跳转至内容
Merck
CN

MABT848

Anti-MYH-2 Antibody, clone 8F72C8

clone 8F72C8, from rat

别名:

Myosin-2, Myosin heavy chain 2, Myosin heavy chain 2a, MyHC-2a, Myosin heavy chain IIa, MyHC-IIa, Myosin heavy chain, skeletal muscle, adult 2

登录 查看组织和合同定价。

选择尺寸

变更视图

关于此项目

UNSPSC Code:
12352203
NACRES:
NA.41
eCl@ss:
32160702
Conjugate:
unconjugated
Clone:
8F72C8, monoclonal
Application:
IF, IHC, WB
Citations:
-
技术服务
需要帮助?我们经验丰富的科学家团队随时乐意为您服务。
让我们为您提供帮助


biological source

rat

conjugate

unconjugated

antibody form

purified immunoglobulin

antibody product type

primary antibodies

clone

8F72C8, monoclonal

species reactivity

rat

species reactivity (predicted by homology)

mouse, human (based on 100% sequence homology)

packaging

antibody small pack of 25 μg

technique(s)

immunofluorescence: suitable, immunohistochemistry: suitable (paraffin), western blot: suitable

isotype

IgG2aκ

NCBI accession no.

UniProt accession no.

target post-translational modification

unmodified

Gene Information

human ... MYH2(4620)

General description

Myosin-2 (UniProt: Q9UKX2; also known as Myosin heavy chain 2, Myosin heavy chain 2a, MyHC-2a, Myosin heavy chain IIa, MyHC-IIa, Myosin heavy chain, skeletal muscle, adult 2) is encoded by the MYH2 (also known as MYHSA2) gene (Gene ID: 4620) in human. Muscle myosin is a hexameric protein that consists of 2 heavy chain subunits (MHC), 2 alkali light chain subunits (MLC) and 2 regulatory light chain subunits (MLC-2). Limited proteolysis of myosin heavy chain produces 1 light meromyosin (LMM) and 1 heavy meromyosin (HMM). HMM can be further cleaved into 2 globular sub-fragments (S1) and 1 rod-shaped sub-fragment (S2). In mammals at least 10 different myosin heavy chain (MYH) isoforms have been described from striated, smooth, and non-muscle cells. These isoforms show expression that is spatially and temporally regulated during development. Myosin-2 contains an N-terminal SH3-like domain (aa 33-82), a myosin motor domain (aa 86-784), and an IQ domain (aa 787-816). It also contains 2 actin binding regions (aa 661-683 and 763-777). Mutations in MYH2 gene are known to cause Proximal myopathy and ophthalmoplegia (MYPOP), a muscular disorder characterized by mild-to-moderate muscle weakness and predominance of type 1 fibers and small or absent type 2A fibers.
~220 kDa observed; 223.04 kDa calculated. Uncharacterized bands may be observed in some lysate(s).

Immunogen

KLH-conjugated linear peptide corresponding to 29 amino acids from the C-terminal half of human Myosin-2

Application

Anti-MYH-2, clone 8F72C8, Cat. No. MABT848, is a rat monoclonal antibody that detects Myosin-2 and has been tested for use in Immunofluorescence, Immunohistochemistry (Paraffin), and Western Blotting.
Immunohistochemistry Analysis: A representative lot detected MYH-2 in Immunohistochemistry applications (Sawano, S., et. al. (2016). PLoS One. 11(11):e0166080).

Western Blotting Analysis: A representative lot detected MYH-2 in Western Blotting applications (Sawano, S., et. al. (2016). PLoS One. 11(11):e0166080).

Immunofluorescence Analysis: A representative lot detected MYH-2 in Immunofluorescence applications (Sawano, S., et. al. (2016). PLoS One. 11(11):e0166080).

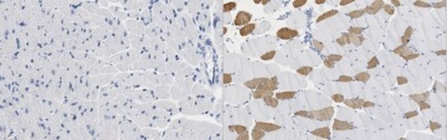
Immunohistochemistry Analysis: A 1:25 dilution from a representative lot detected MYH-2 in mouse heart and mouse skeletal muscle tissues.

Biochem/physiol Actions

Clone 8F72C8 is a rat monoclonal antibody that detects Myosin-2 in mouse and rat muscle. It targets an epitope within 29 amino acids from the C-terminal half.

Physical form

Format: Purified

Analysis Note

Evaluated by Western Blotting in mouse soleus muscle tissue lysate.

Western Blotting Analysis: 1 µg/mL of this antibody detected MYH-2 in mouse soleus muscle tissue lysate.

Other Notes

Concentration: Please refer to lot specific datasheet.


Still not finding the right product?

试用我们的 产品选型工具 工具缩小选择范围


存储类别

12 - Non Combustible Liquids

wgk

WGK 1

flash_point_f

Not applicable

flash_point_c

Not applicable

法规信息

新产品

此项目有



分析证书(COA)

输入产品批号来搜索 分析证书(COA) 。批号可以在产品标签上"批“ (Lot或Batch)字后找到。

已有该产品?

在文件库中查找您最近购买产品的文档。

访问文档库



全球贸易项目编号

货号GTIN
MABT848-100UG04054839495915
MABT848-25UG04054839495922