跳转至内容
Merck
CN

MABS132

抗GLUT1(CT)抗体,克隆5B12.3

clone 5B12.3, from mouse

别名:

Solute carrier family 2 facilitated glucose transporter member 1, Glucose transporter type 1,erythrocyte/brain, GLUT-1, HepG2 glucose transporter

登录 查看组织和合同定价。

选择尺寸

变更视图

关于此项目

UNSPSC Code:
12352203
NACRES:
NA.41
eCl@ss:
32160702
Conjugate:
unconjugated
Clone:
5B12.3, monoclonal
Application:
IHC, WB
Citations:
8
技术服务
需要帮助?我们经验丰富的科学家团队随时乐意为您服务。
让我们为您提供帮助


biological source

mouse

Quality Level

conjugate

unconjugated

antibody form

purified immunoglobulin

antibody product type

primary antibodies

clone

5B12.3, monoclonal

species reactivity

human, rat

packaging

antibody small pack of 25 μL

technique(s)

immunohistochemistry: suitable, western blot: suitable

isotype

IgG1κ

NCBI accession no.

UniProt accession no.

shipped in

ambient

storage temp.

2-8°C

target post-translational modification

unmodified

Gene Information

human ... SLC2A1(6513)

General description

GLUT(葡萄糖转运蛋白)是一个完整的膜蛋白家族,可促进细胞摄取葡萄糖。它们是参与将葡萄糖转运到大多数细胞中的整合膜糖蛋白。七种类型的葡萄糖转运载体蛋白,称为GLUT 1至7,有助于葡萄糖跨细胞膜转运。葡萄糖转运蛋白的分子克隆已鉴定出一系列紧密相关的基因,这些基因编码至少7种蛋白,这些蛋白表现出高度的氨基酸同源性(45%至65%),分子量均在40至60 kDa 之间。GLUT1 在成人组织中的组成型或基础葡萄糖摄取中起作用,并且是胚胎和胎儿组织中的主要葡萄糖转运蛋白。它有两种形式:55 kDa 和 45 kDa。55 kDa 形式的 GLUT1 调节葡萄糖从血液穿过血脑屏障(BBB)内皮细胞进入大脑,而 45 kDa 形式的 GLUT1 主要调节非血管神经胶质葡萄糖的摄取。
可观察到约54 kDa的条带

Immunogen

对应于人 GLUT1 的 C 端的 KLH 偶联的线性肽。
表位:C端

Application

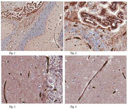
免疫组化分析: 一个代表批次以 1:1,000 的稀释度在大鼠小脑和人小脑组织中检测到 GLUT1。
抗 GLUT1(C末端)抗体,克隆 5B12.3 是抗 GLUT1(C 末端)的抗体,用于蛋白质印迹 & IHC。
研究子类别
发育信号转导
研究类别
信号传导

Biochem/physiol Actions

该抗体在 C 端识别 GLUT1。

Physical form

形式:纯化
纯化的小鼠单克隆IgG1κ,溶于含0.1 M Tris-甘氨酸(pH 7.4),150 mM NaCl和0.05%叠氮化钠的缓冲液中。
蛋白G纯化

Preparation Note

自收到之日起,在2-8°C条件下可稳定保存1年。

Analysis Note

对照
NGF 处理的 PC-12 细胞裂解液
通过蛋白质印迹在 NGF 处理的 PC-12 细胞裂解液中进行了评估。

蛋白质印迹分析:0.1 µg/mL 的该抗体在 10 µg NGF 处理的 PC-12 细胞裂解液中检测到 GLUT1。

Other Notes

浓度:请参考批次特异性浓缩物的检验报告。

Disclaimer

除非我们的产品目录或产品附带的其他公司文档另有说明,否则我们的产品仅供研究使用,不得用于任何其他目的,包括但不限于未经授权的商业用途、体外诊断用途、离体或体内治疗用途或任何类型的人类或动物食用或应用。


Still not finding the right product?

试用我们的 产品选型工具 工具缩小选择范围


存储类别

12 - Non Combustible Liquids

wgk

WGK 1

flash_point_f

Not applicable

flash_point_c

Not applicable

法规信息

新产品

此项目有



分析证书(COA)

输入产品批号来搜索 分析证书(COA) 。批号可以在产品标签上"批“ (Lot或Batch)字后找到。

已有该产品?

在文件库中查找您最近购买产品的文档。

访问文档库



Stanley Andrisse et al.
American journal of physiology. Endocrinology and metabolism, 314(4), E353-E365 (2018-01-20)
Hyperandrogenemia and hyperinsulinemia are believed to play prominent roles in polycystic ovarian syndrome (PCOS). We explored the effects of low-dose dihydrotestosterone (DHT), a model of PCOS, on insulin signaling in metabolic and reproductive tissues in a female mouse model. Insulin
Shikha Prasad et al.
Fluids and barriers of the CNS, 12, 18-18 (2015-07-25)
Diabetes and tobacco smoking are significant public health concerns which have been shown to independently impact the blood-brain barrier (BBB). Since smoking is a risk factor for diabetes and shares some of the common pathological pathways leading to metabolic abnormalities
Endotoxin-induced inflammation down-regulates L-type amino acid transporter 1 (LAT1) expression at the blood-brain barrier of male rats and mice.
Wittmann, G; Mohacsik, P; Balkhi, MY; Gereben, B; Lechan, RM
Fluids and Barriers of the Cns null



全球贸易项目编号

货号GTIN
MABS132-25UL04054839350504