跳转至内容
Merck
CN

MABN361

Anti-VAPA Antibody, clone 7E10.1

clone 7E10.1, from mouse

别名:

Vesicle-associated membrane protein-associated protein A, VAMP-A, VAMP-associated protein A, VAP-A, 33 kDa VAMP-associated protein, VAP-33, VAPA

登录 查看组织和合同定价。

选择尺寸

变更视图

关于此项目

UNSPSC Code:
12352203
NACRES:
NA.41
eCl@ss:
32160702
Conjugate:
unconjugated
Clone:
7E10.1, monoclonal
Application:
IHC, WB
Citations:
-
技术服务
需要帮助?我们经验丰富的科学家团队随时乐意为您服务。
让我们为您提供帮助


biological source

mouse

Quality Level

conjugate

unconjugated

antibody form

purified immunoglobulin

antibody product type

primary antibodies

clone

7E10.1, monoclonal

species reactivity

mouse, human

technique(s)

immunohistochemistry: suitable (paraffin), western blot: suitable

isotype

IgG1κ

NCBI accession no.

UniProt accession no.

shipped in

wet ice

target post-translational modification

unmodified

Gene Information

human ... VAPA(9218)

General description

Vesicle-associated membrane protein-associated protein A (UniProt Q9P0L0; also known as 33 kDa VAMP-associated protein, hVAP-33, VAMP-A, VAMP-associated protein A, VAP-33, VAP-A) is encoded by the VAPA (also known as VAP33) gene (Gene ID 9218) in human. VAMP-associated proteins (VAPs) are type IV membrane proteins that are well conserved among species. There exist three human VAPs encoded by two genes, with VAPA encoding VAP-A and VAPB encoding VAP-B and VAP-C. VAPs generally localize at the endoplasmic reticulum (ER), although they are also reported to localize at other subcellular organelles in some species and cell types. VAP-A contains a major sperm protein (MSP) domain at the N-terminal, followed by a coiled-coil domain, and a transmembrane (TM) domain. VAPs were shown to have important roles in non-vesicular lipid transport, lipid metabolism, the regulation of ER structure, and the unfolded protein response through MSP domain-mediated interaction with FFAT motifs. Oxysterol-binding protein (OSBP) is a cytosolic receptor of cholesterol and oxysterols. OSBP is recruited to the ER by binding to the MSP domain of VAP-A, a process essential for the stimulation of sphingomyelin synthesis by 25-hydroxycholesterol.
~30 kDa observed. Uncharacterized band(s) may appear in some lysates.

Immunogen

Epitope: C-terminal half
GST-tagged recombinant protein corresponding to the C-terminal half of human VAPA.

Application

Research Category
Neuroscience
Research Sub Category
Developmental Signaling
This Anti-VAPA Antibody, clone 7E10.1 is validated for use in Western Blotting, Immunohistochemistry (Paraffin) for the detection of VAPA.
Western Blotting Analysis: 0.2 µg/mL from a representative lot detected VAPA in 10 µg of mouse brain tissue lysate.
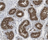
Immunohistochemistry Analysis: A 1:1,000 dilution from a representative lot detected VAPA in human cerebellum and human testis tissue.

Biochem/physiol Actions

Cross-reactivity to human VAPA spliced isoform 2 is highly expected, but not confirmed.

Physical form

Format: Purified
Protein G Purified
Purified mouse monoclonal IgG1κ antibody in buffer containing 0.1 M Tris-Glycine (pH 7.4), 150 mM NaCl with 0.05% sodium azide.

Preparation Note

Stable for 1 year at 2-8°C from date of receipt.

Analysis Note

Evaluated by Western Blotting in SH-SY5Y cell lysate.

Western Blotting Analysis: 0.2 µg/mL of this antibody detected VAPA in 10 µg of SH-SY5Y cell lysate.

Other Notes

Concentration: Please refer to lot specific datasheet.

Disclaimer

Unless otherwise stated in our catalog or other company documentation accompanying the product(s), our products are intended for research use only and are not to be used for any other purpose, which includes but is not limited to, unauthorized commercial uses, in vitro diagnostic uses, ex vivo or in vivo therapeutic uses or any type of consumption or application to humans or animals.


Still not finding the right product?

试用我们的 产品选型工具 工具缩小选择范围


存储类别

12 - Non Combustible Liquids

wgk

WGK 1

flash_point_f

Not applicable

flash_point_c

Not applicable



分析证书(COA)

输入产品批号来搜索 分析证书(COA) 。批号可以在产品标签上"批“ (Lot或Batch)字后找到。

已有该产品?

在文件库中查找您最近购买产品的文档。

访问文档库


相关内容

A major focus of breast cancer research is to understand the mechanisms responsible for disease progression and drug resistance. Toward that end, it has been found that approximately two thirds of all human breast carcinomas overexpress the Estrogen Receptor α (ERα) protein and it remains the primary pharmacological target for endocrine therapy1,2. The normal cellular function of ERα is as a transcription factor that mediates a wide variety of physiological processes, many of which are dependent upon phosphorylation of the receptor at specific amino acid residues3,4. Indeed, ERα is known to be phosphorylated at a multitude of different sites, yet how these all correlate to disease remains unclear5. Here, we interrogated multiple sites of ERα for phosphorylation status by screening an extensive panel of different breast cancer patient samples and other non-breast cancer tissue microarray (TMA) slide samples to determine their relevance to disease.





全球贸易项目编号

货号GTIN
MABN36104055977276992