immunogen
Recombinant fragment corresponding to 114 amino acids (aa 33-146) from human Interleukin-13 expressed in CHO cells.
Application
Quality Control Testing
Evaluated by Western Blotting with human recombinant IL-13.
Western Blotting Analysis: A 1:2,000 dilution of this antibody detected human recombinant IL-13.
Tested Applications
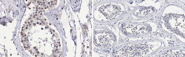
Immunohistochemistry (Paraffin) Analysis: A 1:50 dilution from a representative lot detected IL-13 in human testis tissue sections.
Note: Actual optimal working dilutions must be determined by end user as specimens, and experimental conditions may vary with the end user
Evaluated by Western Blotting with human recombinant IL-13.
Western Blotting Analysis: A 1:2,000 dilution of this antibody detected human recombinant IL-13.
Tested Applications
Immunohistochemistry (Paraffin) Analysis: A 1:50 dilution from a representative lot detected IL-13 in human testis tissue sections.
Note: Actual optimal working dilutions must be determined by end user as specimens, and experimental conditions may vary with the end user
Anti-IL-13, clone 6D11.8.11, Cat. No. MABF2287, is a mouse monoclonal antibody that detects Interleukin-13 and is tested for use in Immunohistochemistry (Paraffin) and Western Blotting.
Biochem/physiol Actions
Clone 6D11.8.11 is a mouse monoclonal antibody that detects human Interleukin-13.
Physical form
Purified mouse monoclonal antibody IgG1 in PBS with 0.05% sodium azide.
Preparation Note
Recommend storage at +2°C to +8°C. For long term storage antibodies can be kept at -20°C. Avoid repeated freeze-thaws.
Other Notes
Concentration: Please refer to the Certificate of Analysis for the lot-specific concentration.
Disclaimer
Unless otherwise stated in our catalog or other company documentation accompanying the product(s), our products are intended for research use only and are not to be used for any other purpose, which includes but is not limited to, unauthorized commercial uses, in vitro diagnostic uses, ex vivo or in vivo therapeutic uses or any type of consumption or application to humans or animals.
Still not finding the right product?
试用我们的 产品选型工具 工具缩小选择范围
存储类别
12 - Non Combustible Liquids
wgk
WGK 2
flash_point_f
Not applicable
flash_point_c
Not applicable
法规信息
新产品
此项目有
全球贸易项目编号
| 货号 | GTIN |
|---|---|
| MABF2287-100UG | 04065267027562 |
| MABF2287-25UG | 04065267027579 |