biological source
mouse
Quality Level
conjugate
unconjugated
antibody form
purified immunoglobulin
antibody product type
primary antibodies
clone
Duox S-12, monoclonal
species reactivity
human
technique(s)
immunocytochemistry: suitable, immunohistochemistry: suitable, western blot: suitable
isotype
IgG1κ
NCBI accession no.
UniProt accession no.
shipped in
wet ice
target post-translational modification
unmodified
Gene Information
human ... DUOX2(50506)
General description
Dual oxidase 2 is an important enzyme in thyroid hormone biosynthesis and peroxide metabolism. Dual oxidase 2 generates the hydrogen peroxide needed for thyroid peroxidase and lactoperoxidase enzymes as well as processes H2O2 made during metabolic processes. Dual oxidase also plays a role in anti-microbial defense in our mucous membranes by providing the peroxidase for lactoperoxidase’s antimicrobial activities. Dual oxidase 2 is also needed for various extracellular matrix stabilizations and protein cross-linking needs such as during cuticle formation. Dual oxidase 2 is widely expressed in the developing fetus, and in the adult, it is largely expressed in the mucosal and epithelial cells and linings of the gut, lung, salivary glands and testis. Dual oxidase also plays a role in many hypersensitivity and inflammatory diseases and is upregulated in diseases such as colitis and certain cancers.
~175 kDa observed
Immunogen
Epitope: N-terminus
Recombinant protein corresponding to the N-terminus of human Dual oxidase 2.
Application
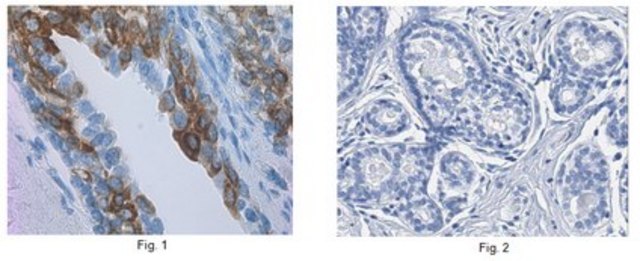
Immunohistochemistry Analysis: A 1:50 dilution from a representative lot detected Dual oxidase 2 in human prostate cancer and human breast cancer tissue.
Western Blotting Analysis: A representative lot detected Dual oxidase 2 in BxPC-3 cell lysate (Wu, Y., et al. (2013). International Journal of Oncology. 42:1229-1238).
Immunocytochemistry Analysis: A representative lot detected Dual oxidase 2 in MIA PACA-2 cell (Wu, Y., et al. (2013). International Journal of Oncology. 42:1229-1238).
Immunohistochemistry Analysis: A representative lot detected Dual oxidase 2 MIA PACA-2 tissue (Wu, Y., et al. (2013). International Journal of Oncology. 42:1229-1238).
Western Blotting Analysis: A representative lot detected Dual oxidase 2 in BxPC-3 cell lysate (Wu, Y., et al. (2013). International Journal of Oncology. 42:1229-1238).
Immunocytochemistry Analysis: A representative lot detected Dual oxidase 2 in MIA PACA-2 cell (Wu, Y., et al. (2013). International Journal of Oncology. 42:1229-1238).
Immunohistochemistry Analysis: A representative lot detected Dual oxidase 2 MIA PACA-2 tissue (Wu, Y., et al. (2013). International Journal of Oncology. 42:1229-1238).
Research Category
Neuroscience
Neuroscience
Research Sub Category
Developmental Neuroscience
Developmental Neuroscience
This Anti-Dual oxidase 2, clone Duox S-12 Antibody is validated for use in Western Blotting and Immunohistochemistry and Immunocytochemistry for the detection of Dual oxidase 2.
Physical form
Format: Purified
Protein G Purified
Purified mouse monoclonal IgG1κ in buffer containing 0.1 M Tris-Glycine (pH 7.4), 150 mM NaCl with 0.05% sodium azide.
Preparation Note
Stable for 1 year at 2-8°C from date of receipt.
Analysis Note
Evaluated by Western Blotting in BxPC3 treated with IL-4 cell lysate.
Western Blotting Analysis: 1.0 µg/mL of this antibody detected Dual oxidase 2 in 10 µg of BxPC3 treated with IL-4 cell lysate.
Western Blotting Analysis: 1.0 µg/mL of this antibody detected Dual oxidase 2 in 10 µg of BxPC3 treated with IL-4 cell lysate.
Other Notes
Concentration: Please refer to lot specific datasheet.
Disclaimer
Unless otherwise stated in our catalog or other company documentation accompanying the product(s), our products are intended for research use only and are not to be used for any other purpose, which includes but is not limited to, unauthorized commercial uses, in vitro diagnostic uses, ex vivo or in vivo therapeutic uses or any type of consumption or application to humans or animals.
Still not finding the right product?
试用我们的 产品选型工具 工具缩小选择范围
存储类别
12 - Non Combustible Liquids
wgk
WGK 1
flash_point_f
Not applicable
flash_point_c
Not applicable
Yonghzong Wu et al.
International journal of oncology, 42(4), 1229-1238 (2013-02-14)
Dual oxidase 2 (Duox2), one of the seven members of the NADPH oxidase gene family, plays a critical role in generating H2O2 for thyroid hormone biosynthesis and as an integral part of the host defense system of the respiratory epithelium
全球贸易项目编号
| 货号 | GTIN |
|---|---|
| MABN787 | 04053252988189 |