跳转至内容
Merck
CN

MABT39

Anti-Laminin alpha 5 Antibody, clone 4B12

clone 4B12, from mouse

别名:

laminin, alpha 5, Laminin-15 subunit alpha, laminin alpha-5 chain, Laminin-11 subunit alpha, laminin subunit alpha-5, Laminin-10 subunit alpha, Laminin α5, Lamininα5, Laminin-α5

登录 查看组织和合同定价。

选择尺寸

变更视图

关于此项目

UNSPSC Code:
12352203
NACRES:
NA.41
eCl@ss:
32160702
Conjugate:
unconjugated
Clone:
4B12, monoclonal
Application:
IHC
Citations:
-
技术服务
需要帮助?我们经验丰富的科学家团队随时乐意为您服务。
让我们为您提供帮助


biological source

mouse

Quality Level

conjugate

unconjugated

antibody form

purified antibody

antibody product type

primary antibodies

clone

4B12, monoclonal

species reactivity

human

technique(s)

immunohistochemistry: suitable

isotype

IgG1λ

NCBI accession no.

UniProt accession no.

shipped in

wet ice

target post-translational modification

unmodified

Gene Information

human ... LAMA5(3911)

General description

400 kDa calculated
Laminin alpha 5 (α5) is a member of the laminin family of extracellular matrix glycoproteins. Laminin’s are important in cell migration, differentiation and in tumor cell incursion. Research shows that laminin alpha 5 may be an early marker of sexual differentiation. In rat, the laminin alpha 5 chain seems to halt expression in the basement membrane of Sertoli cells when secretion of AMH begins but expression increases two weeks after birth when AMH secretion stops. Laminin alpha 5 shows up early during lung development in mice. It has also been linked to inflammatory cell chemotaxis and metalloproteinase activity and may play a role in creating and sustaining mucosal patterns of the mouse small intestine.

Immunogen

Laminin purified from human placenta

Application

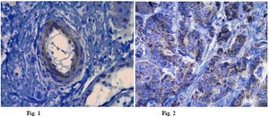
Immunohistochemistry Analysis: A 1:100 dilution from a representative lot detected Laminin alpha 5 in human blood vessels and metastatic colorectal adenocarcinoma tissues.
Research Category
Cell Structure
Research Sub Category
ECM Proteins
This Anti-Laminin alpha 5 Antibody, clone 4B12 is validated for use in IH for the detection of Laminin alpha 5.

Physical form

Format: Purified
Protein G Purified
Purified mouse monoclonal IgG1λ in buffer containing 0.1 M Tris-Glycine (pH 7.4), 150 mM NaCl with 0.05% sodium azide.

Preparation Note

Stable for 1 year at 2-8°C from date of receipt.

Analysis Note

Control
Human precancerous colorectal lesion tissue
Evaluated by Immunohistochemistry in human precancerous colorectal lesion tissue.

Immunohistochemistry Analysis: A 1:100 dilution of this antibody detected Laminin alpha 5 in human precancerous colorectal lesion tissue.

Disclaimer

Unless otherwise stated in our catalog or other company documentation accompanying the product(s), our products are intended for research use only and are not to be used for any other purpose, which includes but is not limited to, unauthorized commercial uses, in vitro diagnostic uses, ex vivo or in vivo therapeutic uses or any type of consumption or application to humans or animals.


Still not finding the right product?

试用我们的 产品选型工具 工具缩小选择范围


存储类别

12 - Non Combustible Liquids

wgk

WGK 1

flash_point_f

Not applicable

flash_point_c

Not applicable



分析证书(COA)

输入产品批号来搜索 分析证书(COA) 。批号可以在产品标签上"批“ (Lot或Batch)字后找到。

已有该产品?

在文件库中查找您最近购买产品的文档。

访问文档库



全球贸易项目编号

货号GTIN
MABT3904053252646126