跳转至内容
Merck
CN

MABN501

Anti-SUR1 Antibody, clone N289/16

clone N289/16, from mouse

别名:

ATP-binding cassette sub-family C member 8, Sulfonylurea receptor 1

登录 查看组织和合同定价。

选择尺寸

变更视图

关于此项目

UNSPSC Code:
12352203
NACRES:
NA.41
eCl@ss:
32160702
Conjugate:
unconjugated
Clone:
N289/16, monoclonal
Application:
IHC, WB
Citations:
1
技术服务
需要帮助?我们经验丰富的科学家团队随时乐意为您服务。
让我们为您提供帮助


biological source

mouse

Quality Level

conjugate

unconjugated

antibody form

purified immunoglobulin

antibody product type

primary antibodies

clone

N289/16, monoclonal

species reactivity

human, mouse

species reactivity (predicted by homology)

rat (immunogen homology)

technique(s)

immunohistochemistry: suitable, western blot: suitable

isotype

IgG1κ

NCBI accession no.

UniProt accession no.

shipped in

wet ice

target post-translational modification

unmodified

Gene Information

human ... ABCC8(6833)

General description

Sulfonylurea receptor 1 (SUR1) is also called ATP-binding cassette sub-family C member 8, and is a member of the ABC transporter superfamily. SUR1 is a putative subunit of the beta-cell ATP-sensitive potassium channel (KATP) and functions as a regulator of ATP-sensitive K+ channels and insulin release.
~ 180 kDa observed

Immunogen

Recombinant protein corresponding to the C-terminus of rat SUR1.

Application

Anti-SUR1 Antibody, clone N289/16 is a highly specific mouse monoclonal antibody, that targets SUR & has been tested in western blotting & IHC.
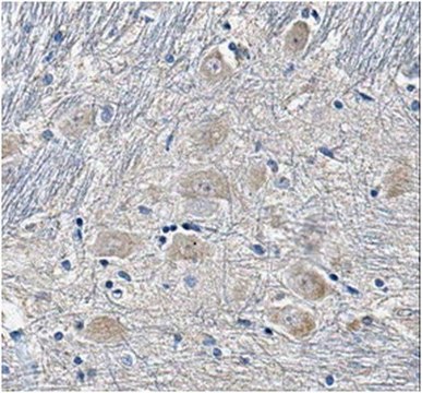
Immunohistochemistry Analysis: A 1:50 dilution from a representative lot detected SUR1 in human thalamus tissue.

Biochem/physiol Actions

This antibody recognizes the C-terminus of SUR1. Representative lot deteted Sur1 in crude brain membrane preparations
in SUR1 wild-type (WT) mouse cell lysate, and demonstrated a loss of signal in SUR1 knockout (KO) mouse cell lysate (Prof. J. Trimmer, University of California, Davis.).

Physical form

Format: Purified

Analysis Note

Control
Mouse hypothalamus tissue lysate
Evaluated by Western Blotting in mouse hypothalamus tissue lysate.

Western Blotting Analysis: 1.0 µg/mL of this antibody detected SUR1 in 10 µg of mouse hypothalamus tissue lysate.

Other Notes

Concentration: Please refer to the Certificate of Analysis for the lot-specific concentration.


Still not finding the right product?

试用我们的 产品选型工具 工具缩小选择范围


存储类别

12 - Non Combustible Liquids

wgk

WGK 1

flash_point_f

Not applicable

flash_point_c

Not applicable



分析证书(COA)

输入产品批号来搜索 分析证书(COA) 。批号可以在产品标签上"批“ (Lot或Batch)字后找到。

已有该产品?

在文件库中查找您最近购买产品的文档。

访问文档库



Yi-Ying Kuo et al.
Psychoneuroendocrinology, 118, 104712-104712 (2020-06-02)
Obesity, a critical feature in metabolic disorders, is associated with medical depression. Recent evidence reveals that brown adipose tissue (BAT) activity may contribute to mood disorders, Adenosine triphosphate (ATP)-sensitive K+ (KATP) channels regulate BAT sympathetic nerve activity. However, the mechanism



全球贸易项目编号

货号GTIN
MABN50104053252908163