biological source
mouse
Quality Level
conjugate
unconjugated
antibody form
purified immunoglobulin
antibody product type
primary antibodies
clone
Nt2535-2835, monoclonal
species reactivity
mouse, human
technique(s)
ELISA: suitable, immunohistochemistry (formalin-fixed, paraffin-embedded sections): suitable, western blot: suitable
isotype
IgG1κ
UniProt accession no.
shipped in
wet ice
target post-translational modification
unmodified
Gene Information
human ... ROR2(4920)
General description
Tyrosine-protein kinase transmembrane receptor ROR2 (EC 2.7.10.1; UniProt Q9Z138; also known as mRor2, Ntrkr2, Neurotrophic tyrosine kinase receptor-related 2) is encoded by the Ror2 gene (Gene ID 26564) in murine species. Ror2 is a receptor tyrosine kinase that binds Wnt5a and negatively regulates canonical Wnt signaling. Although in C. elegans and Xenopus Ror2 is reported to modulate Wnt signaling nonautonomously by preventing Wnt from stimulating adjacent cells, studies conducted in mammalian cells suggest that Ror2 cytoplasmic domain is crucial for its function and Ror2 inhibits Wnt signaling in a cell-autonomous manner. Ror2 and the closely related Ror1 play essential roles during development. Human ROR2 gene mutations have been associated with dominant Brachydactyly B and recessive Robinow syndrome. Ror2-null mice exhibit skeletal abnormalities similar to the human syndromes. In addition, these mice display heart and lung defects and die perinatally. Ror2 is initially translated with an N-terminal signal sequence (a.a. 1-33), the removal of which yields the mature receptor with an extracellular region (a.a. 34-403), a transmembrane segment (a.a. 404-424), followed by the cytoplasmic region (a.a. 425-944) that contains the kinase domain (a.a. 473-746), a Pro-rich domain (a.a. 784-857) sandwiched between two Ser/Thr-rich domains (a.a. 753-782 and a.a. 859-882).
~120 kDa observed.
Immunogen
Epitope: Second Ser/Thr-rich domain.
Recombinant protein corresponding to the second Ser/Thr-rich domain of mouse mRor2.
Application
Anti-ROR2 Antibody, clone Nt 2535-2835 is an antibody against ROR2 for use in Western Blotting, Immunohistochemistry, Immunohistochemistry (Paraffin), ELISA.
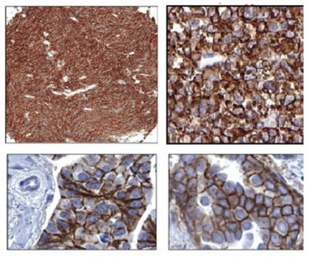
Immunohistochemistry Analysis: A representative lot detected Ror2 immunoreactivity in parafffin-embedded leiomyosarcoma (LMS) tumor, lung cancer, and breast cancer tissue sections (Courtesy of Dr. Roel Nusse, Stanford University, CA).
Immunohistochemistry Analysis: A representative lot detected Ror2 expression in various regions of wild-type and Ror2+/-, but not Ror2-/-, mouse E13.5 embryos by both fluorescent and non-fluorescent immunohistochemistry using paraformaldehyde-fixed, paraffin-embedded whole mount sections (Mikels, A., et al. (2009). J. Biol. Chem. 284(44):30167-30176).
Immunohistochemistry Analysis: A representative lot detected Ror2 expression in the dermis of wild-type, but not Ror2-knockout mouse skin from E16.5 mouse embryos using paraformaldehyde-fixed, paraffin-embedded whole mount sections (van Amerongen, R., et al. (2012). Dev. Biol. 369(1):101-114).
Western Blotting Analysis: A representative lot detected full-length murine Ror2, as well as Ror2 deletion constructs lacking the first Ser/Thr-rich domain (ST1; a.a 753-782) or the Pro-rich domain (a.a. 784-857), but not Ror2 deletion mutants lacking the ST2 (a.a. 859-882) domain (Mikels, A., et al. (2009). J. Biol. Chem. 284(44):30167-30176).
Enzyme-linked Immunoabsorbent Assay (ELISA): The immunoreactivity of a representative lot toward the immunogen MBP fusion protein was confirmed by ELISA (Mikels, A., et al. (2009). J. Biol. Chem. 284(44):30167-30176).
Immunohistochemistry Analysis: A representative lot detected Ror2 expression in various regions of wild-type and Ror2+/-, but not Ror2-/-, mouse E13.5 embryos by both fluorescent and non-fluorescent immunohistochemistry using paraformaldehyde-fixed, paraffin-embedded whole mount sections (Mikels, A., et al. (2009). J. Biol. Chem. 284(44):30167-30176).
Immunohistochemistry Analysis: A representative lot detected Ror2 expression in the dermis of wild-type, but not Ror2-knockout mouse skin from E16.5 mouse embryos using paraformaldehyde-fixed, paraffin-embedded whole mount sections (van Amerongen, R., et al. (2012). Dev. Biol. 369(1):101-114).
Western Blotting Analysis: A representative lot detected full-length murine Ror2, as well as Ror2 deletion constructs lacking the first Ser/Thr-rich domain (ST1; a.a 753-782) or the Pro-rich domain (a.a. 784-857), but not Ror2 deletion mutants lacking the ST2 (a.a. 859-882) domain (Mikels, A., et al. (2009). J. Biol. Chem. 284(44):30167-30176).
Enzyme-linked Immunoabsorbent Assay (ELISA): The immunoreactivity of a representative lot toward the immunogen MBP fusion protein was confirmed by ELISA (Mikels, A., et al. (2009). J. Biol. Chem. 284(44):30167-30176).
Research Category
Signaling
Signaling
Research Sub Category
Kinases & Phosphatases
Kinases & Phosphatases
Biochem/physiol Actions
Clone Nt 2535-2835 is specific to the mouse and human ROR2, but does not detect mouse ROR1. Clone Nt 2535-2835 exclusively detects ROR2 protein in paraffin-embedded tissues (Mikels, A., et al. (2009). J. Biol. Chem. 284(44):30167-30176).
Physical form
Format: Purified
Protein G Purified
Purified mouse monoclonal IgG1κ antibody in buffer containing 0.1 M Tris-Glycine (pH 7.4), 150 mM NaCl with 0.05% sodium azide.
Preparation Note
Stable for 1 year at 2-8°C from date of receipt.
Analysis Note
Evaluated by Western Blotting in MEF-1 cell lysate.
Western Blotting Analysis: 0.5 µg/mL of this antibody detected ROR2 in 10 µg of MEF-1 cell lysate.
Western Blotting Analysis: 0.5 µg/mL of this antibody detected ROR2 in 10 µg of MEF-1 cell lysate.
Other Notes
Concentration: Please refer to lot specific datasheet.
Disclaimer
Unless otherwise stated in our catalog or other company documentation accompanying the product(s), our products are intended for research use only and are not to be used for any other purpose, which includes but is not limited to, unauthorized commercial uses, in vitro diagnostic uses, ex vivo or in vivo therapeutic uses or any type of consumption or application to humans or animals.
Still not finding the right product?
试用我们的 产品选型工具 工具缩小选择范围
存储类别
12 - Non Combustible Liquids
wgk
WGK 1
flash_point_f
Not applicable
flash_point_c
Not applicable
Renée van Amerongen et al.
Developmental biology, 369(1), 101-114 (2012-07-10)
Embryonic development is controlled by a small set of signal transduction pathways, with vastly different phenotypic outcomes depending on the time and place of their recruitment. How the same molecular machinery can elicit such specific and distinct responses, remains one
Ror2 receptor requires tyrosine kinase activity to mediate Wnt5A signaling.
Mikels, A; Minami, Y; Nusse, R
The Journal of Biological Chemistry null
全球贸易项目编号
| 货号 | GTIN |
|---|---|
| MABS1152 | 04055977301236 |