跳转至内容
Merck
CN

MABS1136

Anti-Cathelicidin/FALL-39/LL-37 Antibody, clone 8C10.1

clone 8C10.1, from mouse

别名:

Cathelicidin antimicrobial peptide, 18 kDa cationic antimicrobial protein, CAP-18, hCAP-18

登录 查看组织和合同定价。

选择尺寸

变更视图

关于此项目

UNSPSC Code:
12352203
NACRES:
NA.41
eCl@ss:
32160702
Conjugate:
unconjugated
Clone:
8C10.1, monoclonal
Application:
IHC
Citations:
-
技术服务
需要帮助?我们经验丰富的科学家团队随时乐意为您服务。
让我们为您提供帮助


biological source

mouse

Quality Level

conjugate

unconjugated

antibody form

purified antibody

antibody product type

primary antibodies

clone

8C10.1, monoclonal

species reactivity

human

technique(s)

immunohistochemistry: suitable

isotype

IgG1κ

NCBI accession no.

UniProt accession no.

shipped in

wet ice

target post-translational modification

unmodified

Gene Information

human ... CAMP(820)

General description

19.30 kDa (prepro-hCAP-18), 16.02 kDa (pro-hCAP-18), 4.712 kDa (FALL-39; a.a. 132-170) and 4.493 kDa (LL-37; a.a. 134-170) calculated.
Cathelicidin antimicrobial peptide (UniProt P49913; also known as 18 kDa cationic antimicrobial protein, CAP-18, hCAP-18) is encoded by the CAMP (also known as CAP18, FALL39, LL37) gene (ORF HSD26; Gene ID 820) in human. The human cathelicidin antimicrobial protein 18 (hCAP-18) is initially translated as a precursor molecule with a signal peptide (a.a. 1-30) and a propeptide (a.a. 31-131) sequence, the removal of which yields the mature hCAP-18 (a.a. a.a. 132-173). During the inflammatory response, hCAP-18 is proteolytically cleaved into the FALL-39 (a.a 132-170), which is further processed to yield the antimicrobial protein LL-37 (CAP-37; a.a. 134-170). Neutrophils store preformed hCAP-18 within specific granules and release it into inflamed tissue as a result of granule exocytosis. Once released, hCAP-18 is activated by proteinase-3-mediated cleavage, a component of neutrophil primary granules. In addition to its microbicidal and LPS-sequestering activity, LL-37 is also involved in the regulation of innate and humoral immune responses, wound healing, and tissue repair.

Immunogen

Epitope: C-terminal.
KLH-conjugated linear peptide corresponding to the C-terminal sequence of human Cathelicidin/FALL-39/LL-37.

Application

Anti-Cathelicidin Antibody, clone 8C10.1 is an antibody against Cathelicidin/FALL-39/LL-37 for use in Immunohistochemistry.
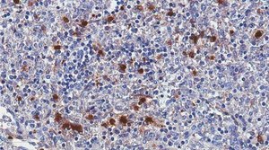
Immunohistochemistry Analysis: A 1:50 dilution from a representative lot detected Cathelicidin/FALL-39/LL-37 immunoreactivity in human spleen tissue sections.
Research Category
Signaling
Research Sub Category
Inflammation & Autoimmune Mechanisms

Biochem/physiol Actions

Clone 8C10.1 targets a C-terminal epitope present in the prepro- (a.a. 1-173) and pro- (a.a. 31-173) forms of hCAP-18, as well as the processed antibacterial peptides FALL-39 (a.a 132-170) and LL-37 (a.a. 134-170), but not the preprodomain (a.a. 1-131) or prodomain (a.a. 31-131) fragment.

Physical form

Format: Purified
Protein G Purified
Purified mouse monoclonal IgG1κ antibody in buffer containing 0.1 M Tris-Glycine (pH 7.4), 150 mM NaCl with 0.05% sodium azide.

Preparation Note

Stable for 1 year at 2-8°C from date of receipt.

Analysis Note

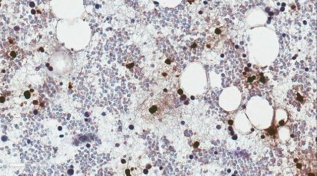
Evaluated by Immunohistochemistry in human bone marrow tissue.

Immunohistochemistry Analysis: A 1:50 dilution of this antibody detected Cathelicidin/FALL-39/LL-37 immunoreactivity in human bone marrow tissue sections.

Other Notes

Concentration: Please refer to lot specific datasheet.

Disclaimer

Unless otherwise stated in our catalog or other company documentation accompanying the product(s), our products are intended for research use only and are not to be used for any other purpose, which includes but is not limited to, unauthorized commercial uses, in vitro diagnostic uses, ex vivo or in vivo therapeutic uses or any type of consumption or application to humans or animals.


Still not finding the right product?

试用我们的 产品选型工具 工具缩小选择范围


存储类别

12 - Non Combustible Liquids

wgk

WGK 1

flash_point_f

Not applicable

flash_point_c

Not applicable



分析证书(COA)

输入产品批号来搜索 分析证书(COA) 。批号可以在产品标签上"批“ (Lot或Batch)字后找到。

已有该产品?

在文件库中查找您最近购买产品的文档。

访问文档库



全球贸易项目编号

货号GTIN
MABS113604055977344264