跳转至内容
Merck
CN

MABN313

Anti-DEXRAS1 Antibody, clone 4B11.1

clone 4B11.1, from mouse

别名:

Dexamethasone-induced Ras-related protein 1, Activator of G-protein signaling 1

登录 查看组织和合同定价。

选择尺寸

变更视图

关于此项目

UNSPSC Code:
12352203
NACRES:
NA.41
eCl@ss:
32160702
Conjugate:
unconjugated
Clone:
4B11.1, monoclonal
Application:
IHC, WB
Citations:
-
技术服务
需要帮助?我们经验丰富的科学家团队随时乐意为您服务。
让我们为您提供帮助


biological source

mouse

Quality Level

conjugate

unconjugated

antibody form

purified antibody

antibody product type

primary antibodies

clone

4B11.1, monoclonal

species reactivity

rat, mouse, human

technique(s)

immunohistochemistry: suitable (paraffin), western blot: suitable

isotype

IgG2aκ

NCBI accession no.

UniProt accession no.

target post-translational modification

unmodified

Gene Information

human ... RASD1(51655)

General description

Dexamethasone-induced Ras-related protein 1 (UniProt Q9Y272; also known as Activator of G-protein signaling 1) is encoded by the RASD1 (also known as AGS1, DEXRAS1) gene (Gene ID 51655) in human. Rasd1/Dexras belongs to the monomeric Ras superfamily of GTPases that are commonly referred to as small G-proteins. Rasd1/Dexras1 is a small G protein that functions as an important signal transducer in regulating circadian rhythms, GH secretion, and cell growth. Rasd1/Dexras is rapidly up-regulated by the synthetic glucocorticoid dexamethasone as a result of GR-STAT5b complex-mediated transcription. Rasd1/Dexras1 interacts with neuronal nitric oxide synthase (nNOS or bNOS) via the scaffolding protein CAPON, with nitric oxide serving as a guanine nucleotide exchange factor for Rasd1/Dexras1. Rasd1/Dexras1 is induced by glucocorticoids during adipogenic differentiation. Exogenous Rasd1/Dexras1 expression rescues impaired adipogenesis of Dexras1-deficient mouse embryonic fibroblasts (MEFs). Dexras1 knockout mice display impaired adiposity and are resistant to diet-induced weight gain. Human, moue, and rat Rasd1/Dexras1 protein is initially produced with a 3-amino acid propeptide sequence at the C-terminal end, which was posttranslationally removed to yield the mature protein.
~32 kDa oberved. 31.64/31.68/31.71 kDa (human/mouse/rat pro-form) and 31.34/31.38/31.41 kDa (human/mouse/rat mature form) calculated.

Immunogen

Epitope: Internal.
GST-tagged recombinant human DEXRAS1 internal fragment.

Application

Anti-DEXRAS1 Antibody, clone 4B11.1 is an antibody against DEXRAS1 for use in Western Blotting, Immunohistochemistry (Paraffin).
Research Category
Neuroscience
Research Sub Category
G-proteins
Western Blotting Analysis: 1.0 µg/mL from a representative lot detected DEXRAS1 in 10 µg of mouse brain tissue lysate.
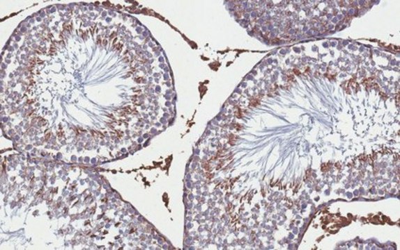
Immunohistochemistry Analysis: A 1:50-250 dilution from a representative lot detected DEXRAS1 in rat testis, mouse cerebellum, and human kidney tissue sections.

Biochem/physiol Actions

Clone 4B11.1 detects an epitope conserved among human, mouse, and rat RASD1 protein, but missing in human RASD1 spliced isoform 2 reported by UniProt (Q9Y272).

Physical form

Format: Purified
Protein G Purified
Purified mouse monoclonal IgG2aκ antibody in buffer containing 0.1 M Tris-Glycine (pH 7.4), 150 mM NaCl with 0.05% sodium azide.

Preparation Note

Stable for 1 year at 2-8°C from date of receipt.

Analysis Note

Evaluated by Western Blotting in rat brain tissue lysate.

Western Blotting Analysis: 1.0 µg/mL of this antibody detected DEXRAS1 in 10 µg of rat brain tissue lysate.

Other Notes

Concentration: Please refer to lot specific datasheet.

Disclaimer

Unless otherwise stated in our catalog or other company documentation accompanying the product(s), our products are intended for research use only and are not to be used for any other purpose, which includes but is not limited to, unauthorized commercial uses, in vitro diagnostic uses, ex vivo or in vivo therapeutic uses or any type of consumption or application to humans or animals.


Still not finding the right product?

试用我们的 产品选型工具 工具缩小选择范围


存储类别

12 - Non Combustible Liquids

wgk

WGK 1

flash_point_f

Not applicable

flash_point_c

Not applicable



分析证书(COA)

输入产品批号来搜索 分析证书(COA) 。批号可以在产品标签上"批“ (Lot或Batch)字后找到。

已有该产品?

在文件库中查找您最近购买产品的文档。

访问文档库



全球贸易项目编号

货号GTIN
MABN31304055977350333