跳转至内容
Merck
CN

MABN1618

Anti-Nicotinic Acetylchone Receptor alpha 1 Antibody, clone 7C8.2

clone 7C8.2, from mouse

别名:

Acetylcholine receptor subunit alpha, AChR nicotinic alpha 1

登录 查看组织和合同定价。

选择尺寸

变更视图

关于此项目

UNSPSC Code:
12352203
NACRES:
NA.41
eCl@ss:
32160702
Conjugate:
unconjugated
Clone:
7C8.2, monoclonal
Application:
IHC, WB
Citations:
-
技术服务
需要帮助?我们经验丰富的科学家团队随时乐意为您服务。
让我们为您提供帮助


biological source

mouse

Quality Level

conjugate

unconjugated

antibody form

purified immunoglobulin

antibody product type

primary antibodies

clone

7C8.2, monoclonal

species reactivity

rat, human

packaging

antibody small pack of 25 μg

technique(s)

immunohistochemistry: suitable (paraffin), western blot: suitable

isotype

IgG2aκ

NCBI accession no.

UniProt accession no.

shipped in

ambient

target post-translational modification

unmodified

Gene Information

human ... CHRNA1(1134)

General description

Acetylcholine receptor subunit alpha (UniProt: P02708; AChR nicotinic alpha 1) is encoded by the CHRNA1 (also known as ACHRA, CHNRA) gene (Gene ID: 1134) in human. Nicotinic Acetylcholine Receptor is a member of the ligan-gated ion channel family. It is a multi-pass membrane protein on the post-synaptic cell membrane. Nicotinic Ach receptor is a pentamer of two alpha chains and one each of the beta, delta, and gamma (in immature muscle) or epsilon (in mature muscle) chains. Two isoforms of this receptor have been described that are produced by alternative splicing. Isoform 1 is only expressed in skeletal muscle and isoform 2 is constitutively expressed in skeletal muscle, brain, heart, kidney, liver, lung and thymus. It contains an extracellular domain (aa 21-255), four helical domains (aa 256-280; 288-306; 322-341; and 454-472) and a cytoplasmic domain (aa 342-453). After binding acetylcholine, the AChR responds by an extensive change in conformation that affects all subunits and leads to opening of an ion-conducting channel across the plasma membrane. Defects in CHRNA1 gene are linked to Myasthenic syndrome, which is characterized by muscle weakness affecting the axial and limb muscles, and the ocular muscles that lead to ptosis and opthalmoplegia. The alpha subunit is the main focus for antibody binding in myasthenia gravis.
~55 kD observed; 54.55 kDa calculated. Uncharacterized bands may be observed in some lysate(s).

Immunogen

GST/His-tagged recombinant fragment corresponding to 97 amino acids from the C-terminal half of human nicotinic acetylcholine receptor alpha.

Application

Anti-Nicotinic Acetylchone Receptor alpha 1, clone 7C8.2, Cat. No. MABN1618, is a highly specific mouse monoclonal antibody that targets CHRNA1 and has been tested for use in Immunohistochemistry (Paraffin) and Western Blotting.
Research Category
Neuroscience
Western Blotting Analysis: 0.5 µg/mL from a representative lot detected Nicotinic Acetylchone Receptor alpha 1 in 10 µg of SW480 cell lysate.

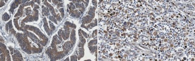
Immunohistochemistry Analysis: A 1:50 dilution from a representative lot detected Nicotinic Acetylchone Receptor alpha 1 in human colon cancer tissue sections.

Biochem/physiol Actions

Clone 7C8.2 detects nicotinic acetylcholine receptor alpha in human and rat. It targets an epitope within 97 amino acids from the C-terminal half.

Physical form

Format: Purified
Protein G purified
Purified mouse monoclonal antibody IgG2a in buffer containing 0.1 M Tris-Glycine (pH 7.4), 150 mM NaCl with 0.05% sodium azide.

Preparation Note

Stable for 1 year at 2-8°C from date of receipt.

Analysis Note

Evaluated by Western Blotting in L6 cell lysate.

Western Blotting Analysis: 0.5 µg/mL of this antibody detected Nicotinic Acetylchone Receptor alpha 1 in 10 µg of L6 cell lysate.

Other Notes

Concentration: Please refer to lot specific datasheet.

Disclaimer

Unless otherwise stated in our catalog or other company documentation accompanying the product(s), our products are intended for research use only and are not to be used for any other purpose, which includes but is not limited to, unauthorized commercial uses, in vitro diagnostic uses, ex vivo or in vivo therapeutic uses or any type of consumption or application to humans or animals.


Still not finding the right product?

试用我们的 产品选型工具 工具缩小选择范围


存储类别

12 - Non Combustible Liquids

wgk

WGK 1

flash_point_f

Not applicable

flash_point_c

Not applicable

法规信息

新产品

此项目有



分析证书(COA)

输入产品批号来搜索 分析证书(COA) 。批号可以在产品标签上"批“ (Lot或Batch)字后找到。

已有该产品?

在文件库中查找您最近购买产品的文档。

访问文档库



全球贸易项目编号

货号GTIN
MABN161804054839355875
MABN1618-25UG04054839494208