跳转至内容
Merck
CN

MABN627

Anti-SDHB Antibody, clone 10C5.1

clone 10C5.1, from mouse

别名:

Succinate dehydrogenase [ubiquinone] iron-sulfur subunit, mitochondrial, SDHB, Iron-sulfur subunit of complex II, Ip

登录 查看组织和合同定价。

选择尺寸

变更视图

关于此项目

UNSPSC Code:
12352203
NACRES:
NA.43
eCl@ss:
32160702
Conjugate:
unconjugated
Clone:
10C5.1, monoclonal
Application:
IHC, WB
Citations:
-
技术服务
需要帮助?我们经验丰富的科学家团队随时乐意为您服务。
让我们为您提供帮助


biological source

mouse

conjugate

unconjugated

antibody form

purified immunoglobulin

antibody product type

primary antibodies

clone

10C5.1, monoclonal

species reactivity

human, mouse

technique(s)

immunohistochemistry: suitable (paraffin), western blot: suitable

isotype

IgG2aκ

NCBI accession no.

UniProt accession no.

shipped in

wet ice

target post-translational modification

unmodified

Gene Information

human ... SDHB(6390)

General description

Succinate dehydrogenase [ubiquinone] iron-sulfur subunit, mitochondrial (EC 1.3.5.1; UniProt P21912; also known as Ip, Iron-sulfur subunit of complex II) is encoded by the SDHB (also known as IP, SDH, CWS2, PGL4, SDH1, SDHIP) gene (Gene ID 6390) in human. Originally described by Otto Warburg and now commonly known as the Warburg effect refers to the phenomenon that many tumor cells use aerobic glycolysis instead of mitochondrial respiration for energy production to support cell growth and proliferation. Enzymes involved in the complex network of metabolic pathways are therefore being studied as potential cancer markers and targets for treatment. Succinate dehydrogenase (SDH), also known as mitochondrial respiratory Complex II, is a holoenzyme consisting of four essential subunits, SDHA (a flavoprotein), SDHB (iron-sulfur protein), and two membrane anchor units SDHC and SDHD. SDH assembly requires two factors, SDHAF1 and SDHAF2, while its function is influenced by the deacetylase activity of SIRT3. SDH is the only enzyme complex known to participate in both the TCA cycle and electron transport chain (ETC.). SDH catalyzes the oxidation of succinate in the TCA to form fumarate, a reaction that is coupled to the reduction of ubiquinone to ubiquinol in the ETC. SDH loss-of-function mutations have been linked to pheochromocytoma (PCC), paraganglioma (PGL), gastrointestinal stromal tumor (GIST), renal cell carcinoma, and ovarian cancer.
~30 kDa observed

Immunogen

Epitope: C-terminal half
GST-tagged recombinant protein corresponding to the C-terminal half of human SDHB.

Application

Research Category
Neuroscience
Research Sub Category
Developmental Neuroscience
Anti-SDHB Antibody, clone 10C5.1 is an antibody against SDHB for use in Western Blotting, Immunohistochemistry (Paraffin).
Western Blotting Analysis: 0.5 µg/mL from a representative lot detected SDHB in 10 µg of Jurkat cell lysate.
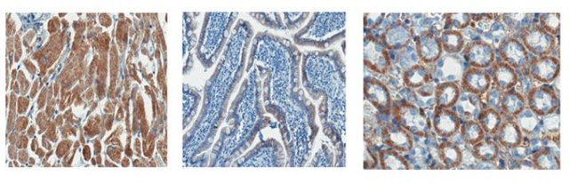
Immunohistochemistry Analysis: A 1:1,000 dilution from a representative lot detected SDHB in human heart, human small intestine, and mouse kidney tissue.

Physical form

Format: Purified
Protein G Purified
Purified mouse monoclonal IgG2aκ antibody in buffer containing 0.1 M Tris-Glycine (pH 7.4), 150 mM NaCl with 0.05% sodium azide.

Preparation Note

Stable for 1 year at 2-8°C from date of receipt.

Analysis Note

Evaluated by Western Blotting in HEK293 cell lysate.

Western Blotting Analysis: 0.5 µg/mL of this antibody detected SDHB in 10 µg of HEK293 cell lysate.

Other Notes

Concentration: Please refer to lot specific datasheet.

Disclaimer

Unless otherwise stated in our catalog or other company documentation accompanying the product(s), our products are intended for research use only and are not to be used for any other purpose, which includes but is not limited to, unauthorized commercial uses, in vitro diagnostic uses, ex vivo or in vivo therapeutic uses or any type of consumption or application to humans or animals.


Still not finding the right product?

试用我们的 产品选型工具 工具缩小选择范围


存储类别

12 - Non Combustible Liquids

wgk

WGK 1

法规信息

新产品

此项目有



分析证书(COA)

输入产品批号来搜索 分析证书(COA) 。批号可以在产品标签上"批“ (Lot或Batch)字后找到。

已有该产品?

在文件库中查找您最近购买产品的文档。

访问文档库


相关内容

Alzheimer’s Disease is a progressively deteriorating disease. It manifests itself with memory loss, confusion, problems with judgment, planning, concentration, and personality changes; and in it’s later stages, a decline in physical abilities. The disease’s causes, cures, and preventions are unknown; however, key proteins likely involved in the degenerative mechanism have been identified. Alzheimer’s Disease is characterized by neuronal loss, alterations in neurotransmitter systems, and the presence of neurofibrillary tangles composed of abnormally hyperphosphorylated tau proteins. A prominent feature of Alzheimer’s Disease is the formation of senile plaques in selected regions of the brain. The center of these plaques are composed mainly of fibrillary aggregates of a common, but not well understood, b amyloid peptides (Aβ). The Aβ peptides are generated from the larger amyloid-β precursor protein (APP) by the sequential action of β- and γ-secretase, and it is generally accepted that oligomeric forms of this Aβ are neurotoxic, resulting in disease progression.





全球贸易项目编号

货号GTIN
MABN62704055977300130