跳转至内容
Merck
CN

MABN1849

Anti-Cereblon Antibody, clone 4A7H6

clone 4A7H6, from mouse

别名:

Cereblon, Protein cereblon

登录 查看组织和合同定价。

选择尺寸

变更视图

关于此项目

UNSPSC Code:
12352203
NACRES:
NA.41
eCl@ss:
32160702
Conjugate:
unconjugated
Clone:
4A7H6, monoclonal
Application:
IHC, WB
Citations:
-
技术服务
需要帮助?我们经验丰富的科学家团队随时乐意为您服务。
让我们为您提供帮助


biological source

mouse

Quality Level

conjugate

unconjugated

antibody form

purified antibody

antibody product type

primary antibodies

clone

4A7H6, monoclonal

species reactivity

human

species reactivity (predicted by homology)

rat (based on 100% sequence homology), Xenopus (based on 100% sequence homology), bovine (based on 100% sequence homology), chicken (based on 100% sequence homology), nonhuman primates (based on 100% sequence homology), mouse (based on 100% sequence homology)

technique(s)

immunohistochemistry: suitable (paraffin), western blot: suitable

isotype

IgG1κ

NCBI accession no.

UniProt accession no.

shipped in

ambient

target post-translational modification

unmodified

Gene Information

human ... CRBN(51185)

General description

Protein cereblon (UniProt Q96SW2) is encoded by the CRBN (also known as AD-006, MRT2A) gene (Gene ID 51185) in human. Originally identified as a genetic cause of inherited autosomal recessive mental retardation, the human CRBN gene encodes a substrate receptor of a ubiquitin E3 cullin 4-RING ligase (CRL4) complex. A cullin-4 (CULT4) protein provides a scaffold for assembling RING box-domain protein (​RBX1) and the adaptor protein damaged ​DNA-binding protein 1 (​DDB1) to form a CRL4 E3 complex, where ​RBX1 serves as the docking site for the activated E2 protein, and ​DDB1 recruits substrate-specificity receptors or DCAFs (DDB1-cullin 4-associated factors) to form the substrate-presenting side of the CRL4 complex. Thalidomide and its analogs (lenalidomide, pomalidomide and apremilast) are immunomodulatory drugs (IMiDs) that exert their antiproliferative effects on multiple myeloma (MM) cells and immunomodulatory effects on T cells by directly binding cereblon and promoting recruitment of the hematopoietic zinc-finger transcription factors Ikaros (IKZF1) and Aiolos (IKZF3), leading to their ubiquitination and proteasomal degradation. Human cereblon is a 442-amino acid protein composed of a ​Lon protease-like scaffold (a.a. 80-317) with a helical insertion that mediates ​DDB1 binding and a thalidomide-binding domain (TBD; a.a. 339-442).
~50 kDa observed. 50.55/50.48 kDa (human isoform 1/2), 50.88/49.48/50.81 kDa (mouse isoform 1/2/3), 50.80/51.12/49.25/50.88/50.67 kDa (bovine/chicken/orangutan/rat/xenopus) calculated. Uncharacterized bands may be observed in some lysate(s).

Immunogen

KLH-conjugated linear peptide corresponding to a sequence N-terminal to the LON domain of cereblon.

Application

Detect Cereblon using this mouse monoclonal antibody, Anti-Cereblon, clone 4A7H6, Cat. No. MABN1849, validated for use in Immunohistochemistry (Paraffin) and Western Blotting.
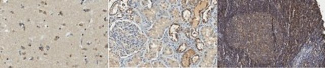
Immunohistochemistry Analysis: A 1:50 dilution from a representative lot detected cereblon in human cerebral cortex, kidney, and tonsil tissue sections.

Western Blotting Analysis: A 1:125 dilution from a representative lot detected cereblon in 10 µg of HEK293 cell lysate.
Research Category
Apoptosis & Cancer

Biochem/physiol Actions

Clone 4A7H6 was raised against a sequence N-terminal to the LON domain present in all spliced isoforms of bovine, chicken, human, mouse, orangutan, rat, and xenopus (UniProt Q0P564, P0CF65, Q96SW2, Q8C7D2, Q5R6Y2, Q56AP7, Q640S2). Immunogen sequence is well conserved in essentially all mammalian species.

Physical form

Format: Purified
Protein G purified.
Purified mouse IgG1 in buffer containing 0.1 M Tris-Glycine (pH 7.4), 150 mM NaCl with 0.05% sodium azide.

Preparation Note

Stable for 1 year at 2-8°C from date of receipt.

Analysis Note

Evaluated by Western Blotting in Jurkat cell lysate.

Western Blotting Analysis: A 1:250 dilution of this antibody detected cereblon in 10 µg of Jurkat cell lysate.

Other Notes

Concentration: Please refer to lot specific datasheet.

Disclaimer

Unless otherwise stated in our catalog or other company documentation accompanying the product(s), our products are intended for research use only and are not to be used for any other purpose, which includes but is not limited to, unauthorized commercial uses, in vitro diagnostic uses, ex vivo or in vivo therapeutic uses or any type of consumption or application to humans or animals.


Still not finding the right product?

试用我们的 产品选型工具 工具缩小选择范围


存储类别

12 - Non Combustible Liquids

wgk

WGK 1

flash_point_f

Not applicable

flash_point_c

Not applicable



分析证书(COA)

输入产品批号来搜索 分析证书(COA) 。批号可以在产品标签上"批“ (Lot或Batch)字后找到。

已有该产品?

在文件库中查找您最近购买产品的文档。

访问文档库



全球贸易项目编号

货号GTIN
MABN184904054839057847