biological source
mouse
Quality Level
conjugate
unconjugated
antibody form
purified antibody
antibody product type
primary antibodies
clone
P2A12, monoclonal
mol wt
calculated mol wt 45.21 kDa, observed mol wt ~17 kDa
purified by
using protein G
species reactivity
human
packaging
antibody small pack of 100 μg
technique(s)
immunohistochemistry (formalin-fixed, paraffin-embedded sections): suitable, western blot: suitable
isotype
IgG1κ
epitope sequence
N-terminal half
Protein ID accession no.
UniProt accession no.
shipped in
2-8°C
target post-translational modification
unmodified
Gene Information
mouse ... HP(3240)
General description
Haptoglobin (UniProt: P00738; also known as Zonulin) is encoded by the HP gene (Gene ID: 3240) in human. Haptoglobin is a hemoglobin-binding acute-phase glycoprotein that is synthesized in the liver and is secreted in plasma. Although it belongs to the peptidase S1 family, it does not have any enzymatic activity. It is a tetramer of disulfide-linked two alpha and two beta chains and displays anti-inflammatory and antioxidative properties. It is synthesized with a signal peptide (aa 1-18), which is subsequently cleaved off to generate the mature form that can be further cleaved into an alpha (19-160) and a beta chain (aa 162-406). Haptoglobin complexes with free hemoglobin, resulting from erythrocyte hemolysis, and allows hepatic recycling of heme iron and prevents kidney damage. Hemoglobin/haptoglobin complex is rapidly cleared by the macrophage CD163 scavenger receptor expressed on Kupfer cells through an endocytic lysosomal degradation pathway. Its CD163 interacting region is localized to amino acids 318-323. (Ref.: Schaer, DJ., et al. (2014). Front. Physiol. 5; 415).
Immunogen
Mixed type Haptoglobin from human plasma.
Application
Quality Control Testing
Evaluated by Western Blotting with purified human haptoglobin plasma.
Western Blotting Analysis (WB): A 1:1,000 dilution of this antibody detected purified Haptoglobin from human plasma.
Tested Applications
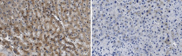
Immunohistochemistry (Paraffin) Analysis: A 1:250 dilution of this antibody detected Haptoglobin in human liver tissue sections.
Note: Actual optimal working dilutions must be determined by end user as specimens, and experimental conditions may vary with the end user
Evaluated by Western Blotting with purified human haptoglobin plasma.
Western Blotting Analysis (WB): A 1:1,000 dilution of this antibody detected purified Haptoglobin from human plasma.
Tested Applications
Immunohistochemistry (Paraffin) Analysis: A 1:250 dilution of this antibody detected Haptoglobin in human liver tissue sections.
Note: Actual optimal working dilutions must be determined by end user as specimens, and experimental conditions may vary with the end user
Anti-Haptoglobin, clone P2A12, Cat. No. MABS2242, is a mouse monoclonal antibody that detects Haptoglobin and is tested for use in Immunohistochemistry (Paraffin) and Western Blotting.
Biochem/physiol Actions
Clone P2A12 is a mouse monoclonal antibody that detects human Haptoglobin. It targets an epitope within the alpha-2 chain.
Physical form
Purified mouse monoclonal antibody IgG1 in buffer containing 0.1 M Tris-Glycine (pH 7.4), 150 mM NaCl with 0.05% sodium azide.
Preparation Note
Recommend storage at +2°C to +8°C. For long term storage antibodies can be kept at -20°C. Avoid repeated freeze-thaws.
Other Notes
Concentration: Please refer to the Certificate of Analysis for the lot-specific concentration.
Disclaimer
Unless otherwise stated in our catalog or other company documentation accompanying the product(s), our products are intended for research use only and are not to be used for any other purpose, which includes but is not limited to, unauthorized commercial uses, in vitro diagnostic uses, ex vivo or in vivo therapeutic uses or any type of consumption or application to humans or animals.
Still not finding the right product?
试用我们的 产品选型工具 工具缩小选择范围
存储类别
12 - Non Combustible Liquids
wgk
WGK 1
flash_point_f
Not applicable
flash_point_c
Not applicable
法规信息
新产品
此项目有
全球贸易项目编号
| 货号 | GTIN |
|---|---|
| MABS2242-100UG | 04065266908176 |
| MABS2242-25UG | 04065266908183 |