跳转至内容
Merck
CN

MABN10

Anti-Beta (β)-Amyloid antibody

mouse monoclonal, WO2

别名:

Alzheimer disease, Alzheimer disease amyloid protein, Cerebral vascular amyloid peptide, Protease nexin-II, amyloid beta (A4) precursor protein, amyloid beta A4 protein, amyloid beta precursor protein, beta-amyloid peptide, human mRNA for amyloid A4 prec

登录 查看组织和合同定价。

选择尺寸

变更视图

关于此项目

UNSPSC Code:
12352203
eCl@ss:
32160702
NACRES:
NA.41
Clone:
WO2, monoclonal
Species reactivity:
mouse, human
Application:
ELISA, IHC, WB
Citations:
20
技术服务
需要帮助?我们经验丰富的科学家团队随时乐意为您服务。
让我们为您提供帮助


产品名称

抗-淀粉样蛋白β抗体,克隆W0-2, clone WO2, from mouse

biological source

mouse

Quality Level

antibody form

purified immunoglobulin

clone

WO2, monoclonal

species reactivity

mouse, human

technique(s)

ELISA: suitable, immunohistochemistry: suitable (paraffin), western blot: suitable

isotype

IgG2aκ

NCBI accession no.

UniProt accession no.

shipped in

wet ice

target post-translational modification

unmodified

Gene Information

human ... APP(351)

General description

与阿尔茨′海默病(AD)相关的脑和血管斑块主要由淀粉样蛋白β肽(Aβ)组成。Aβ衍生自淀粉样蛋白前体蛋白(APP)的切割,长度在39至43个氨基酸之间变化。Aβ [1-40]、Aβ [1-42]和Aβ [1-43]肽分别来自残基40、42和43后APP的裂解。切割是在最后一个APP处理步骤中通过γ-分泌酶进行的。Aβ[1-40]、[1-42]和[1-43]肽是AD中发生的斑块和缠结的主要成分。这些淀粉样蛋白β抗体和肽已被开发为阐明AD生物学的工具。
该抗体还能在人类阿尔茨海默病脑裂解液的蛋白质印迹上显示120和105 kDa的APP蛋白和~45 kDa的淀粉样蛋白低聚物。

Immunogen

人淀粉样β肽
表位:氨基酸残基4-10

Application

使用经验证可用于WB、IH、ELISA的该抗淀粉样蛋白β抗体(克隆G2-2)检测淀粉样蛋白β。
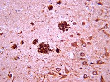
免疫组化分析: 一个先前批次以1:500稀释度在阿尔茨海默病的海马组织中检测到淀粉样蛋白β。
研究子类别
神经退行性疾病
研究类别
神经科学

Biochem/physiol Actions

该抗体可识别人淀粉样蛋白β的氨基酸残基4-10。

Physical form

形式:纯化
纯化的小鼠单克隆IgG2aκ,溶于含有0.1 M Tris-甘氨酸(pH 7.4,150 mM NaCl)和0.05%叠氮化钠的缓冲液中。
蛋白G纯化

Preparation Note

自收到之日起,在2-8°C条件下可稳定保存1年。

Analysis Note

对照
人类阿尔茨海默病脑组织裂解物
通过蛋白质印迹法对人阿尔茨海默病脑组织裂解物进行评估。

蛋白质印迹分析:0.5 µg/ml的该抗体在10 µg人阿尔茨海默病脑组织裂解物中检测到淀粉样蛋白β。

Other Notes

替代:MAB1561
浓度:请参考批次特异性浓缩物的检验报告。

Disclaimer

除非我们的产品目录或产品附带的其他公司文档另有说明,否则我们的产品仅供研究使用,不得用于任何其他目的,包括但不限于未经授权的商业用途、体外诊断用途、离体或体内治疗用途或任何类型的消费或应用于人类或动物。


Still not finding the right product?


存储类别

12 - Non Combustible Liquids

wgk

WGK 1

flash_point_f

Not applicable

flash_point_c

Not applicable



分析证书(COA)

输入产品批号来搜索 分析证书(COA) 。批号可以在产品标签上"批“ (Lot或Batch)字后找到。

已有该产品?

在文件库中查找您最近购买产品的文档。

访问文档库


相关内容

Alzheimer’s Disease: Amyloid Cascade and Beyond Product Focus


Johnny Habchi et al.
Science advances, 2(2), e1501244-e1501244 (2016-03-05)
The conversion of the β-amyloid (Aβ) peptide into pathogenic aggregates is linked to the onset and progression of Alzheimer's disease. Although this observation has prompted an extensive search for therapeutic agents to modulate the concentration of Aβ or inhibit its
Deficits in the miRNA-34a-regulated endogenous TREM2 phagocytosis sensor-receptor in Alzheimer's disease (AD); an update.
Bhattacharjee, S; Zhao, Y; Lukiw, WJ
Frontiers in Aging Neuroscience null
Isaak Beyer et al.
Chemistry (Weinheim an der Bergstrasse, Germany), 22(25), 8685-8693 (2016-05-12)
In addition to the prototypic amyloid-β (Aβ) peptides Aβ1-40 and Aβ1-42 , several Aβ variants differing in their amino and carboxy termini have been described. Synthetic availability of an Aβ variant is often the key to study its role under



全球贸易项目编号

货号GTIN
MABN1004053252668081