biological source
mouse
Quality Level
conjugate
unconjugated
antibody form
affinity purified immunoglobulin
antibody product type
primary antibodies
clone
9996-1-3M1/3L7-5, monoclonal
species reactivity
human
technique(s)
immunohistochemistry: suitable (paraffin), neutralization: suitable, western blot: suitable
isotype
IgG1κ
NCBI accession no.
UniProt accession no.
shipped in
ambient
target post-translational modification
unmodified
Gene Information
human ... ANXA3(306)
General description
Annexin A3 (UniProt P12429; also known as 35-alpha calcimedin, Annexin III, Annexin-3, Inositol 1,2-cyclic phosphate 2-phosphohydrolase, Lipocortin III, PAP-III, Placental anticoagulant protein III) is encoded by the ANXA3 (also known as ANX3) gene (Gene ID 306) in human. Annexin A3 is a Ca2+-dependent phospholipid-binding protein shown to promote angiogenesis and rat liver regeneration. Upregulated annexin A3 expression is reported in ovarian, breast, colon, lung, gastric, gallbladder, testicular, and urothelial cancers, where it is involved in promoting tumorigenesis and resistance to chemotherapy. ANXA3 is reported to represent the most significantly upregulated gene that encodes for a secretory protein in the CD133+ liver cancer stem cell (CSC) subset. Both cellular and secretory annexin A3 play pivotal roles in promoting cancer and stem cell-like features in CD133+ liver CSCs through a dysregulated JNK pathway. Annexin A3 serum levels in hepatocellular carcinoma (HCC) patients are closely associated with aggressive clinical features. Annexin A3 neutralizing antibody is shown to cause a significant reduction in HCC tumor growth and self-renewal by effectively killing off CD133+ CSCs both in cultures in vitro and in animal xenograft in vivo.
~33 kDa observed. 36.24 kDa calculated (Met1 removed). Uncharacterized bands may be observed in some lysate(s).
Immunogen
Recombinant human annexin A3.
Application
Detect Annexin A3 using this mouse monoclonal Anti-Annexin A3 Antibody, clone 9996-1-3M1/3L7-5, Cat. No. MABS1329, validated for use in Immunohistochemistry (Paraffin) Neutralization, and Western Blotting.
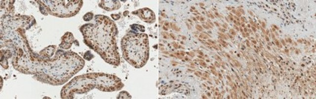
Immunohistochemistry Analysis: A 1:250 dilution from a representative lot detected Annexin A3 in human placenta tissue sections.
Western Blotting Analysis: 10 µg/mL from a representative lot detected Annexin A3 in 10 µg of human spleen tissue lysate.
Immunohistochemistry Analysis: A representative lot detected a markedly downregulated annexin A3 immunoreactivity in Huh7 xenografts from antibody-treated mice, while an upregulated annexin A3 immunoreactivity was seen in xenografts from Cisplatin-treated mice (Tong, M., et al. (2015). Stem Cell Reports. 5(1):45-59).
Neutralizing Analysis: A representative lot inhibited the proliferation of CD133-/annexin A3-positive Huh7 cells, but not the CD133-/annexin A3-negative MIHA cells. Antibody treatment further sensitized Huh7 to Cisplatin (Cat. No. 232120) antiproliferative activity (Tong, M., et al. (2015). Stem Cell Reports. 5(1):45-59).
Neutralizing Analysis: A representative lot suppressed the migration, invasion, angiogenesis induction, and hepatospheres formation of human hepatocellular carcinoma (HCC) cells (Tong, M., et al. (2015). Stem Cell Reports. 5(1):45-59).
Neutralizing Analysis: A representative lot inhibited the growth of Huh7 xenograph in mice. Residual xenografts following antibody treatment (alone or with Cisplatin), but not Cisplatin treatment alone failed to form tumor mass when serially transplanted into secondary recipients (Tong, M., et al. (2015). Stem Cell Reports. 5(1):45-59).
Western Blotting Analysis: A representative lot detected the expression of the ~33 kDa Annexin A3 among a panel of human hepatocellular carcinoma (HCC) cell lines (Tong, M., et al. (2015). Stem Cell Reports. 5(1):45-59).
Western Blotting Analysis: 10 µg/mL from a representative lot detected Annexin A3 in 10 µg of human spleen tissue lysate.
Immunohistochemistry Analysis: A representative lot detected a markedly downregulated annexin A3 immunoreactivity in Huh7 xenografts from antibody-treated mice, while an upregulated annexin A3 immunoreactivity was seen in xenografts from Cisplatin-treated mice (Tong, M., et al. (2015). Stem Cell Reports. 5(1):45-59).
Neutralizing Analysis: A representative lot inhibited the proliferation of CD133-/annexin A3-positive Huh7 cells, but not the CD133-/annexin A3-negative MIHA cells. Antibody treatment further sensitized Huh7 to Cisplatin (Cat. No. 232120) antiproliferative activity (Tong, M., et al. (2015). Stem Cell Reports. 5(1):45-59).
Neutralizing Analysis: A representative lot suppressed the migration, invasion, angiogenesis induction, and hepatospheres formation of human hepatocellular carcinoma (HCC) cells (Tong, M., et al. (2015). Stem Cell Reports. 5(1):45-59).
Neutralizing Analysis: A representative lot inhibited the growth of Huh7 xenograph in mice. Residual xenografts following antibody treatment (alone or with Cisplatin), but not Cisplatin treatment alone failed to form tumor mass when serially transplanted into secondary recipients (Tong, M., et al. (2015). Stem Cell Reports. 5(1):45-59).
Western Blotting Analysis: A representative lot detected the expression of the ~33 kDa Annexin A3 among a panel of human hepatocellular carcinoma (HCC) cell lines (Tong, M., et al. (2015). Stem Cell Reports. 5(1):45-59).
Research Category
Signaling
Signaling
Biochem/physiol Actions
This monoclonal antibody detected a single ~33 kDa target band among a panel of human hepatocellular carcinoma (HCC) cell lines. The epitope has been mapped to a 10-a.a. region within the third annexin domain (Tong, M., et al. (2015). Stem Cell Reports. 5(1):45-59).
Physical form
Affinity purified.
Format: Purified
Purified mouse IgG1 in Tris-buffered saline (TBS) containing 50 mM tris-HCl (pH7.5) and 150 mM NaCl without preservatives.
Preparation Note
Stable for 1 year at -20°C from date of receipt.
Handling Recommendations: Upon receipt and prior to removing the cap, centrifuge the vial and gently mix the solution. Aliquot into microcentrifuge tubes and store at -20°C. Avoid repeated freeze/thaw cycles, which may damage IgG and affect product performance.
Handling Recommendations: Upon receipt and prior to removing the cap, centrifuge the vial and gently mix the solution. Aliquot into microcentrifuge tubes and store at -20°C. Avoid repeated freeze/thaw cycles, which may damage IgG and affect product performance.
Analysis Note
Evaluated by Western Blotting in human placenta tissue lysate.
Western Blotting Analysis: 5 µg/mL of this antibody detected Annexin A3 in 10 µg of human placenta tissue lysate.
Western Blotting Analysis: 5 µg/mL of this antibody detected Annexin A3 in 10 µg of human placenta tissue lysate.
Other Notes
Concentration: Please refer to lot specific datasheet.
Disclaimer
Unless otherwise stated in our catalog or other company documentation accompanying the product(s), our products are intended for research use only and are not to be used for any other purpose, which includes but is not limited to, unauthorized commercial uses, in vitro diagnostic uses, ex vivo or in vivo therapeutic uses or any type of consumption or application to humans or animals.
Still not finding the right product?
试用我们的 产品选型工具 工具缩小选择范围
存储类别
12 - Non Combustible Liquids
wgk
WGK 1
flash_point_f
Not applicable
flash_point_c
Not applicable
法规信息
新产品
此项目有