biological source
mouse
Quality Level
conjugate
unconjugated
antibody form
purified immunoglobulin
antibody product type
primary antibodies
clone
E4 (5F4D2), monoclonal
species reactivity
human, mouse, rat
technique(s)
immunocytochemistry: suitable, immunohistochemistry: suitable (paraffin), immunoprecipitation (IP): suitable, western blot: suitable
isotype
IgG1κ
NCBI accession no.
UniProt accession no.
shipped in
wet ice
target post-translational modification
unmodified
Gene Information
human ... PKD1(5310)
General description
多囊肾蛋白-1(UniProt P98161;也称常染色体显性多囊肾病1蛋白)由人类PKD1基因(基因ID 5310)编码。初级纤毛是一种基于微管的机械和化学感觉细胞器,在发育和组织稳态过程中协调一系列细胞通路,包括Hedgehog (Hh)、PDGFRα和Wnt信号传导。纤毛功能缺陷引起多种纤毛病,包括常染色体显性多囊肾病(ADPKD)。多囊肾蛋白-1(PC1)和多囊肾蛋白-2(PC2)是位于初级纤毛上的大型跨膜蛋白,在钙基信号传导中发挥重要作用。PC1是一种具有11-跨膜结构域的非典型粘附G蛋白偶联受体(aGPCR)。PC1在近膜GPCR裂解位点(GPS;氨基酸3012-3061)发育阶段依赖的方式,其中PC1在早期胚胎肾脏中大部分不裂解,但在出生后广泛裂解。GPS切割导致异二聚体PC1形式,其中N端片段(NTF)与跨膜C端片段(CTF)保持非共价结合。表达不可切割PC1的转基因小鼠在产后发生囊性肾病。
计算全长/GPS区域自动切割N端片段分子量:460.3/325.0 kDa(亚型1)、459.1/324.0 kDa(亚型2)、460.2/325.0 kDa(亚型3)。
Immunogen
FLAG标记的重组人多胱氨酸-1 C型凝集素结构域。
表位:C型凝集素结构域。
Application
免疫组化分析:该抗体代表性批次的1:50稀释液在大鼠和小鼠肾组织切片中检测到多囊素-1的免疫反应性。
免疫沉淀反应分析: 从小鼠肺组织裂解物中免疫沉淀出具有代表性的多囊素-1(由马里兰州巴尔的摩马里兰大学医学院Feng Qian博士提供)。
免疫印迹分析: 在转染人或小鼠Pkd1 cDNA的HEK细胞的裂解物中检测到外源表达的多囊素-1,但在模拟转染的HEK细胞的裂解物中未检测到(由马里兰州巴尔的摩马里兰大学医学院Feng Qian博士提供)。
免疫印迹分析:代表性批次在转染全长Pkd1 cDNA的HEK细胞的裂解物中检测到多胱氨酸-1(PC1)GPS结构域顺式自动切割N端片段(NTF),但在模拟转染的HEK细胞的裂解物中未检测到(Kim, H., et al. (2014).Nat. Commun.5:5482)。
免疫细胞化学分析:采用双荧光免疫细胞化学方法对4%甲醛固定、0.1% Triton x -100渗透化小鼠胚胎成纤维细胞(mMEF)和集合管(CD)来源细胞的原代纤毛进行共染色,获得代表性批次和抗Arl13b抗体。在Pkd1敲除的mMEF中未检测到多囊素-1免疫反应性(Kim, H., et al. (2014).Nat. Commun.5:5482)。
免疫沉淀反应分析: 从小鼠肺组织裂解物中免疫沉淀出具有代表性的多囊素-1(由马里兰州巴尔的摩马里兰大学医学院Feng Qian博士提供)。
免疫印迹分析: 在转染人或小鼠Pkd1 cDNA的HEK细胞的裂解物中检测到外源表达的多囊素-1,但在模拟转染的HEK细胞的裂解物中未检测到(由马里兰州巴尔的摩马里兰大学医学院Feng Qian博士提供)。
免疫印迹分析:代表性批次在转染全长Pkd1 cDNA的HEK细胞的裂解物中检测到多胱氨酸-1(PC1)GPS结构域顺式自动切割N端片段(NTF),但在模拟转染的HEK细胞的裂解物中未检测到(Kim, H., et al. (2014).Nat. Commun.5:5482)。
免疫细胞化学分析:采用双荧光免疫细胞化学方法对4%甲醛固定、0.1% Triton x -100渗透化小鼠胚胎成纤维细胞(mMEF)和集合管(CD)来源细胞的原代纤毛进行共染色,获得代表性批次和抗Arl13b抗体。在Pkd1敲除的mMEF中未检测到多囊素-1免疫反应性(Kim, H., et al. (2014).Nat. Commun.5:5482)。
抗多囊肾蛋白1抗体,克隆E4(5F4D2)是一种抗多囊肾蛋白1的抗体,用于免疫组织化学(石蜡)、免疫沉淀、免疫印迹、免疫细胞化学。
研究子类别
发育信号转导
发育信号转导
研究类别
信号传导
信号传导
Biochem/physiol Actions
克隆E4(也称克隆5F4D2)靶向多胱氨酸-1细胞外C型凝集素结构域和免疫染色野生型,但不靶向Pkd1敲除小鼠细胞(Kim, H., et .(2014).Nat. Commun.5:5482)。
Physical form
形式:纯化
纯化的小鼠单克隆IgG1κ抗体,溶于含0.1 M Tris-甘氨酸(pH 7.4)、150 mM NaCl和0.05%叠氮化钠的缓冲液中。
蛋白G纯化
Preparation Note
自收到之日起,在2-8°C条件下可稳定保存1年。
Analysis Note
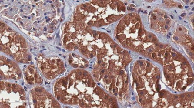
通过免疫组化在人肾组织中进行了评估。
免疫组化分析:该抗体的1:250稀释液在人肾组织中检测到多囊肾蛋白-1免疫反应性。
免疫组化分析:该抗体的1:250稀释液在人肾组织中检测到多囊肾蛋白-1免疫反应性。
Other Notes
浓度:请参考特定批次的数据表。
Disclaimer
除非我们的产品目录或产品附带的其他公司文档另有说明,否则我们的产品仅供研究使用,不得用于任何其他目的,包括但不限于未经授权的商业用途、体外诊断用途、离体或体内治疗用途或任何类型的消费或应用于人类或动物。
Still not finding the right product?
试用我们的 产品选型工具 工具缩小选择范围
存储类别
12 - Non Combustible Liquids
wgk
WGK 1
flash_point_f
Not applicable
flash_point_c
Not applicable
全球贸易项目编号
| 货号 | GTIN |
|---|---|
| MABS1252 | 04055977330298 |