biological source
mouse
Quality Level
antibody form
purified antibody
antibody product type
primary antibodies
clone
81A, monoclonal
species reactivity
mouse, human
technique(s)
electron microscopy: suitable, immunocytochemistry: suitable, immunofluorescence: suitable, immunohistochemistry: suitable (paraffin), western blot: suitable
isotype
IgG2aκ
NCBI accession no.
UniProt accession no.
shipped in
dry ice
target post-translational modification
phosphorylation (pSer129)
Gene Information
human ... SNCA(6622)
General description
α-突触核蛋白(UniProt P37840;也称为NACP,AD淀粉样蛋白的非Aβ组分、淀粉样蛋白前体的非A4组分、突触核蛋白α-140)由人类中的SNCA(也称为NACP、PARK1、PARK4)基因(基因ID 6622)编码。病理性聚集是许多神经退行性疾病的共同特征,例如阿尔茨’海默氏病(AD)和额颞叶变性中的tau神经原纤维缠结(NFT),以及帕金森’氏病(PD)和LB痴呆(DLB)中的α-突触核蛋白(α-syn)路易体(LB)。α-突触核蛋白是一种浓缩在突触前末端的磷脂结合蛋白,在那里它促进SNARE复合物的形成并调节突触功能。α-突触核蛋白是表征PD、DLB和多系统萎缩(MSA)的病理性包涵体的主要成分。酪蛋白激酶-1(CK-1)和CK-2均可催化Ser129上α-突触核蛋白的磷酸化,并且在α-突触核蛋白包涵体中发现了Ser129磷酸化的α-突触核蛋白。
计算分子量14.46 kDa。
Immunogen
KLH偶联线性肽,对应于具有磷酸化Ser129的人α-突触核蛋白序列。
表位:pSer129
Application
使用经验证可用于电子显微镜、免疫细胞化学、免疫荧光、免疫组织化学(石蜡)和蛋白质印迹的抗磷酸化α-突触核蛋白(Ser129)抗体(克隆81A)检测磷酸化α-突触核蛋白。
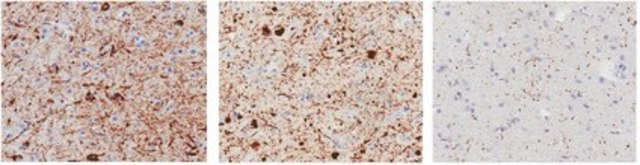
免疫组织化学分析:一个代表性批次以1:250-1,000稀释度检测到与M83转基因小鼠脑和人PD脑中的病理性包涵体相关的α-突触核蛋白pSer129免疫反应性。
免疫细胞化学分析:一个代表性批次在野生型小鼠和携带人类突变体P301S tau转基因但未携带Snca-/-的小鼠的培养的胚胎海马神经元中的路易体-/LB和路易神经突-/LN样内含物中检测到Ser129磷酸化α-突触核蛋白,在其暴露于C末端截短的Myc标记的α-突触核蛋白的预先形成的α-突触核蛋白原纤维(pffs)后(Guo, J.L., and Giasson, B.I.(2013).Cell.154(1):103-117)。
电子显微镜分析:一个代表性批次在人P301S突变型tau转基因小鼠胚胎海马神经元的神经元过程中的丝状结构中tau紧密的物理关联中检测到磷酸化的α-突触核蛋白,在该神经元暴露于用C末端截短的Myc标记的α-突触核蛋白反复自种而形成的α-突触核蛋白原纤维后(Guo, J.L., and Giasson, B.I.(2013).Cell.154(1):103-117)。
蛋白质印迹分析:一个代表性批次检测到在培养的小鼠胚胎海马神经元中形成的Triton不溶性α-突触核蛋白的磷酸化,在其暴露于C末端截短的,带有Myc标记的α-突触核蛋白的预先形成的α-突触核蛋白原纤维(pffs)后(Guo, J.L., and Giasson, B.I.(2013).Cell.154(1):103-117)。
蛋白质印迹分析:一个代表性批次在DLB(路易体痴呆)患者的扣带回皮质提取物和多系统萎缩(MSA)患者的小脑提取物中检测到Triton不溶性而非Triton不溶性α-突触核蛋白的Ser129磷酸化(Waxman,E.A.,et al.(2008).J. Neuropathol.Exp.Neurol.67(5):402-416)。
蛋白质印迹分析:一个代表性批次检测到CK1和CK2催化的α-突触核蛋白Ser129磷酸化,但未检测到CK1催化的-突触核蛋白Ser87磷酸化,也未检测到非磷酸化α-突触核蛋白(Waxman,E.A.,et al.(2008).J. Neuropathol.Exp.Neurol.67(5):402-416)。
免疫组织化学分析:一个代表性批次在PD(帕金森′病)、DLB(路易体痴呆)和MSA(多系统萎缩)患者的石蜡包埋脑组织切片中检测到病理性包涵体相关α-突触核蛋白Ser129磷酸化,而克隆81A在阿尔茨′海默病患者的海马中未检测到与神经原纤维缠结相关的α-突触核蛋白Ser129磷酸化(Waxman,E.A.,et al.(2008).J. Neuropathol.Exp.Neurol.67(5):402-416)。
免疫荧光分析:一个代表性批次通过荧光免疫组织化学在患有阿尔茨′海默氏病LB变体(LBVAD)的患者的石蜡包埋扣带回皮层切片和患有多系统萎缩(MSA)的患者的小脑切片中检测到病理性包涵体相关α-突触核蛋白Ser129磷酸化(Waxman,E.A.,et al.(2008).J. Neuropathol.Exp.Neurol.67(5):402-416)。
注意: 据报道,将转移的膜与4%多聚甲醛和0.01 ~ 0.1%戊二醛的组合一起孵育可使蛋白质印迹法对α-突触核蛋白Ser129磷酸化的检测灵敏度提高约10倍。如果不固定,α-突触核蛋白单体可以在孵育过程中从转移的膜上脱离(Sasaki,A.,et al.(2015).Sci. Rep.5:14211)。
免疫细胞化学分析:一个代表性批次在野生型小鼠和携带人类突变体P301S tau转基因但未携带Snca-/-的小鼠的培养的胚胎海马神经元中的路易体-/LB和路易神经突-/LN样内含物中检测到Ser129磷酸化α-突触核蛋白,在其暴露于C末端截短的Myc标记的α-突触核蛋白的预先形成的α-突触核蛋白原纤维(pffs)后(Guo, J.L., and Giasson, B.I.(2013).Cell.154(1):103-117)。
电子显微镜分析:一个代表性批次在人P301S突变型tau转基因小鼠胚胎海马神经元的神经元过程中的丝状结构中tau紧密的物理关联中检测到磷酸化的α-突触核蛋白,在该神经元暴露于用C末端截短的Myc标记的α-突触核蛋白反复自种而形成的α-突触核蛋白原纤维后(Guo, J.L., and Giasson, B.I.(2013).Cell.154(1):103-117)。
蛋白质印迹分析:一个代表性批次检测到在培养的小鼠胚胎海马神经元中形成的Triton不溶性α-突触核蛋白的磷酸化,在其暴露于C末端截短的,带有Myc标记的α-突触核蛋白的预先形成的α-突触核蛋白原纤维(pffs)后(Guo, J.L., and Giasson, B.I.(2013).Cell.154(1):103-117)。
蛋白质印迹分析:一个代表性批次在DLB(路易体痴呆)患者的扣带回皮质提取物和多系统萎缩(MSA)患者的小脑提取物中检测到Triton不溶性而非Triton不溶性α-突触核蛋白的Ser129磷酸化(Waxman,E.A.,et al.(2008).J. Neuropathol.Exp.Neurol.67(5):402-416)。
蛋白质印迹分析:一个代表性批次检测到CK1和CK2催化的α-突触核蛋白Ser129磷酸化,但未检测到CK1催化的-突触核蛋白Ser87磷酸化,也未检测到非磷酸化α-突触核蛋白(Waxman,E.A.,et al.(2008).J. Neuropathol.Exp.Neurol.67(5):402-416)。
免疫组织化学分析:一个代表性批次在PD(帕金森′病)、DLB(路易体痴呆)和MSA(多系统萎缩)患者的石蜡包埋脑组织切片中检测到病理性包涵体相关α-突触核蛋白Ser129磷酸化,而克隆81A在阿尔茨′海默病患者的海马中未检测到与神经原纤维缠结相关的α-突触核蛋白Ser129磷酸化(Waxman,E.A.,et al.(2008).J. Neuropathol.Exp.Neurol.67(5):402-416)。
免疫荧光分析:一个代表性批次通过荧光免疫组织化学在患有阿尔茨′海默氏病LB变体(LBVAD)的患者的石蜡包埋扣带回皮层切片和患有多系统萎缩(MSA)的患者的小脑切片中检测到病理性包涵体相关α-突触核蛋白Ser129磷酸化(Waxman,E.A.,et al.(2008).J. Neuropathol.Exp.Neurol.67(5):402-416)。
注意: 据报道,将转移的膜与4%多聚甲醛和0.01 ~ 0.1%戊二醛的组合一起孵育可使蛋白质印迹法对α-突触核蛋白Ser129磷酸化的检测灵敏度提高约10倍。如果不固定,α-突触核蛋白单体可以在孵育过程中从转移的膜上脱离(Sasaki,A.,et al.(2015).Sci. Rep.5:14211)。
研究子类别
神经退行性疾病
神经退行性疾病
研究类别
神经科学
神经科学
Biochem/physiol Actions
克隆81A检测到CK1和CK2催化的α-突触核蛋白Ser129磷酸化,但未检测到CK1催化的α-突触核蛋白Ser87磷酸化,也未检测到非磷酸化的α-突触核蛋白(Waxman,E.A.,et al.(2008).J. Neuropathol.Exp.Neurol.67(5):402-416)。
Physical form
形式:纯化
纯化的小鼠单克隆IgG2aκ,溶于含0.1 M Tris-甘氨酸(pH 7.4)、150 mM NaCl和0.05%叠氮化钠的缓冲液中。
纯化蛋白G
Preparation Note
自接收之日起,在2-8°C下可稳定保存1年。
Analysis Note
通过亚型检测进行鉴别确认。
亚型分析:通过亚型检测确认该单克隆抗体为IgG2aκ。
亚型分析:通过亚型检测确认该单克隆抗体为IgG2aκ。
Other Notes
Disclaimer
除非我们的目录或产品随附的其他公司文件中另有说明,否则我们的产品预期仅用于研究用途,不得用于任何其他目的,包括但不限于未经授权的商业用途、体外诊断用途、离体或体内治疗用途或对人类或动物的任何类型的消费或应用。
Still not finding the right product?
试用我们的 产品选型工具 工具缩小选择范围
存储类别
12 - Non Combustible Liquids
wgk
WGK 1
flash_point_f
Not applicable
flash_point_c
Not applicable
Lu-Lu Bu et al.
Frontiers in aging neuroscience, 12, 575481-575481 (2020-12-18)
Alpha-synuclein (α-Syn) is widely distributed and involved in the regulation of the nervous system. The phosphorylation of α-Syn at serine 129 (pSer129α-Syn) is known to be closely associated with α-Synucleinopathies, especially Parkinson's disease (PD). The present study aimed to explore
null
Dahyun Yu et al.
Acta neuropathologica communications, 10(1), 83-83 (2022-06-07)
Huntington's disease (HD) is a neurodegenerative disorder caused by a CAG trinucleotide repeat expansion in the HTT gene for which no therapies are available. HTT mutation causes protein misfolding and aggregation, preferentially affecting medium spiny neurons (MSNs) of the basal
全球贸易项目编号
| 货号 | GTIN |
|---|---|
| MABN826 | 04055977314984 |