biological source
mouse
conjugate
unconjugated
antibody form
ascites fluid
antibody product type
primary antibodies
clone
8FM-2F7, monoclonal
species reactivity
human
packaging
antibody small pack of 25 μL
technique(s)
immunofluorescence: suitable, immunohistochemistry: suitable (paraffin), western blot: suitable
isotype
IgG1κ
NCBI accession no.
UniProt accession no.
target post-translational modification
unmodified
Gene Information
human ... FMR1(2332)
General description
Synaptic functional regulator FMR1 (UniProt: Q06787; also known as Fragile X mental retardation protein 1, FMRP, Protein FMR-1) is encoded by the FMR1 gene (Gene ID: 2332) in human. FMR-1 is a multifunctional polyribosome-associated RNA-binding protein that plays a central role in neuronal development and synaptic plasticity through the regulation of alternative mRNA splicing, mRNA stability, mRNA dendritic transport and postsynaptic local protein synthesis of a subset of mRNAs. It plays a role in mRNA nuclear export and together with export factor NXF2, it is involved in the regulation of the NXF1 mRNA stability in neurons. It is also reported to stabilize the scaffolding postsynaptic density protein DLG4/PSD-95 and the myelin basic protein mRNAs in hippocampal neurons and glial cells, respectively and this stabilization is further increased in response to metabotropic glutamate receptor stimulation. A CGG repeat expansion (55-200) in the 5 UTR of FMR1 gene is reported to cause Fragile X-associated Tremor Ataxia Syndrome (FXTAS). The expanded CGG repeat is associated with elevated FMR1 mRNA expression that results and neurodegeneration. The CGG repeat expansion triggers repeat-associated non-ATG-initiated translation (RAN or RANT) within the 5 UTR of FMR1 mRNA, resulting in the production of fusion proteins (FMR1polyG) that contain N-terminal polyglycine fused to either C-terminal FMR1 in-frame sequence or one of two FMR1 frame-shift sequences. The FMR1polyG-positive aggregates closely resemble neuronal intranuclear inclusions seen in polyglutamine diseases and other protein-mediated neurodegenerative disorders. (Ref.: Buijsen, RAM., et al. (2014). Acta Neuropathol. Commun. 2:162; Todd, PK et al. (2013). Neuron. 78(3); 440-455).
~35 kDa observed. Uncharacterized bands may be observed in some lysate(s).
Immunogen
Epitope: N-terminus
Ovalbumin-conjugated linear peptide with EAPLPGGVRQRGG sequence. Note: This protein is translated within the 5′UTR of the FMR1 gene and in a different frame resulting in a protein with different sequence and containing polyGlycine.
Application
Anti-FMR1polyG, clone 8FM-2F7, Cat. No. MABN2280, is a highly specific mouse monoclonal antibody that targets Synaptic functional regulator FMR1 (FMR1polyG) and has been tested for use Immunofluorescence, Immunohistochemistry (Paraffin), and Western Blotting.
Research Category
Neuroscience
Neuroscience
Western Blotting Analysis: A 1:500 dilution from a representative lot detected FMR1polyG in lysate from HEK293 cells overexpressing FMR1polyG.
Immunohistochemistry Analysis: A representative lot detected FMR1polyG in Immunohistochemistry applications (Buijsen, R.A., et. al. (2014). Acta Neuropathol Commun. 2:162; Sellier, C., et. al. (2017). Neuron. 93(2):331-347).
Western Blotting Analysis: A representative lot detected FMR1polyG in Western Blotting applications (Sellier, C., et. al. (2017). Neuron. 93(2):331-347).
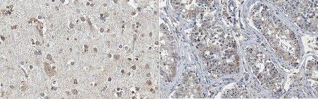
Immunohistochemistry Analysis: A 1:50 dilution from a representative lot detected FMR1polyG in human cerebral cortex and human testis tissues.
Immunofluorescence Analysis: A representative lot detected FMR1polyG in Immunofluorescence applications (Buijsen, R.A., et. al. (2014). Acta Neuropathol Commun. 2:162; Sellier, C., et. al. (2017). Neuron. 93(2):331-347).
Immunohistochemistry Analysis: A representative lot detected FMR1polyG in Immunohistochemistry applications (Buijsen, R.A., et. al. (2014). Acta Neuropathol Commun. 2:162; Sellier, C., et. al. (2017). Neuron. 93(2):331-347).
Western Blotting Analysis: A representative lot detected FMR1polyG in Western Blotting applications (Sellier, C., et. al. (2017). Neuron. 93(2):331-347).
Immunohistochemistry Analysis: A 1:50 dilution from a representative lot detected FMR1polyG in human cerebral cortex and human testis tissues.
Immunofluorescence Analysis: A representative lot detected FMR1polyG in Immunofluorescence applications (Buijsen, R.A., et. al. (2014). Acta Neuropathol Commun. 2:162; Sellier, C., et. al. (2017). Neuron. 93(2):331-347).
Biochem/physiol Actions
Clone 8FM-2F7 specifically detects FMR1polyG in human cells.
Physical form
Mouse monoclonal antibody in ascites without preservatives.
Unpurified
Preparation Note
Stable for 1 year at -20°C from date of receipt. Handling Recommendations: Upon receipt and prior to removing the cap, centrifuge the vial and gently mix the solution. Aliquot into microcentrifuge tubes and store at -20°C. Avoid repeated freeze/thaw cycles, which may damage IgG and affect product performance.
Analysis Note
Evaluated by Western Blotting in HEK293 cell lysates expressing FMR1polyG.
Western Blotting Analysis: A 1:500 dilution of this antibody detected FMR1polyG in HEK293 cell lysates expressing FMR1polyG.
Western Blotting Analysis: A 1:500 dilution of this antibody detected FMR1polyG in HEK293 cell lysates expressing FMR1polyG.
Other Notes
Concentration: Please refer to lot specific datasheet.
Disclaimer
Unless otherwise stated in our catalog or other company documentation accompanying the product(s), our products are intended for research use only and are not to be used for any other purpose, which includes but is not limited to, unauthorized commercial uses, in vitro diagnostic uses, ex vivo or in vivo therapeutic uses or any type of consumption or application to humans or animals.
Still not finding the right product?
试用我们的 产品选型工具 工具缩小选择范围
全球贸易项目编号
| 货号 | GTIN |
|---|---|
| MABN2280-100UL | 04054839460012 |
| MABN2280-25UL | 04054839460029 |