跳转至内容
Merck
CN

MABN318

抗跨膜前列腺酸性磷酸酶抗体/TMPAP,克隆3G10.1

clone 3G10.1, from mouse

别名:

Prostatic acid phosphatase, PAP, 5′-nucleotidase, 5′-NT, Ecto-5′-nucleotidase, Thiamine monophosphatase, Transmembrane Prostatic Acid Phosphatase, TMPase, ACPP, TMPAP

登录 查看组织和合同定价。

选择尺寸

变更视图

关于此项目

UNSPSC Code:
12352203
NACRES:
NA.41
eCl@ss:
32160702
Conjugate:
unconjugated
Clone:
3G10.1, monoclonal
Application:
IHC, WB
Citations:
1
技术服务
需要帮助?我们经验丰富的科学家团队随时乐意为您服务。
让我们为您提供帮助


biological source

mouse

Quality Level

conjugate

unconjugated

antibody form

purified immunoglobulin

antibody product type

primary antibodies

clone

3G10.1, monoclonal

species reactivity

human

technique(s)

immunohistochemistry: suitable (paraffin), western blot: suitable

isotype

IgG1κ

NCBI accession no.

UniProt accession no.

shipped in

wet ice

target post-translational modification

unmodified

Gene Information

human ... ACPP(55)

General description

ACPP,也称前列腺酸性磷酸酶或 PAP、5′-核苷酸酶(5′-NT)、Ecto-5′-核苷酸酶或硫胺素单磷酸酶(TMPase), 由 ACPP基因编码,该酶是非特异性酪氨酸磷酸酶, 具有分泌型和细胞膜结合型。ACPP可以使多种底物脱磷酸,包括烷基、芳基和酰基正磷酸盐单酯和磷酸化蛋白。ACPP 也具有脂质磷酸酶活性,并可使精液浆中的溶血磷脂酸失活。此外,膜结合型ACPP在背根神经节(DRG)神经元中具有 ecto-5′-核苷酸酶活性,并可作为疼痛抑制因子。最后,ACPP也可作为前列腺癌的肿瘤抑制因子。ACPP亚型1通过分泌产生,亚型2与膜结合。亚型2似乎在细胞膜、溶酶体和细胞内囊泡之间穿梭。ACPP在许多组织中表达,并可用作前列腺癌症诊断中各阶段的标记物。该酶在HIV感染中得到了深入研究,因为它在精液中会以蛋白水解的方式裂解,产生多种肽(SEVI肽),其中的一种肽PAPf39通过结合HIV病毒体促进HIV感染,并有助于连接目标细胞,令人感兴趣的是这种SEVI肽在体外被EGCG降解,EGCG是存在于绿茶提取物中的化合物。
观测值〜48 kDa。已知存在45 kDa(亚型1)和648kDa(亚型2)的两个亚型。在某些细胞裂解物中可能会观察到未表征的条带。

Immunogen

GST标记的重组蛋白,对应于人跨膜前列腺酸性磷酸酶抗体/TMPAP。

Application

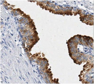
免疫组化分析:一个代表性批次的1:50 稀释液在人前列腺组织中检测到跨膜前列腺酸性磷酸酶/TMPAP。
研究类别
神经科学
该抗跨膜前列腺酸性磷酸酶抗体/TMPAP(克隆3G10.1)经验证可用于蛋白质印迹& IHC(石蜡)检测跨膜前列腺酸性磷酸酶抗体/TMPAP。

Biochem/physiol Actions

根据免疫原设计,该抗体预期可与亚型2发生交叉反应。

Physical form

形式:纯化
纯化的小鼠单克隆IgG1κ,溶于含0.1 M Tris-甘氨酸(pH 7.4),150 mM NaCl和0.05%叠氮化钠的缓冲液中。
蛋白G纯化

Preparation Note

自收到之日起,在2-8°C条件下可稳定保存1年。

Analysis Note

通过蛋白质印迹对人前列腺肿瘤组织裂解物进行了评估。

蛋白质印迹分析:4 µg/mL 该抗体在200 µg 人前列腺肿瘤组织裂解液中检测到跨膜前列腺酸性磷酸酶/TMPAP。

Other Notes

浓度:请参考批次特异性浓缩物的检验报告。

Disclaimer

除非我们的产品目录或产品附带的其他公司文档另有说明,否则我们的产品仅供研究使用,不得用于任何其他目的,包括但不限于未经授权的商业用途、体外诊断用途、离体或体内治疗用途或任何类型的消费或应用于人类或动物。


Still not finding the right product?

试用我们的 产品选型工具 工具缩小选择范围


存储类别

12 - Non Combustible Liquids

wgk

WGK 1

flash_point_f

Not applicable

flash_point_c

Not applicable



分析证书(COA)

输入产品批号来搜索 分析证书(COA) 。批号可以在产品标签上"批“ (Lot或Batch)字后找到。

已有该产品?

在文件库中查找您最近购买产品的文档。

访问文档库



Yi Sui et al.
British journal of cancer, 125(7), 1003-1015 (2021-07-12)
Metastasis is the major cause of treatment failure and cancer-related deaths in prostate cancer (PCa) patients. Our previous study demonstrated that a CD44+ subpopulation isolated from PCa cells or tumours possesses both stem cell properties and metastatic potential, serving as



全球贸易项目编号

货号GTIN
MABN31804053252947056