跳转至内容
Merck
CN

MABN391

Anti-FIS1 Antibody, Clone 4D1.1

clone 4D1.1, from mouse

别名:

FIS-1, FIS 1, FIS1 homolog, Mitochondrial fission 1 protein, hFis1, hFis-1hFis 1, Tetratricopeptide repeat protein 11, Short name=TPR repeat protein 11

登录 查看组织和合同定价。

选择尺寸

变更视图

关于此项目

UNSPSC Code:
12352203
NACRES:
NA.41
eCl@ss:
32160702
Conjugate:
unconjugated
Clone:
4D1.1, monoclonal
Application:
IHC, WB
Citations:
1
技术服务
需要帮助?我们经验丰富的科学家团队随时乐意为您服务。
让我们为您提供帮助


biological source

mouse

Quality Level

conjugate

unconjugated

antibody form

purified immunoglobulin

antibody product type

primary antibodies

clone

4D1.1, monoclonal

species reactivity

human, rat

technique(s)

immunohistochemistry: suitable (paraffin), western blot: suitable

isotype

IgG2bκ

NCBI accession no.

UniProt accession no.

shipped in

wet ice

target post-translational modification

unmodified

Gene Information

human ... FIS1(51024)

General description

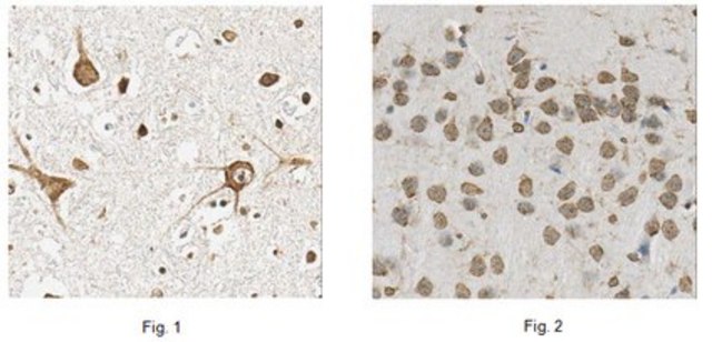
FIS1 or TTC11, or FIS1 homolog (hFis1), or Tetratricopeptide repeat protein 11 (TPR repeat protein 11) or Mitochondrial fission 1 protein is an interesting member of mitochondrial essential proteins. FIS1 is encoded by the nuclear gene FIS1 and is a key player in mitochondrial dynamics. In eukaryotic cells, the shape of mitochondria can be tuned to various physiological conditions by a balance of fusion and fission processes termed mitochondrial dynamics. Mitochondrial dynamics control not only the morphology but also the function of mitochondria, and therefore is crucial in many aspects of a cell′s life. Thus there is a dynamic balance between fission and fusion events that can promote health and normal cell growth or when dysfunctional mitochondrial dynamics have been implicated in a variety of human diseases including cancer. Human FIS1 a mitochondrial, outer membrane localized, adaptor protein that is critical to recruiting the cellular machinery needed for mitochondrial fission or fusion. FIS1 is inserted into the mitochondrial outer membrane via a C-terminal transmembrane domain that, along with a short basic segment, is essential for its targeting to the mitochondria. Overexpression of FIS1 in human cells causes mitochondrial fragmentation and aggregation. FIS1 interacts with the dynamin-related GTPase DLP1/DRP1, and along with other adaptor proteins such as MDV1, MFF, and MiD, the dynamin-related proteins form spirals around constricted sites on mitochondria and assist in the fission of it. In addition to mitochondria, FIS1 also mediates peroxisome fission via the interaction with DLP1 as well. EMD-Millipore’s Anti-FIS1 rabbit polyclonal antibody has been tested in western blot on HeLa cell extracts and in immunohistochemistry on human brain tissue sections.
~ 17 kDa observed

Immunogen

GST-tagged recombinant protein corresponding to Human FIS1.

Application

Immunohistochemistry Analysis: A 1:250 dilution from a representative lot detected FIS1 in human and rat cerebral cortex tissue.
Research Category
Neuroscience

Neuroscience
Research Sub Category
Neurodegenerative Diseases

Apoptosis - Additional
This Anti-FIS1 Antibody, Clone 4D1.1 is validated for use in Western Blotting and Immunohistochemistry (Paraffin) for the detection of FIS1.

Physical form

Format: Purified
Protein G Purified
Purified mouse monoclonal IgG2bκ in buffer containing 0.1 M Tris-Glycine (pH 7.4), 150 mM NaCl with 0.05% sodium azide.

Preparation Note

Stable for 1 year at 2-8°C from date of receipt.

Analysis Note

Evaluated by Western Blotting in Raji cell lysate.

Western Blotting Analysis: A 1 µg/mL dilution of this antibody detected FIS1 in 10 µg of Raji cell lysate.

Other Notes

Concentration: Please refer to lot specific datasheet.

Disclaimer

Unless otherwise stated in our catalog or other company documentation accompanying the product(s), our products are intended for research use only and are not to be used for any other purpose, which includes but is not limited to, unauthorized commercial uses, in vitro diagnostic uses, ex vivo or in vivo therapeutic uses or any type of consumption or application to humans or animals.


Still not finding the right product?

试用我们的 产品选型工具 工具缩小选择范围


存储类别

12 - Non Combustible Liquids

wgk

WGK 1

flash_point_f

Not applicable

flash_point_c

Not applicable



分析证书(COA)

输入产品批号来搜索 分析证书(COA) 。批号可以在产品标签上"批“ (Lot或Batch)字后找到。

已有该产品?

在文件库中查找您最近购买产品的文档。

访问文档库



Naresh C Bal et al.
The Journal of biological chemistry, 291(33), 17247-17257 (2016-06-15)
Skeletal muscle has been suggested as a site of nonshivering thermogenesis (NST) besides brown adipose tissue (BAT). Studies in birds, which do not contain BAT, have demonstrated the importance of skeletal muscle-based NST. However, muscle-based NST in mammals remains poorly



全球贸易项目编号

货号GTIN
MABN39104055977073737