biological source
mouse
Quality Level
conjugate
unconjugated
antibody form
ascites fluid
antibody product type
primary antibodies
clone
2H7, monoclonal
species reactivity
human
technique(s)
flow cytometry: suitable, immunohistochemistry: suitable, western blot: suitable
isotype
IgG1
UniProt accession no.
shipped in
wet ice
target post-translational modification
unmodified
Gene Information
human ... G6PD(2539)
General description
Glucose-6-Phosphate Dehydrogenase (G6PD) is the rate-limiting enzyme in the pentose phosphate pathway that catalyzes the oxidation of catalyzes the oxidation of glucose-6-phosphate (G6P) to form pentose sugars for subequent biosynthetic pathways. Glucose-6-Phosphate Dehydrogenase also produces nicotinamide adenine dinucleotide phosphate (NADPH), an important electron donor that plays a protective role against oxidative stress, especially in red blood cells. Deficiencies in glucose-6-phosphate dehydrogenase may disrupt cell growth, cell signaling, and embryonic development. It is also fairly well established that mutations in the glucose-6-phosphate dehydrogenase result in a highly varied condition known as chronic non-spherocytic hemolytic anemia.
~59 kDa observed. Uncharacterized bands may appear in some lysate(s).
Immunogen
Purified recombinant fragment of human G6PD expressed in E. Coli.
Application
Detect Glucose-6-Phosphate Dehydrogenase using this mouse monoclonal antibody, Anti-G6PD Antibody, clone 2H7 validated for use in western blotting, IHC & Flow Cytometry.
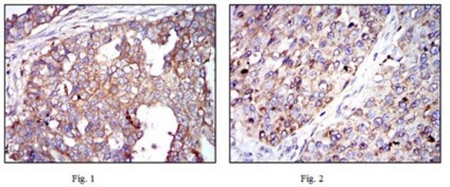
Immunohistochemistry Analysis: A 1:200-1,000 dilution from a representative lot detected G6PD in human breast cancer and kidney cancer tissues.
ELISA (Direct) Analysis: A 1:10,000 dilution from a representative lot detected G6PD with recombinant G6PD protein antigen.
Flow Cytometry Analysis: A 1:200-400 dilution from a representative lot detected G6PD in non serum starved Jurkat cells.
Optimal working dilutions must be determined by end user.
ELISA (Direct) Analysis: A 1:10,000 dilution from a representative lot detected G6PD with recombinant G6PD protein antigen.
Flow Cytometry Analysis: A 1:200-400 dilution from a representative lot detected G6PD in non serum starved Jurkat cells.
Optimal working dilutions must be determined by end user.
Research Category
Neuroscience
Neuroscience
Research Sub Category
Developmental Neuroscience
Developmental Neuroscience
Physical form
Mouse monoclonal IgG1 ascitic fluid containing up to 0.1% sodium azide.
Unpurified
Preparation Note
Stable for 1 year at -20°C from date of receipt.
Handling Recommendations: Upon receipt and prior to removing the cap, centrifuge the vial and gently mix the solution. Aliquot into microcentrifuge tubes and store at -20°C. Avoid repeated freeze/thaw cycles, which may damage IgG and affect product performance.
Handling Recommendations: Upon receipt and prior to removing the cap, centrifuge the vial and gently mix the solution. Aliquot into microcentrifuge tubes and store at -20°C. Avoid repeated freeze/thaw cycles, which may damage IgG and affect product performance.
Analysis Note
Control
HeLa, MCF-7, Jurkat and K562 cell lysates
HeLa, MCF-7, Jurkat and K562 cell lysates
Evaluated by Western Blotting in HeLa, MCF-7, Jurkat and K562 cell lysates.
Western Blotting Analysis: A 1:500-2,000 dilution of this antibody detected G6PD in HeLa, MCF-7, Jurkat and K562 cell lysates.
Western Blotting Analysis: A 1:500-2,000 dilution of this antibody detected G6PD in HeLa, MCF-7, Jurkat and K562 cell lysates.
Other Notes
Replaces: MABS391
Disclaimer
Unless otherwise stated in our catalog or other company documentation accompanying the product(s), our products are intended for research use only and are not to be used for any other purpose, which includes but is not limited to, unauthorized commercial uses, in vitro diagnostic uses, ex vivo or in vivo therapeutic uses or any type of consumption or application to humans or animals.
Still not finding the right product?
试用我们的 产品选型工具 工具缩小选择范围
存储类别
12 - Non Combustible Liquids
wgk
nwg
flash_point_f
Not applicable
flash_point_c
Not applicable
全球贸易项目编号
| 货号 | GTIN |
|---|---|
| MABN696 | 04053252920752 |