跳转至内容
Merck
CN

MABT25

Anti-Myosin 2 Antibody, clone 5B11.1

clone 5B11.1, from mouse

别名:

Myosin-2, Myosin heavy chain 2, Myosin heavy chain 2a, MyHC-2a, Myosin heavy chain Iia, MyHC-Iia, Myosin heavy chain, skeletal muscle, adult 2

登录 查看组织和合同定价。

选择尺寸

变更视图

关于此项目

UNSPSC Code:
12352203
NACRES:
NA.41
eCl@ss:
32160702
Conjugate:
unconjugated
Clone:
5B11.1, monoclonal
Application:
IHC, WB
Citations:
-
技术服务
需要帮助?我们经验丰富的科学家团队随时乐意为您服务。
让我们为您提供帮助


biological source

mouse

Quality Level

conjugate

unconjugated

antibody form

purified immunoglobulin

antibody product type

primary antibodies

clone

5B11.1, monoclonal

species reactivity

mouse, human, rat

technique(s)

immunohistochemistry: suitable, western blot: suitable

isotype

IgG3κ

NCBI accession no.

UniProt accession no.

shipped in

wet ice

target post-translational modification

unmodified

Gene Information

human ... MYH2(4620)

General description

Myosin is a hexameric protein consisting of two heavy chains including Myosin-2 (MYH2), two regulatory light chains, and two alkali light chains. The myosin-2 heavy chain interacts with the actin cytoskeleton and mediates muscle contractility in eukaryotic cells. Defects in myosin-2 result in inclusion body myopathy type 3.
~220 kDa observed

Immunogen

KLH-conjugated linear peptide corresponding to mouse Myosin 2.

Application

Research Category
Cell Structure
Research Sub Category
Cytoskeleton
This Anti-Myosin 2 Antibody, clone 5B11.1 is validated for use in Western Blotting, IHC for the detection of Myosin 2.
Western Blot Analysis: 0.5 µg/mL from a representative lot detected Myosin-2 in L6 cell lysate (Myosin may be observed as a smear in some cell lysates).

Western Blot Analysis: A representative lot detected Myosin-2 in mouse heart cell cytosolic extracts.

Physical form

Format: Purified
Purified mouse monoclonal IgG3κ in buffer containing PBS with 0.05% sodium azide.

Preparation Note

Stable for 1 year at 2-8°C from date of receipt.

Analysis Note

Control
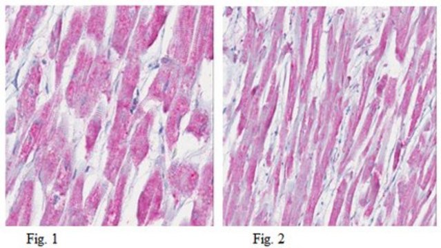
Human cardiac muscle tissue
Evaluated by Immunohistochemistry in human cardiac muscle tissue.

Immunohistochemistry Analysis: A 1:300 dilution of this antibody detected Myosin-2 in human cardiac muscle tissue.

Other Notes

Concentration: Please refer to the Certificate of Analysis for the lot-specific concentration.

Disclaimer

Unless otherwise stated in our catalog or other company documentation accompanying the product(s), our products are intended for research use only and are not to be used for any other purpose, which includes but is not limited to, unauthorized commercial uses, in vitro diagnostic uses, ex vivo or in vivo therapeutic uses or any type of consumption or application to humans or animals.


Still not finding the right product?

试用我们的 产品选型工具 工具缩小选择范围


wgk

WGK 2

flash_point_f

Not applicable

flash_point_c

Not applicable

存储类别

12 - Non Combustible Liquids



分析证书(COA)

输入产品批号来搜索 分析证书(COA) 。批号可以在产品标签上"批“ (Lot或Batch)字后找到。

已有该产品?

在文件库中查找您最近购买产品的文档。

访问文档库



全球贸易项目编号

货号GTIN
MABT2504053252648380