biological source
mouse
conjugate
unconjugated
antibody form
purified immunoglobulin
antibody product type
primary antibodies
clone
4C1, monoclonal
species reactivity
human
packaging
antibody small pack of 25 μg
technique(s)
ELISA: suitable, immunohistochemistry: suitable (paraffin), western blot: suitable
isotype
IgG2bκ
NCBI accession no.
UniProt accession no.
target post-translational modification
unmodified
Gene Information
human ... HSD3B1(3283)
General description
3 beta-hydroxysteroid dehydrogenase/Delta 5→4-isomerase type 1 (UniProt: P14060; also known as 3 beta-hydroxysteroid dehydrogenase/Delta 5→4-isomerase type I, 3-beta-HSD I, Trophoblast antigen FDO161G) is encoded by the HSD3B1 (also known as 3BH, HSDB3A) gene (Gene ID: 3283) in human. HSD3B1 is a single -pass membrane protein localized in mitochondria and endoplasmic reticulum. Its transmembrane region is localized to amino acids 288-308. It is a bifunctional enzyme that catalyzes the oxidative conversion of Delta 5-ene-3-beta-hydroxy steroid and causes oxidative conversion of ketosteroids. It plays a vital role in the biosynthesis of all classes of hormonal steroids. Humans have two HSD3B isozymes. HSD3B1 is mainly expressed in the placenta, mammary and, prostate glands, and other peripheral tissues including the skin and adipose tissue and HSD3B2 is expressed primarily in the adrenal and gonads. They exhibit about 93% sequence homology. (Ref.: Gomez-Sanchez, CE et al. (2017). Steroids 127; 56-61).
~38 kDa observed; 42.25 kDa calculated. Uncharacterized bands may be observed in some lysate(s).
Immunogen
A KLH-conjugated linear peptide corresponding to 14 amino acids from the N-terminal region of human 3 beta-hydroxysteroid dehydrogenase/Delta 5→4-isomerase type 1 (HSD3B1).
Epitope: N-terminus
Application
Anti-HSD3B1, clone 4C1, Cat. No. MABS2068, is a mouse monoclonal antibody that detects 3-beta-HSD I (HSD3B1) and has been tested for use in ELISA, Immunohistochemistry (Paraffin), and Western Blotting.
Immunohistochemistry (Paraffin) Analysis: A 1:50 dilution from a representative lot detected HSD3B1 in human adrenal gland tissue sections.
ELISA Analysis : A representative lot detected HSD3B1 in ELISA applications (Gomez-Sanchez, C.E., et. al. (2017). Steroids. 127:56-61).
Western Blotting Analysis: 1 µg/mL from a representative lot detected HSD3B1 in human placenta tissue lysate in Western blotting applications.
Immunohistochemistry (Paraffin) Analysis: A representative lot detected HSD3B1 in Immunohistochemistry applications (Gomez-Sanchez, C.E., et. al. (2017). Steroids. 127:56-61).
Western Blotting Analysis: A representative lot detected HSD3B1 in Western Blotting applications (Gomez-Sanchez, C.E., et. al. (2017). Steroids. 127:56-61).
ELISA Analysis : A representative lot detected HSD3B1 in ELISA applications (Gomez-Sanchez, C.E., et. al. (2017). Steroids. 127:56-61).
Western Blotting Analysis: 1 µg/mL from a representative lot detected HSD3B1 in human placenta tissue lysate in Western blotting applications.
Immunohistochemistry (Paraffin) Analysis: A representative lot detected HSD3B1 in Immunohistochemistry applications (Gomez-Sanchez, C.E., et. al. (2017). Steroids. 127:56-61).
Western Blotting Analysis: A representative lot detected HSD3B1 in Western Blotting applications (Gomez-Sanchez, C.E., et. al. (2017). Steroids. 127:56-61).
Research Category
Signaling
Signaling
Biochem/physiol Actions
Clone 4C1 detects 3-beta-HSD I (HSD3B1) in human tissues. It targets an epitope with in 14 amino acids from the N-terminal region.
Physical form
Format: Purified
Protein G purified
Purified mouse monoclonal antibody IgG2b in buffer containing 0.1 M Tris-Glycine (pH 7.4), 150 mM NaCl with 0.05% sodium azide.
Preparation Note
Stable for 1 year at 2-8°C from date of receipt.
Analysis Note
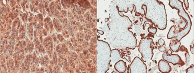
Evaluated by Immunohistochemistry (Paraffin) in human placenta tissue sections.
Immunohistochemistry (Paraffin) Analysis: A 1:250 dilution of this antibody detected HSD3B1 in human placenta tissue sections.
Immunohistochemistry (Paraffin) Analysis: A 1:250 dilution of this antibody detected HSD3B1 in human placenta tissue sections.
Other Notes
Concentration: Please refer to lot specific datasheet.
Disclaimer
Unless otherwise stated in our catalog or other company documentation accompanying the product(s), our products are intended for research use only and are not to be used for any other purpose, which includes but is not limited to, unauthorized commercial uses, in vitro diagnostic uses, ex vivo or in vivo therapeutic uses or any type of consumption or application to humans or animals.
Still not finding the right product?
试用我们的 产品选型工具 工具缩小选择范围
法规信息
新产品
此项目有
全球贸易项目编号
| 货号 | GTIN |
|---|---|
| MABS2068-100UG | 04054839551055 |
| MABS2068-25UG | 04054839551062 |