biological source
rat
Quality Level
conjugate
unconjugated
antibody form
purified antibody
antibody product type
primary antibodies
clone
273-34A, monoclonal
species reactivity
mouse, human
technique(s)
ELISA: suitable, electron microscopy: suitable, immunohistochemistry (formalin-fixed, paraffin-embedded sections): suitable, immunoprecipitation (IP): suitable
isotype
IgG2aκ
NCBI accession no.
UniProt accession no.
shipped in
wet ice
target post-translational modification
unmodified
Gene Information
human ... THBD(7056)
mouse ... Thbd(21824)
General description
血栓调节蛋白(UniProt P15306;也称为 CD141、Fetomodulin、SnoRNA MBII-339、TM)由鼠类物种中的 Thbd 基因(基因 ID 21824)编码。血栓调节蛋白(TM)是一种内皮细胞表面蛋白,其作用是作为凝血酶受体,抑制凝血酶(活性凝血因子 II)的生成。TM-凝血酶复合物的形成通过改变其底物特异性而消除了凝血酶′的促凝血活性,从而导致蛋白 C 发生蛋白水解形成天然抗凝剂,称为“活化的蛋白 C”。活化的蛋白 C 与蛋白 S 一起蛋白水解活化凝血因子 Va 和 VIIIa,从而防止了活化凝血因子 Xa 和凝血酶的产生。鼠血栓调节蛋白最初产生时带有一个 N 末端前肽(aa1-16)序列,将其去除会产生成熟蛋白,该蛋白具有一个大的胞外域(aa17-517),一个跨膜段(aa518-541),和一个短的胞质尾巴(aa542-577)。
计算得出的分子量:~ 62 kDa
Immunogen
正常小鼠肺微粒体部分。
表位:胞外域
Application
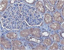
免疫组化分析:一个代表批次以 1:50 的稀释度在人肾组织中检测到血栓调节蛋白。
免疫沉淀分析:一个代表性批次从正常小鼠肺成纤维细胞(NMLF)(而非 1 号小鼠肺癌细胞)中免疫沉淀了 112 kDa 血栓调节素(Kennel, S.J., et al. (1988).Lab. Invest. 59(5):692-701; Kennel, S.J., et al. (1987).Exp.Mol.Pathol.47(1):110-124)。
免疫组化分析:一个有代表性的批次使用福尔马林固定、石蜡包埋的小鼠皮肤切片在伤口愈合期间检测到与新表皮相关的血栓调节蛋白免疫反应性上调(Peterson, J.J., et al. (1999).Am. J. Pathol.155(5): 1569–1575)。
免疫组化分析:代表性批次在石蜡包埋的小鼠肺切片中检测到上皮血栓调节蛋白免疫反应性(Ford, V.A., et al. (1992).J. Biol. Chem. 267(8):5446-5450; Kennel, S.J., et al. (1987).Exp.Mol.Pathol.47(1):110-124)。
免疫组化分析:一个代表性的批次使用冷冻的小鼠肺切片通过荧光免疫组化检测到了与毛细血管内皮细胞相关的血栓调节蛋白免疫反应性(Kennel, S.J., et al. (1987).Exp.Mol.Pathol.47(1):110-124)
ELISA 分析:代表性批次用作捕获抗体,使用克隆 411-201B,货号 MABS1273,作为检测抗体,然后是 HRP 偶联的二抗进行夹心 ELISA 分析,或使用 125I 标记的克隆 411-201B 作为检测抗体进行夹心放射免疫分析(Isermann,B.,et al。(2001)。Development.128(6):827-838; Conway, E.M., et al. (1999).Blood.93(10):3442-3450; Weiler-Guettler, H., et al. (1996).Circ.Res. 78(2):180-187; Ford, V.A., et al. (1992).J. Biol. Chem. 267(8):5446-5450)。
电子显微镜分析:代表性的批次使用冷冻的小鼠肺切片通过 EM 检测到与毛细血管内皮细胞相关的血栓调节蛋白免疫反应性(Kennel, S.J., et al. (1988).Lab. Invest. 59(5):692-701; Kennel, S.J., et al. (1987).Exp.Mol.Pathol.47(1):110-124)。
蛋白质印迹分析:一个代表性的批次从正常小鼠肺成纤维细胞(NMLF)中检测到纯化的血栓调节蛋白(P112)(Kennel, S.J., et al. (1988).Lab. Invest. 59(5):692-701).
免疫沉淀分析:一个代表性批次从正常小鼠肺成纤维细胞(NMLF)(而非 1 号小鼠肺癌细胞)中免疫沉淀了 112 kDa 血栓调节素(Kennel, S.J., et al. (1988).Lab. Invest. 59(5):692-701; Kennel, S.J., et al. (1987).Exp.Mol.Pathol.47(1):110-124)。
免疫组化分析:一个有代表性的批次使用福尔马林固定、石蜡包埋的小鼠皮肤切片在伤口愈合期间检测到与新表皮相关的血栓调节蛋白免疫反应性上调(Peterson, J.J., et al. (1999).Am. J. Pathol.155(5): 1569–1575)。
免疫组化分析:代表性批次在石蜡包埋的小鼠肺切片中检测到上皮血栓调节蛋白免疫反应性(Ford, V.A., et al. (1992).J. Biol. Chem. 267(8):5446-5450; Kennel, S.J., et al. (1987).Exp.Mol.Pathol.47(1):110-124)。
免疫组化分析:一个代表性的批次使用冷冻的小鼠肺切片通过荧光免疫组化检测到了与毛细血管内皮细胞相关的血栓调节蛋白免疫反应性(Kennel, S.J., et al. (1987).Exp.Mol.Pathol.47(1):110-124)
ELISA 分析:代表性批次用作捕获抗体,使用克隆 411-201B,货号 MABS1273,作为检测抗体,然后是 HRP 偶联的二抗进行夹心 ELISA 分析,或使用 125I 标记的克隆 411-201B 作为检测抗体进行夹心放射免疫分析(Isermann,B.,et al。(2001)。Development.128(6):827-838; Conway, E.M., et al. (1999).Blood.93(10):3442-3450; Weiler-Guettler, H., et al. (1996).Circ.Res. 78(2):180-187; Ford, V.A., et al. (1992).J. Biol. Chem. 267(8):5446-5450)。
电子显微镜分析:代表性的批次使用冷冻的小鼠肺切片通过 EM 检测到与毛细血管内皮细胞相关的血栓调节蛋白免疫反应性(Kennel, S.J., et al. (1988).Lab. Invest. 59(5):692-701; Kennel, S.J., et al. (1987).Exp.Mol.Pathol.47(1):110-124)。
蛋白质印迹分析:一个代表性的批次从正常小鼠肺成纤维细胞(NMLF)中检测到纯化的血栓调节蛋白(P112)(Kennel, S.J., et al. (1988).Lab. Invest. 59(5):692-701).
研究子类别
信号神经科学
信号神经科学
研究类别
信号传导
信号传导
该抗血栓调节蛋白抗体(克隆 273-34A)经过验证可用在免疫组化、免疫沉淀、免疫组化(石蜡)、ELISA、电子显微镜中检测血栓调节蛋白。
Physical form
在含 0.1 M Tris-甘氨酸(pH 7.4),150 mM NaCl 和 0.05% 叠氮化钠的缓冲液中的纯化的大鼠单克隆 IgG2aκ 抗体。
形式:纯化的
蛋白 G 纯化
Preparation Note
自收到之日起,在 2-8°C 条下可稳定保存 1 年。
Analysis Note
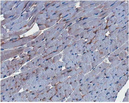
通过免疫组化在小鼠心脏组织中进行了评估。
免疫组化分析:该抗体以 1:50 的稀释度在小鼠心脏组织中检测到血栓调节蛋白。
免疫组化分析:该抗体以 1:50 的稀释度在小鼠心脏组织中检测到血栓调节蛋白。
Other Notes
浓度:请参考特定批次的数据表。
Disclaimer
除非我们的产品目录或产品附带的其他公司文档另有说明,否则我们的产品仅供研究使用,不得用于任何其他目的,包括但不限于未经授权的商业用途、体外诊断用途、离体或体内治疗用途或任何类型的消费或应用于人类或动物。
Still not finding the right product?
试用我们的 产品选型工具 工具缩小选择范围
存储类别
12 - Non Combustible Liquids
wgk
WGK 2
flash_point_f
Not applicable
flash_point_c
Not applicable
法规信息
常规特殊物品
此项目有
V A Ford et al.
The Journal of biological chemistry, 267(8), 5446-5450 (1992-03-15)
Previously, two rat monoclonal antibodies where developed which bind distinct epitopes on a murine glycoprotein, P112, which is expressed primarily in lung capillary endothelium. In this paper we show that P112 is identical to the endothelial anticoagulant protein, thrombomodulin (TM).
K V Kesari et al.
Clinical and experimental immunology, 118(2), 219-227 (1999-11-11)
Ulcerative colitis (UC) is associated with autoantibody response to a cytoskeletal protein, human tropomyosin (hTM) isoform-5 (hTM5). Because hTM5 is an intracellular protein, it may remain inaccessible to the autoantibodies. Therefore, we have investigated the possibility of externalization of hTM5
E M Conway et al.
Blood, 93(10), 3442-3450 (1999-05-11)
Thrombomodulin (TM) is a widely expressed glycoprotein receptor that plays a physiologically important role in maintaining normal hemostatic balance postnatally. Inactivation of the TM gene in mice results in embryonic lethality without thrombosis, suggesting that structures of TM not recognized
全球贸易项目编号
| 货号 | GTIN |
|---|---|
| MABS1245 | 04055977298239 |