biological source
mouse
conjugate
unconjugated
antibody form
culture supernatant
antibody product type
primary antibodies
clone
MRQ-56, monoclonal
description
For In Vitro Diagnostic Use in Select Regions (See Chart)
form
buffered aqueous solution
species reactivity
human
packaging
vial of 0.1 mL concentrate (107M-24), vial of 0.5 mL concentrate (107M-25), bottle of 1.0 mL predilute (107M-27), vial of 1.0 mL concentrate (107M-26), bottle of 7.0 mL predilute (107M-28)
manufacturer/tradename
Cell Marque®
technique(s)
immunohistochemistry (formalin-fixed, paraffin-embedded sections): 1:100-1:500
isotype
IgG1
control
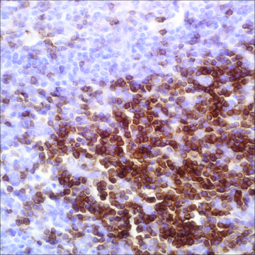
lymph node, peripheral T-cell lymphoma, tonsil
shipped in
wet ice
storage temp.
2-8°C
visualization
membranous
Gene Information
human ... CD7(924)
General description
CD7 antigen is a cell surface glycoprotein of 40 kD expressed on the surface of immature and mature T-cells as well as natural Killer (NK) cells. It is a member of the immunoglobulin gene superfamily and is the first T-cell lineage associated antigen to appear in T-cell ontogeny, being expressed in T-cell precursors (preceding CD2 expression), and in myeloid precursors, in fetal liver and bone marrow, and persisting in circulating mature T-cells. While its precise function is not known, it is suggested that the molecule functions as an Fc receptor for IgM. CD7 is the most consistently expressed T-cell antigen in lymphoblastic lymphomas/leukemias, and is therefore anti-CD7 is a useful marker in the identification of such neoplastic proliferations. In mature post-thymic T-cell neoplasms, CD7 is the most common pan-T-antigen to be aberrantly expressed, which is a useful pointer to a neoplastic T-cell process. CD7 has been shown to be immunoexpressed in 85% of mature peripheral T-cells, the majority of post-thymic T-cells, NK cells, T-cell lymphoblastic leukemia/lymphoma, acute myeloid leukemia, and chronic myelogenous leukemia, CD7 is conspicuously absent in adult T-cell leukemia/lymphoma and is not expressed in mycosis fungoides.
Physical form
Solution in Tris Buffer, pH 7.3-7.7, with 1% BSA and <0.1% Sodium Azide
Preparation Note
Download the IFU specific to your product lot and formatNote: This requires a keycode which can be found on your packaging or product label.
Analysis Note
![]() IVD | ![]() IVD | ![]() IVD | ![]() RUO |
Other Notes
CD7 Positive Control Slides, Product No. 107S, are available for immunohistochemistry (formalin-fixed, paraffin-embedded sections).
For Technical Service please contact: 800-665-7284 or email: service@cellmarque.com
Legal Information
Cell Marque is a registered trademark of Merck KGaA, Darmstadt, Germany
Still not finding the right product?
试用我们的 产品选型工具 工具缩小选择范围
存储类别
12 - Non Combustible Liquids
wgk
WGK 2
flash_point_f
Not applicable
flash_point_c
Not applicable
法规信息
监管及禁止进口产品
此项目有
Philip Went et al.
Journal of clinical oncology : official journal of the American Society of Clinical Oncology, 24(16), 2472-2479 (2006-04-26)
Although peripheral T-cell lymphoma, unspecified (PTCL/U), is the most common T-cell tumor in Western countries, no study to date has been based on the application of a wide panel of markers to a large series of patients and assessed the
Emmilia Hodak et al.
Journal of the American Academy of Dermatology, 55(2), 276-284 (2006-07-18)
Mycosis fungoides (MF) is an epidermotropic cutaneous T-cell lymphoma in which the tumor cells express a mature T-helper memory phenotype, ie, CD3(+), CD4(+), CD8(-), CD45RO(+), with a T-cell receptor (TCR) of the alpha/beta heterodimer. A minority of patients have an
Eric C Vonderheid
Journal of cutaneous pathology, 33 Suppl 1, 27-42 (2006-01-18)
Erythrodermic cutaneous T-cell lymphoma (E-CTCL) is the cause of less than 5% of all cases of generalized erythroderma. A methodical evaluation of skin, blood, and lymph node samples using standard histology, immunohistochemistry (IHC), flow cytometry (FC), and molecular analysis for
全球贸易项目编号
| 货号 | GTIN |
|---|---|
| 107M-24 | 0841683123224 |
| 107M-26-RUO | 04061836548988 |
| 107M-27 | 0841683123255 |
| 107M-25 | 0841683123231 |
| 107M-26 | 0841683123248 |
| 107M-28 | 0841683123262 |



