biological source
rabbit
conjugate
unconjugated
antibody form
culture supernatant
antibody product type
primary antibodies
clone
EPR3653, monoclonal
description
For In Vitro Diagnostic Use in Select Regions (See Chart)
form
buffered aqueous solution
species reactivity
human
packaging
vial of 0.1 mL concentrate (114R-14), vial of 0.5 mL concentrate (114R-15), bottle of 1.0 mL predilute (114R-17), vial of 1.0 mL concentrate (114R-16), bottle of 7.0 mL predilute (114R-18)
manufacturer/tradename
Cell Marque®
technique(s)
immunohistochemistry (formalin-fixed, paraffin-embedded sections): 1:50-1:200
isotype
IgG
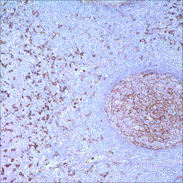
control
tonsil
shipped in
wet ice
storage temp.
2-8°C
visualization
cytoplasmic, membranous
Gene Information
human ... CD14(929)
General description
CD14 is a surface protein preferentially expressed on monocytes/macrophages. It binds lipopolysaccharide binding protein and recently has been shown to bind apoptotic cells. Anti-CD14 antibody labels Kupffer cells in liver sinusoids. In lymphoid tissues, dendritic cells are distinctly stained. Most other normal tissues are negative. This antibody labels monocyte-macrophages and Langerhans cells in Langerhans cell histiocytosis. Tumor cells are positive in monocytic leukemia and true histiocytic lymphomas for CD14. Sinusoidal histiocytes express CD14 and CD 169, whereas most of the other monocyte-derived cells in reactive lymph node lack these markers. Anti-CD14 labels numerous diffuse large B-cell lymphomas and splenic marginal zone lymphoma but not in other B-cell lymphomas.
Physical form
Solution in Tris Buffer, pH 7.3-7.7, with 1% BSA and <0.1% Sodium Azide
Preparation Note
Download the IFU specific to your product lot and formatNote: This requires a keycode which can be found on your packaging or product label.
Analysis Note
![]() IVD | ![]() IVD | ![]() IVD | ![]() RUO |
Other Notes
CD14 Positive Control Slides, Product No. 114S, are available for immunohistochemistry (formalin-fixed, paraffin-embedded sections).
For Technical Service please contact: 800-665-7284 or email: service@cellmarque.com
Legal Information
Cell Marque is a registered trademark of Merck KGaA, Darmstadt, Germany
Still not finding the right product?
试用我们的 产品选型工具 工具缩小选择范围
法规信息
监管及禁止进口产品
此项目有
B Steiniger et al.
Immunology, 92(2), 307-316 (1998-01-01)
The microanatomical structure of human and rat splenic white pulp is compared, with special emphasis on the localization of the marginal zone occupied by immunoglobulin M (IgM)+ IgD-/dull B lymphocytes and its specialized macrophages. Our study reveals that in contrast
Béatrice Marmey et al.
Human pathology, 37(1), 68-77 (2005-12-20)
The mononuclear phagocyte system of human lymphoid tissue comprises macrophages and dendritic cells (DCs). The heterogeneity of the non-DC mononuclear phagocyte population in human lymphoid tissue has been little addressed. Here, we studied the expression of 2 monocyte-derived markers, CD14
P J Buckley et al.
The American journal of pathology, 128(3), 505-520 (1987-09-01)
Macrophages (M phi s) are an important component of the immune response and mediate numerous other functions. Phenotypic and functional subsets of circulating monocytes have been described, but few similar studies have analyzed M phi s in human tissues. By
全球贸易项目编号
| 货号 | GTIN |
|---|---|
| 114R-14 | 0841683123576 |
| 114R-15 | 0841683123583 |
| 114R-16 | 0841683123590 |
| 114R-16-RUO | 04061836549176 |
| 114R-17 | 0841683123606 |
| 114R-18 | 0841683123613 |



