biological source
mouse
Quality Level
conjugate
unconjugated
antibody form
purified immunoglobulin
antibody product type
primary antibodies
clone
3H8, monoclonal
species reactivity
human, mouse, rat
technique(s)
immunohistochemistry: suitable, western blot: suitable
isotype
IgG1
NCBI accession no.
UniProt accession no.
shipped in
wet ice
target post-translational modification
unmodified
Gene Information
human ... TARDBP(23435)
General description
TAR DNA-binding protein 43 (Tdp43) belongs to the hnRNP protein family and plays an important role in transcription, pre-mRNA splicing, mRNA stability and mRNA transport. It is involved in splicing of the apolipoprotein A-II and cystic fibrosis transmembrane gene. This protein is highly expressed in the pancreas, placenta, lung, genital tract and spleen. Mutations in Tdp43 have been associated with amyotrophic lateral sclerosis, frontotemporal dementia, Parkinson′s disease and Alzheimer′s disease.
~43 kDa observed
Immunogen
His-tagged recombinant protein corresponding to the N-terminus of human Tdp43.
Application
Detect TDP using this mouse monoclonal antibody, Anti-Tdp43 Antibody, clone 3H8 validated for use in western blotting & IHC.
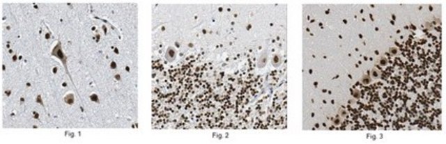
Immunohistochemistry Analysis: A 1:2,000 dilution from a representative lot detected Tdp43 in human frontal lobe, human cerebellum, and rat cerebellum tissue.
Research Category
Neuroscience
Neuroscience
Research Sub Category
Developmental Neuroscience
Developmental Neuroscience
Physical form
Format: Purified
Protein G Purified
Purified mouse monoclonal IgG1κ in buffer containing PBS with 0.05% sodium azide with 10% glycerol.
Preparation Note
Stable for 1 year at -20°C from date of receipt.
Handling Recommendations: Upon receipt and prior to removing the cap, centrifuge the vial and gently mix the solution. Aliquot into microcentrifuge tubes and store at -20°C. Avoid repeated freeze/thaw cycles, which may damage IgG and affect product performance.
Note: Variability in freezer temperatures below -20°C may cause glycerol containing solutions to become frozen during storage.
Handling Recommendations: Upon receipt and prior to removing the cap, centrifuge the vial and gently mix the solution. Aliquot into microcentrifuge tubes and store at -20°C. Avoid repeated freeze/thaw cycles, which may damage IgG and affect product performance.
Note: Variability in freezer temperatures below -20°C may cause glycerol containing solutions to become frozen during storage.
Analysis Note
Evaluated by Western Blotting in mouse brain nuclear extract tissue lysate.
Western Blotting Analysis: A 1:1,000 dilution of this antibody detected Tdp43 in 10 µg of mouse brain nuclear extract tissue lysate.
Western Blotting Analysis: A 1:1,000 dilution of this antibody detected Tdp43 in 10 µg of mouse brain nuclear extract tissue lysate.
Disclaimer
Unless otherwise stated in our catalog or other company documentation accompanying the product(s), our products are intended for research use only and are not to be used for any other purpose, which includes but is not limited to, unauthorized commercial uses, in vitro diagnostic uses, ex vivo or in vivo therapeutic uses or any type of consumption or application to humans or animals.
Still not finding the right product?
试用我们的 产品选型工具 工具缩小选择范围
存储类别
10 - Combustible liquids
wgk
WGK 2
Novel somatic single nucleotide variants within the RNA binding protein hnRNP A1 in multiple sclerosis patients.
Lee, S; Levin, M
F1000Research null
Kohei Nishino et al.
Acta neuropathologica communications, 7(1), 118-118 (2019-07-28)
Intracellular mislocalization of TAR DNA-binding protein 43 (TDP-43), a nuclear DNA/RNA-binding protein involved in RNA metabolism, is a pathological hallmark of amyotrophic lateral sclerosis (ALS). Although the aggregation-prone, TDP-43 C-terminal domain is widely considered as a key component of TDP-43
全球贸易项目编号
| 货号 | GTIN |
|---|---|
| MABN45 | 04053252931741 |