跳转至内容
Merck
CN

MABN704

Anti-ASS1 Antibody, clone 2C10

clone 2C10, from mouse

别名:

Argininosuccinate synthase, Citrulline--aspartate ligase, ASS1

登录 查看组织和合同定价。

选择尺寸

变更视图

关于此项目

UNSPSC Code:
12352203
NACRES:
NA.41
eCl@ss:
32160702
Conjugate:
unconjugated
Clone:
2C10, monoclonal
Application:
IHC, WB
Citations:
-
技术服务
需要帮助?我们经验丰富的科学家团队随时乐意为您服务。
让我们为您提供帮助


biological source

mouse

Quality Level

conjugate

unconjugated

antibody form

purified antibody

antibody product type

primary antibodies

clone

2C10, monoclonal

species reactivity

mouse, human, rat, monkey

technique(s)

immunohistochemistry: suitable, western blot: suitable

isotype

IgG1

UniProt accession no.

shipped in

wet ice

target post-translational modification

unmodified

Gene Information

human ... ASS1(445)

General description

Argininosuccinate synthase (ASS1) or alternatively known by the older name of Citrulline-Aspartate ligase is encoded by the ASS1/ASS gene in humans and is the enzyme that is responsible for the third step in the urea cycle critical to the metabolism of nitrogen. ASS1 catalyzes the synthesis of argininosuccinate from citrulline and aspartate. Argininosuccinate is the immediate precursor of arginine and ASS1 was first identified as the rate limiting step in the liver for this reaction. ASS1 is now recognized to be expressed ubiquitously in mammalian tissues. ASS1 also performs the rate limiting step for NO production in the citrulline-NO cycle as well. Regulation of ASS1 expression can vary depending upon the tissue examined. In the liver, where arginine is hydrolyzed to form urea and ornithine, ASS1 is highly expressed, and various hormones such as glucocorticoids, glucagon, insulin and even high dietary levels of specific amino acids like glutamine regulate expression of ASS1 during development and adult life. In other tissues and in particular in nitric oxide (NO) producing cells, ASS1 is expressed at a low level but induced by proinflammatory cytokines. Interestingly ASS1 expression is also increased in Alzheimer’s disease in both neurons and glia, which also is correlated with iNOS expression and suggests a link between increased NO production and iNOS expression observed in Alzheimer brains. EMD-Millipore’s Anti-ASS1 monoclonal antibody has been tested in western blot on recombinant protein and cell lysates from A431, Raji, MOLT4, Jurkat, A549, NIH3T3, PC-12, and COS7 and in paraffin embedded immunohistochemistry on cervical cancer tissue sections. The antibody has also been tested in direct ELISA on recombinant antigen.
~47 kDa observed. Uncharacterized bands may appear in some lysate(s).

Immunogen

Purified recombinant fragment of human ASS1 expressed in E. Coli.

Application

Research Sub Category
Neurodegenerative Diseases
Detect Argininosuccinate synthase using this mouse monoclonal antibody, Anti-ASS1 Antibody, clone 2C10 validated for use in western blotting & IHC.
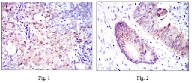
Immunohistochemistry Analysis: A 1:200-1,000 dilution from a representative lot detected ASS1 in human cervical cancer and colon cancer tissues.

Optimal working dilutions must be determined by end user.
Research Category
Neuroscience

Physical form

Format: Purified
Protein G Purified
Purified mouse monoclonal in PBS with up to 0.1% sodium azide.

Preparation Note

Stable for 1 year at 2-8°C from date of receipt.

Analysis Note

Control
A431, Raji, MOLT4, Jurkat, A549, NIH/3T3, PC-12 and Cos7 cell lysates
Evaluated by Western Blotting in A431, Raji, MOLT4, Jurkat, A549, NIH/3T3, PC-12 and Cos7 cell lysates.

Western Blotting Analysis: A 1:500-2,000 dilution of this antibody detected ASS1 in A431, Raji, MOLT4, Jurkat, A549, NIH/3T3, PC-12 and Cos7 cell lysates.

Disclaimer

Unless otherwise stated in our catalog or other company documentation accompanying the product(s), our products are intended for research use only and are not to be used for any other purpose, which includes but is not limited to, unauthorized commercial uses, in vitro diagnostic uses, ex vivo or in vivo therapeutic uses or any type of consumption or application to humans or animals.


Still not finding the right product?

试用我们的 产品选型工具 工具缩小选择范围


存储类别

12 - Non Combustible Liquids

wgk

WGK 2

flash_point_f

Not applicable

flash_point_c

Not applicable



分析证书(COA)

输入产品批号来搜索 分析证书(COA) 。批号可以在产品标签上"批“ (Lot或Batch)字后找到。

已有该产品?

在文件库中查找您最近购买产品的文档。

访问文档库



全球贸易项目编号

货号GTIN
MABN70404053252918070