跳转至内容
Merck
CN

MABS1171

Anti-MPST Antibody, clone 1H10.1

clone 1H10.1, from mouse

别名:

3-mercaptopyruvate sulfurtransferase, MpST, MST, tRNA thiouridine modification protein, TUM1

登录 查看组织和合同定价。

选择尺寸

变更视图

关于此项目

UNSPSC Code:
12352203
NACRES:
NA.41
eCl@ss:
32160702
Conjugate:
unconjugated
Clone:
1H10.1, monoclonal
Application:
IHC, WB
Citations:
-
技术服务
需要帮助?我们经验丰富的科学家团队随时乐意为您服务。
让我们为您提供帮助


biological source

mouse

Quality Level

conjugate

unconjugated

antibody form

purified immunoglobulin

antibody product type

primary antibodies

clone

1H10.1, monoclonal

species reactivity

human

technique(s)

immunohistochemistry: suitable (paraffin), western blot: suitable

isotype

IgG2aκ

NCBI accession no.

UniProt accession no.

shipped in

wet ice

target post-translational modification

unmodified

Gene Information

human ... MPST(4357)

General description

3-mercaptopyruvate sulfurtransferase (EC 2.8.1.2; UniProt P25325; also known as MpST, MST, tRNA thiouridine modification protein, TUM1) is encoded by the MPST (also known as TST2) gene (Gene ID 4357) in human. 3-mercaptopyruvate sulfurtransferase (MpST) catalyzes the transfer of a sulfur ion to cyanide or other thiol compounds and plays a central role in both cysteine degradation and cyanide detoxification. MpST is also known as tRNA thiouridine modification protein (TUM1) and is implicated in other cellular processes in addition to cyanide detoxification, ranging from thiolation of cytosolic tRNAs to the generation of H2S as signaling molecule both in mitochondria and the cytosol. Chronic cyanide intoxications caused by cyanogenic substances present in food products can lead to neurological disorders. MpST and rhodanese [EC 2.8.1.1] are two enzymes that catalyze cyanide detoxification, with MpST also displaying weak rhodanese activity. Cyanide detoxification by rhodanese requires the presence of compounds bearing labile sulfane sulfur, while mercaptopyruvate is needed for MpST catalyzed reaction. Under oxidative stress conditions, the catalytic cysteine site is converted to a sulfenate, resulting in an inactivation of MpST enzymatic activity. Reduced thioredoxin reactivates the enzyme by cleaving an intersubunit disulfide bond to turn the redox switch on. Aberrant MpST activity is found in a few cases of mercaptolactate-cysteine disulfiduria (MCDU) characterized by the appearance of large quantaties of the sulfur-containing amino acid, beta-mercaptolactate-cysteine disulfide, in the urine.
~33 kDa observed. 33.05 kDa (isoform 1) and 35.12 kDa (isoform 2) calculated (Met1 removed). Uncharacterized band(s) may appear in some lysates.

Immunogen

Epitope: Second Rhodanese domain.
GST-tagged recombinant fragment from the second Rhodanese domain of human MPST.

Application

Research Category
Signaling
Research Sub Category
Toxicology & Drug Resistance
This Anti-MPST Antibody, clone 1H10.1 is validated for use in Western Blotting, Immunohistochemistry (Paraffin) for the detection of MPST.
Western Blotting Analysis: 0.5 µg/mL from a representative lot detected MPST in 10 µg of human liver tissue lysate.
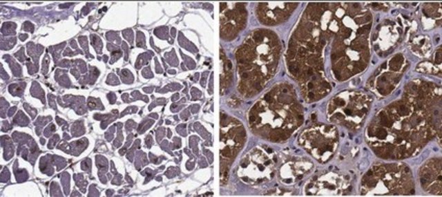
Immunohistochemistry Analysis: A 1:50 dilution from a representative lot detected MPST in human heart and kidney tissue sections.

Biochem/physiol Actions

Clone 1H10.1 targets an epitope in the second Rhodanese domain present in both spliced isoforms of human MPST reported by UniProt (P25325).

Physical form

Format: Purified
Protein G purified.
Purified mouse monoclonal IgG2aκ antibody in buffer containing 0.1 M Tris-Glycine (pH 7.4), 150 mM NaCl with 0.05% sodium azide.

Preparation Note

Stable for 1 year at 2-8°C from date of receipt.

Analysis Note

Evaluated by Western Blotting in SHSY-5Y cell lysate.

Western Blotting Analysis: 0.5 µg/mL of this antibody detected MPST in 10 µg of SHSY-5Y cell lysate.

Other Notes

Concentration: Please refer to lot specific datasheet.

Disclaimer

Unless otherwise stated in our catalog or other company documentation accompanying the product(s), our products are intended for research use only and are not to be used for any other purpose, which includes but is not limited to, unauthorized commercial uses, in vitro diagnostic uses, ex vivo or in vivo therapeutic uses or any type of consumption or application to humans or animals.


Still not finding the right product?

试用我们的 产品选型工具 工具缩小选择范围


存储类别

12 - Non Combustible Liquids

wgk

WGK 1

flash_point_f

Not applicable

flash_point_c

Not applicable



分析证书(COA)

输入产品批号来搜索 分析证书(COA) 。批号可以在产品标签上"批“ (Lot或Batch)字后找到。

已有该产品?

在文件库中查找您最近购买产品的文档。

访问文档库



全球贸易项目编号

货号GTIN
MABS117104055977353006