跳转至内容
Merck
CN

MABT400

抗-润滑素/蛋白聚糖4,克隆5C11抗体

clone 5C11, from mouse

别名:

Proteoglycan 4, Lubricin, Megakaryocyte-stimulating factor, Superficial zone proteoglycan, Proteoglycan 4 C-terminal part

登录 查看组织和合同定价。

选择尺寸

变更视图

关于此项目

UNSPSC Code:
12352203
NACRES:
NA.41
eCl@ss:
32160702
Conjugate:
unconjugated
Clone:
5C11, monoclonal
Application:
IHC, WB
Citations:
3
技术服务
需要帮助?我们经验丰富的科学家团队随时乐意为您服务。
让我们为您提供帮助


biological source

mouse

Quality Level

conjugate

unconjugated

antibody form

purified antibody

antibody product type

primary antibodies

clone

5C11, monoclonal

species reactivity

canine, bovine, goat, rat, porcine, human, guinea pig

technique(s)

immunohistochemistry: suitable (paraffin), western blot: suitable

isotype

IgG1κ

NCBI accession no.

UniProt accession no.

shipped in

wet ice

target post-translational modification

unmodified

Gene Information

human ... PRG4(10216)

General description

称为润滑素/蛋白聚糖4的蛋白质是关节中对关节功能至关重要的重要分泌蛋白,因此也是关节疾病研究的重点。润滑素/蛋白聚糖4在边界润滑中起作用,并通过控制滑膜细胞的滑膜生长和抑制细胞粘附到软骨表面来防止软骨从滑液中沉积。在发育过程中,润滑素/蛋白聚糖4还充当造血和内皮细胞谱系的生长因子,并且润滑素/蛋白聚糖4对于眼睛等组织中适当的屏障和润滑发展似乎很重要。润滑素/蛋白聚糖4在关节和关节边界附近高表达,但也可以在脑、心脏、肺、肾和其他组织中发现。润滑素/蛋白聚糖4具有几种亚型,它们的细胞和组织表达不同。亚型C和D是表达最广泛的形式。最后,由于其对表面的影响,正在组织工程和人工软骨开发中检查润滑素/蛋白聚糖4作为关节疾病的治疗方法。
观测分子量〜220 kDa。该蛋白质的计算分子量为151 kDa,在145 kDa左右观察到许多亚型,并且由于糖基化而可能更高。

Immunogen

对应于人润滑素/蛋白聚糖4的重组蛋白。

Application

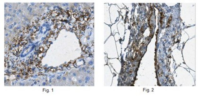
免疫组织化学分析:一个代表性批次以1:1,000稀释度在人肝脏和人心脏组织中检测到润滑素/蛋白聚糖4。
蛋白质印迹分析:一个代表性批次检测到纯化人滑膜润滑素,以及从骨关节炎(OA)、屈曲指关节病-髋内翻-心包炎综合征(CACP)患者或从牛、猪、山羊、犬、大鼠和豚鼠中回收的滑液中检测到润滑素(Ai,M.,et al.(2015).PLoS One.10(2):e0116237)。
蛋白质印迹分析:在还原和非还原条件下,一个代表性批次检测到来自小牛和牛的纯化牛滑膜润滑素(Schmidt,T.A.,et al.(2009).Biochim Biophys Acta.1790(5):375-384)。
经验证,该抗润滑素/蛋白聚糖4(克隆5C11)抗体可用于蛋白质印迹法和免疫组织化学(石蜡)检测润滑素/蛋白聚糖4。

Physical form

形式:纯化

Analysis Note

通过蛋白质印迹法对润滑素纯化蛋白进行评价。

蛋白质印迹分析:1.0 µg/mL该抗体检测到10 µg纯化的润滑素/蛋白聚糖4蛋白。

Other Notes

浓度:请参考特定批次的数据表。


Still not finding the right product?

试用我们的 产品选型工具 工具缩小选择范围


存储类别

12 - Non Combustible Liquids

wgk

WGK 1

flash_point_f

Not applicable

flash_point_c

Not applicable



分析证书(COA)

输入产品批号来搜索 分析证书(COA) 。批号可以在产品标签上"批“ (Lot或Batch)字后找到。

已有该产品?

在文件库中查找您最近购买产品的文档。

访问文档库



Disulfide-bonded multimers of proteoglycan 4 PRG4 are present in normal synovial fluids.
Schmidt, TA; Plaas, AH; Sandy, JD
Biochimica et Biophysica Acta null
Guido Carpino et al.
Clinical proteomics, 16, 37-37 (2019-11-07)
Intrahepatic cholangiocarcinoma (iCCA) is a malignancy that arises from the intrahepatic biliary tree, showing high mortality rates due to its late clinical presentation and limited treatment options. iCCA is characterized by a dense, reactive desmoplastic stroma marked by a dramatic



全球贸易项目编号

货号GTIN
MABT40004055977112054