跳转至内容
Merck
CN

MABS1201

Anti-OSBP Antibody, clone 1A6.2

clone 1A6.2, from mouse

别名:

Oxysterol-binding protein 1

登录 查看组织和合同定价。

选择尺寸

变更视图

关于此项目

UNSPSC Code:
12352203
NACRES:
NA.41
eCl@ss:
32160702
Conjugate:
unconjugated
Clone:
1A6.2, monoclonal
Application:
IHC, WB
Citations:
-
技术服务
需要帮助?我们经验丰富的科学家团队随时乐意为您服务。
让我们为您提供帮助


biological source

mouse

Quality Level

conjugate

unconjugated

antibody form

purified immunoglobulin

antibody product type

primary antibodies

clone

1A6.2, monoclonal

species reactivity

human

technique(s)

immunohistochemistry: suitable (paraffin), western blot: suitable

isotype

IgG2bκ

NCBI accession no.

UniProt accession no.

shipped in

wet ice

target post-translational modification

unmodified

Gene Information

human ... OSBP(5007)

General description

Oxysterol-binding protein 1 (UniProt P22059) is encoded by the OSBP (also known as OSBP1) gene (Gene ID 5007) in human. OSBP mediates the transport of cholesterol and phosphatidylinositol 4-phosphate (PtdIns4P, PI-4-P, PI4P) between endoplasmic reticulum (ER) and Golgi. OSBP links ER and trans-Golgi membranes at the ER-Golgi membrane contact sites (MCSs) and shuttles sterol into the Golgi and PI4P back to the ER, where it is hydrolyzed by the PI4P-phosphatase Sac1. OSBP contains an FFAT (phenylalanines (FF) in an acidic tract) motif (a.a. 358-364) that binds ER-resident VAP protein and an N-terminal pleckstrin homology (PH) domain (a.a. 88-181) that binds PI4P. OSBP and OSBP-related protein 4 (ORP4) are reported to be involved in virus-induced membrane alterations essential for viral replication organelle formation. OSBP knockdown inhibits virus replication, whereas overexpression of OSBP or ORP4 counteracts the antiviral effects of the OSBP/ORP4 antagonist OSW-1.
~90 kDa observed. 89.42 kDa calculated. Uncharacterized band(s) may appear in some lysates.

Immunogen

Epitope: C-terminal region.
GST-tagged recombinant human OSBP C-terminal fragment.

Application

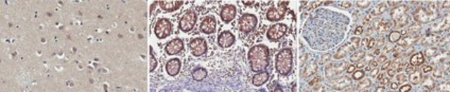
Immunohistochemistry Analysis: A 1:50-250 dilution from a representative lot detected OSBP in human cerebral cortex, small intestine, and kidney tissue sections.
Research Category
Signaling
Research Sub Category
Vesicular Trafficking
This Anti-OSBP Antibody, clone 1A6.2 is validated for use in Western Blotting, Immunohistochemistry (Paraffin) for the detection of OSBP.

Biochem/physiol Actions

Clone 1A6.2 targets an epitope in the C-terminal region of human OSBP.

Physical form

Format: Purified
Protein G purified.
Purified mouse monoclonal IgG2bκ antibody in buffer containing 0.1 M Tris-Glycine (pH 7.4), 150 mM NaCl with 0.05% sodium azide.

Preparation Note

Stable for 1 year at 2-8°C from date of receipt.

Analysis Note

Evaluated by Western Blotting in Jurkat cell lysate.

Western Blotting Analysis: 0.5 µg/mL of this antibody detected OSBP in 10 µg of Jurkat cell lysate.

Other Notes

Concentration: Please refer to lot specific datasheet.

Disclaimer

Unless otherwise stated in our catalog or other company documentation accompanying the product(s), our products are intended for research use only and are not to be used for any other purpose, which includes but is not limited to, unauthorized commercial uses, in vitro diagnostic uses, ex vivo or in vivo therapeutic uses or any type of consumption or application to humans or animals.


Still not finding the right product?

试用我们的 产品选型工具 工具缩小选择范围


存储类别

12 - Non Combustible Liquids

wgk

WGK 1



分析证书(COA)

输入产品批号来搜索 分析证书(COA) 。批号可以在产品标签上"批“ (Lot或Batch)字后找到。

已有该产品?

在文件库中查找您最近购买产品的文档。

访问文档库



全球贸易项目编号

货号GTIN
MABS120104055977352917