跳转至内容
Merck
CN

MABN92

抗Iba1 / AIF1抗体

clone 20A12.1, from mouse

别名:

Allograft inflammatory factor 1, AIF-1, Ionized calcium-binding adapter molecule 1, Protein G1

登录 查看组织和合同定价。

选择尺寸

变更视图

关于此项目

UNSPSC Code:
12352203
NACRES:
NA.41
eCl@ss:
32160702
Conjugate:
unconjugated
Clone:
20A12.1, monoclonal
Application:
IHC, WB
Citations:
52
技术服务
需要帮助?我们经验丰富的科学家团队随时乐意为您服务。
让我们为您提供帮助


biological source

mouse

conjugate

unconjugated

antibody form

purified antibody

antibody product type

primary antibodies

clone

20A12.1, monoclonal

species reactivity

rat, mouse, human

packaging

antibody small pack of 25 μg

technique(s)

immunohistochemistry: suitable, western blot: suitable

isotype

IgG1κ

NCBI accession no.

UniProt accession no.

shipped in

ambient

storage temp.

2-8°C

target post-translational modification

unmodified

Gene Information

human ... AIF1(199)

General description

可观察到约17 kDa的条带
同种异体移植炎症因子-1(AIF-1)是一种17 kDa干扰素-γ(IFN-γ)诱导性Ca(2+)结合EF手蛋白,其在HLA III类基因组区域内进行编码。AIF-1也被称为电离的Ca(2+)结合连接蛋白1、小胶质细胞反应因子1和大炎肽。AIF-1的表达主要限于巨噬细胞/单核细胞谱系,并通过细胞因子(例如IFN-γ)增强。据报道它与神经元功能、炎症反应、同种异体移植排斥、自身免疫以及巨噬细胞的激活和功能有关。它也显示在自噬性疾病(例如实验性自身免疫性脑脊髓炎、神经炎和葡萄膜炎模型)的巨噬细胞和小胶质细胞中表达。

Immunogen

对应于人Iba1/AIF1的线性肽。

Application

研究子类别
发育神经科学
研究类别
神经科学
抗Iba1/AIF1抗体是一种用于WB和IH靶向Iba1/AIF1的抗体。
蛋白质印迹分析:1 µg/mL代表性批次产品在10 µg小鼠胸腺组织裂解液中检测到Iba1/AIF1。

蛋白质印迹分析:1 µg/mL代表性批次产品在10 µg大鼠胸腺组织裂解液中检测到Iba1/AIF1。

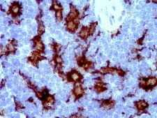
免疫组织化学分析:一个代表性批次产品以1:300的稀释度在人的脾脏组织中检测到Iba/AIF1。
免疫组织化学分析:一个代表性批次产品以1:1000稀释度在大鼠脾脏组织中检测到Iba/AIF1

Physical form

在含 0.1 M Tris-甘氨酸(pH 7.4),150 mM NaCl 和 0.05% 叠氮化钠的缓冲液中的纯化的小鼠单克隆 IgG1κ。
形式:纯化
蛋白G纯化

Preparation Note

自发运之日起,在 2-8°C 条件下可稳定保存1年

Analysis Note

对照
人胸腺组织裂解液
已通过蛋白质印迹法在人胸腺组织裂解液中进行了评估。

蛋白质印迹分析:1 µg/mL的该抗体在10 µg人胸腺组织裂解液中检测到Iba1/AIF1。

Other Notes

浓度:请参考批次特异性浓缩物的分析证书。

Disclaimer

除非我们的产品目录或产品附带的其他公司文档另有说明,否则我们的产品仅供研究使用,不得用于任何其他目的,包括但不限于未经授权的商业用途、体外诊断用途、离体或体内治疗用途或任何类型的消费或应用于人类或动物。


Still not finding the right product?

试用我们的 产品选型工具 工具缩小选择范围


存储类别

12 - Non Combustible Liquids

wgk

WGK 1

法规信息

常规特殊物品
低风险生物材料

此项目有



分析证书(COA)

输入产品批号来搜索 分析证书(COA) 。批号可以在产品标签上"批“ (Lot或Batch)字后找到。

已有该产品?

在文件库中查找您最近购买产品的文档。

访问文档库



Macrophage Ablation Reduces M2-Like Populations and Jeopardizes Tumor Growth in a MAFIA-Based Glioma Model.
Gabrusiewicz, K; Hossain, MB; Cortes-Santiago, N; Fan, X; Kaminska, B; Marini, FC; Fueyo et al.
Neoplasia null
Chelsea M Larabee et al.
Molecular vision, 22, 332-341 (2016-04-29)
Optic neuritis affects most patients with multiple sclerosis (MS), and current treatments are unreliable. The purpose of this study was to characterize the contribution of Th1 and Th17 cells to the development of optic neuritis. Mice were passively transferred myelin-specific
Barbara D'Angelo et al.
Neuropharmacology, 101, 13-23 (2015-09-20)
Hypoxic-ischaemic (HI) injury is an important cause of neurological morbidity in neonates. HI leads to pathophysiological responses, including inflammation and oxidative stress that culminate in cell death. Activation of glycogen synthase kinase 3β (GSK3β) and the signal transducer and activator



全球贸易项目编号

货号GTIN
MABN92-25UG04054839342769