跳转至内容
Merck
CN

MABN293

Anti-Peripherin-2 Antibody, clone 6B10.1

clone 6B10.1, from mouse

别名:

Peripherin-2, Retinal degeneration slow protein, Tetraspanin-22, Tspan-22

登录 查看组织和合同定价。

选择尺寸

变更视图

关于此项目

UNSPSC Code:
12352203
NACRES:
NA.41
eCl@ss:
32160702
Conjugate:
unconjugated
Clone:
6B10.1, monoclonal
Application:
IHC, WB
Citations:
2
技术服务
需要帮助?我们经验丰富的科学家团队随时乐意为您服务。
让我们为您提供帮助


Quality Level

biological source

mouse

conjugate

unconjugated

antibody form

purified immunoglobulin

antibody product type

primary antibodies

clone

6B10.1, monoclonal

species reactivity

mouse, rat, human

technique(s)

immunohistochemistry: suitable, western blot: suitable

isotype

IgG1κ

NCBI accession no.

UniProt accession no.

shipped in

wet ice

target post-translational modification

unmodified

Gene Information

human ... PRPH2(5961)

General description

Peripherin-2 (PRPH2) is also called Retinal degeneration slow protein (RDS) and Tetraspanin-22 (Tspan-22). Peripherin-2 is a critical factor in ocular disk morphogenesis and possibly functions as an adhesion molecule helping to stabilize and compact outer segment disks, to help maintain curvature of the rim. Peripherin-2 is expressed in the photoreceptors of the retina and in the rim of rod outer segment (ROS) disks. Peripherin-2 defects are found in different retinal diseases including cone-rod dystrophy, retinitis pigmentosa, and macular degeneration.
~35 kDa observed

Immunogen

Epitope: Cytoplasmic domain
GST-tagged recombinant protein corresponding to the cytoplasmic domain of human Peripherin-2.

Application

Anti-Peripherin-2 Antibody, clone 6B10.1 is a highly specific mouse monoclonal antibody, that targets Peripherin & has been tested in western blotting & IHC.
Research Category
Neuroscience
Research Sub Category
Developmental Signaling
Western Blotting Analysis: A 1:1,000 dilution from a representative lot detected Peripherin-2 in 10 µg of human retina tissue lysate.
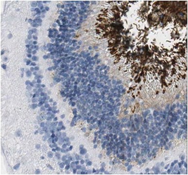
Immunohistochemistry Analysis: A 1:2,000 dilution from a representative lot detected Peripherin-2 in human retina tissue.

Physical form

Format: Purified
Protein G Purified
Purified mouse monoclonal IgG1κ in buffer containing 0.1 M Tris-Glycine (pH 7.4), 150 mM NaCl with 0.05% sodium azide.

Preparation Note

Stable for 1 year at 2-8°C from date of receipt.

Analysis Note

Evaluated by Western Blotting in mouse eye tissue lysate.

Western Blotting Analysis: A 1:1,000 dilution of this antibody detected Peripherin-2 in 10 µg of mouse eye tissue lysate.

Disclaimer

Unless otherwise stated in our catalog or other company documentation accompanying the product(s), our products are intended for research use only and are not to be used for any other purpose, which includes but is not limited to, unauthorized commercial uses, in vitro diagnostic uses, ex vivo or in vivo therapeutic uses or any type of consumption or application to humans or animals.


Still not finding the right product?

试用我们的 产品选型工具 工具缩小选择范围


存储类别

12 - Non Combustible Liquids

wgk

WGK 1

flash_point_f

Not applicable

flash_point_c

Not applicable



分析证书(COA)

输入产品批号来搜索 分析证书(COA) 。批号可以在产品标签上"批“ (Lot或Batch)字后找到。

已有该产品?

在文件库中查找您最近购买产品的文档。

访问文档库



Kai Yao et al.
Nature, 560(7719), 484-488 (2018-08-17)
In zebrafish, Müller glia (MG) are a source of retinal stem cells that can replenish damaged retinal neurons and restore vision1. In mammals, however, MG do not spontaneously re-enter the cell cycle to generate a population of stem or progenitor
Katie L Bales et al.
Investigative ophthalmology & visual science, 61(10), 17-17 (2020-08-11)
To identify the role of the BBSome protein Bardet-Biedl syndrome 5 (BBS5) in photoreceptor function, protein trafficking, and structure using a congenital mutant mouse model. Bbs5-/- mice (2 and 9 months old) were used to assess retinal function and morphology.



全球贸易项目编号

货号GTIN
MABN29304053252923715