跳转至内容
Merck
CN

MABN812

Anti-VPS4A Antibody, clone 14B1.1

clone 14B1.1, from mouse

别名:

Vacuolar protein sorting-associated protein 4A, Protein SKD2, VPS4-1, hVPS4, VPS4A

登录 查看组织和合同定价。

选择尺寸

变更视图

关于此项目

UNSPSC Code:
12352203
NACRES:
NA.43
eCl@ss:
32160702
Conjugate:
unconjugated
Clone:
14B1.1, monoclonal
Application:
IHC, WB
Citations:
-
技术服务
需要帮助?我们经验丰富的科学家团队随时乐意为您服务。
让我们为您提供帮助


biological source

mouse

conjugate

unconjugated

antibody form

purified immunoglobulin

antibody product type

primary antibodies

clone

14B1.1, monoclonal

species reactivity

human, rat

technique(s)

immunohistochemistry: suitable (paraffin), western blot: suitable

isotype

IgG2aκ

NCBI accession no.

UniProt accession no.

shipped in

wet ice

target post-translational modification

unmodified

Gene Information

human ... VPS4A(27183)

General description

~50 kDa observed. Uncharacterized band(s) may appear in some lysates.
Vacuolar protein sorting-associated protein 4A (EC 3.6.4.6; UniProt Q9UN37; also known as hVPS4, Protein SKD2, SKD1-homolog, Vacuolar protein sorting factor 4A, Vacuolar sorting protein 4, VPS4A) is encoded by the VPS4A gene (also known as SKD1A, VPS4, VPS4-1) (Gene ID 27183) in human. Vps4 is a member of the ATPases associated with various cellular activities. The ESCRT (endosomal sorting complexes required for transport) machinery consists of five complexes (SCRT-0, ESCRT-I, ESCRT-II, ESCRT-III, and Vps4) that mediate multiple cellular membrane remodeling events, ranging from multivesicular bodies and exosomes formation to the final membrane abscission stage of cytokinesis, all of which converge in the scission of the narrow membrane neck that connects bud to parent membrane or daughter cell to daughter cell. Scission depends on the polymerization of soluble ESCRT-III monomers or dimers into tightly membrane-bound filaments. Vps4 is essential for ESCRT function in cells and it mediates the disassembly of ESCRT-III filaments to ensure a constant replenishing of the pool of soluble ESCRT-III monomers. The ESCRTs are also exploited by HIV-1 and many other enveloped viruses for their escape from the host cells. Vps4A is reported to facilitate the secretion of oncogenic miRNAs in exosomes and downregulation of Vps4A in hepatocellular carcinoma (HCC) is associated with tumor progression and metastasis.

Immunogen

Epitope: Near N-terminus
GST-tagged recombinant protein corresponding to human VPS4A sequence at the N-terminus.

Application

Detect VPS4A using this Anti-VPS4A Antibody, clone 14B1.1 validated for use in Western Blotting and Immunohistochemistry (Paraffin).
Research Category
Neuroscience
Research Sub Category
Developmental Signaling
Western Blotting Analysis: 0.5 µg/mL from a representative lot detected VPS4A in 200 µg of MCF-7 cell lysate.
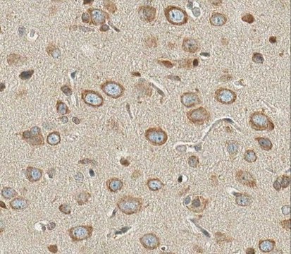
Immunohistochemistry Analysis: A 1:50 dilution from a representative lot detected VPS4A in rat cerebral cortex tissue.

Physical form

Format: Purified
Protein G Purified
Purified mouse monoclonal IgG2aκ antibody in buffer containing 0.1 M Tris-Glycine (pH 7.4), 150 mM NaCl with 0.05% sodium azide.

Preparation Note

Stable for 1 year at 2-8°C from date of receipt.

Analysis Note

Evaluated by Western Blotting in Jurkat cell lysate.

Western Blotting Analysis: 0.5 µg/mL of this antibody detected VPS4A in 200 µg of Jurkat cell lysate.

Other Notes

Concentration: Please refer to lot specific datasheet.

Disclaimer

Unless otherwise stated in our catalog or other company documentation accompanying the product(s), our products are intended for research use only and are not to be used for any other purpose, which includes but is not limited to, unauthorized commercial uses, in vitro diagnostic uses, ex vivo or in vivo therapeutic uses or any type of consumption or application to humans or animals.


Still not finding the right product?

试用我们的 产品选型工具 工具缩小选择范围


存储类别

12 - Non Combustible Liquids

wgk

WGK 1



分析证书(COA)

输入产品批号来搜索 分析证书(COA) 。批号可以在产品标签上"批“ (Lot或Batch)字后找到。

已有该产品?

在文件库中查找您最近购买产品的文档。

访问文档库


相关内容

A major focus of breast cancer research is to understand the mechanisms responsible for disease progression and drug resistance. Toward that end, it has been found that approximately two thirds of all human breast carcinomas overexpress the Estrogen Receptor α (ERα) protein and it remains the primary pharmacological target for endocrine therapy1,2. The normal cellular function of ERα is as a transcription factor that mediates a wide variety of physiological processes, many of which are dependent upon phosphorylation of the receptor at specific amino acid residues3,4. Indeed, ERα is known to be phosphorylated at a multitude of different sites, yet how these all correlate to disease remains unclear5. Here, we interrogated multiple sites of ERα for phosphorylation status by screening an extensive panel of different breast cancer patient samples and other non-breast cancer tissue microarray (TMA) slide samples to determine their relevance to disease.





全球贸易项目编号

货号GTIN
MABN81204055977173499