跳转至内容
Merck
CN

MABT200

Anti-COL1A2, clone alpha2CT, Azide Free Antibody

clone alpha2CT, from mouse

别名:

Annexin A6, 67 kDa calelectrin, Annexin VI, Annexin-6, Calphobindin-II, CPB-II, Lipocortin VI, Protein III, p68, p70

登录 查看组织和合同定价。

选择尺寸

变更视图

关于此项目

UNSPSC Code:
12352203
NACRES:
NA.41
eCl@ss:
32160702
Conjugate:
unconjugated
Clone:
alpha2CT, monoclonal
Application:
IHC, activity assay
Citations:
2
技术服务
需要帮助?我们经验丰富的科学家团队随时乐意为您服务。
让我们为您提供帮助


biological source

mouse

Quality Level

conjugate

unconjugated

antibody form

purified antibody

antibody product type

primary antibodies

clone

alpha2CT, monoclonal

species reactivity

human

technique(s)

activity assay: suitable, immunohistochemistry: suitable

isotype

IgAκ

NCBI accession no.

UniProt accession no.

shipped in

wet ice

target post-translational modification

unmodified

Gene Information

human ... ANXA6(309)

General description

125 and 150 kDa calculated
Collagens are major fibrous structural elements of cartilage, tendon, bone, skin, lung, and blood vessels. Type I collagen, a heterotrimer consisting of two α1 chains and one α2 chain, is the most abundant fibrillar collagen. It is preferentially synthesized in bone, skin, and tendon and is the most abundant protein found in these tissues.

Immunogen

Epitope: C-terminus
Linear peptide corresponding to the C-terminus of human Collagen type I alpha 2.

Application

Activity Assay Analysis: A representative lot from an independent laboratory inhibits fibrin formation in vitro (Chung, H. J., et al. (2008). J Biol Chem. 283(38):25879-25886.).
Anti-COL1A2 antibody, clone alpha2CT, Azide Free is an antibody against COL1A2 for use in IHC & activity assay.
Research Category
Cell Structure
Research Sub Category
Cytoskeleton

Physical form

Format: Purified
Protein L
Purified mouse monoclonal IgAκ in buffer containing PBS without preservatives.

Preparation Note

Stable for 1 year at -20°C from date of receipt.
Handling Recommendations: Upon receipt and prior to removing the cap, centrifuge the vial and gently mix the solution. Aliquot into microcentrifuge tubes and store at -20°C. Avoid repeated freeze/thaw cycles, which may damage IgG and affect product performance.

Analysis Note

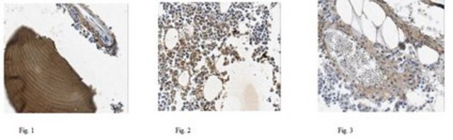
Evaluated by Immunohistochemistry Analysis in human bone tissues.

Immunohistochemistry Analysis: A 1:50 dilution of this antibody detected COL1A2 in human bone tissues.

Other Notes

Concentration: Please refer to the Certificate of Analysis for the lot-specific concentration.

Disclaimer

Unless otherwise stated in our catalog or other company documentation accompanying the product(s), our products are intended for research use only and are not to be used for any other purpose, which includes but is not limited to, unauthorized commercial uses, in vitro diagnostic uses, ex vivo or in vivo therapeutic uses or any type of consumption or application to humans or animals.


Still not finding the right product?

试用我们的 产品选型工具 工具缩小选择范围


存储类别

12 - Non Combustible Liquids

wgk

WGK 2

flash_point_f

Not applicable

flash_point_c

Not applicable



分析证书(COA)

输入产品批号来搜索 分析证书(COA) 。批号可以在产品标签上"批“ (Lot或Batch)字后找到。

已有该产品?

在文件库中查找您最近购买产品的文档。

访问文档库



Collagen fibril formation. A new target to limit fibrosis.
Chung, Hye Jin, et al.
The Journal of Biological Chemistry, 283, 25879-25886 (2008)



全球贸易项目编号

货号GTIN
MABT20004053252947087