biological source
mouse
conjugate
unconjugated
antibody form
culture supernatant
antibody product type
primary antibodies
clone
MMA, monoclonal
description
For In Vitro Diagnostic Use in Select Regions (See Chart)
form
buffered aqueous solution
species reactivity
human
packaging
vial of 0.1 mL concentrate (115M-14), vial of 0.5 mL concentrate (115M-15), bottle of 1.0 mL predilute (115M-17), vial of 1.0 mL concentrate (115M-16), bottle of 7.0 mL predilute (115M-18)
manufacturer/tradename
Cell Marque®
technique(s)
immunohistochemistry (formalin-fixed, paraffin-embedded sections): 1:25-1:100
isotype
IgM
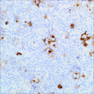
control
Hodgkin lymphoma
shipped in
wet ice
storage temp.
2-8°C
visualization
cytoplasmic, membranous
Gene Information
human ... FUT4(2526)
General description
A positive reaction for CD15 combined with a negative reaction for LCA and other B and T lineage markers provides support for Reed-Sternberg cells found in Hodgkin′s disease. Also this antibody does not detect mesotheliomas making it a more frequently used antibody to distinguish epithelial mesothelioma from adenocarcinoma.
Physical form
Solution in Tris Buffer, pH 7.3-7.7, with 1% BSA and <0.1% Sodium Azide
Preparation Note
Download the IFU specific to your product lot and formatNote: This requires a keycode which can be found on your packaging or product label.
Analysis Note
![]() IVD | ![]() IVD | ![]() IVD | ![]() RUO |
Other Notes
CD15 Positive Control Slides, Product No. 115S, are available for immunohistochemistry (formalin-fixed, paraffin-embedded sections).
For Technical Service please contact: 800-665-7284 or email: service@cellmarque.com
Legal Information
Cell Marque is a registered trademark of Merck KGaA, Darmstadt, Germany
Still not finding the right product?
试用我们的 产品选型工具 工具缩小选择范围
法规信息
监管及禁止进口产品
此项目有
G S Pinkus et al.
The American journal of pathology, 119(2), 244-252 (1985-05-01)
Monoclonal antibody to Leu-M1, a granulocyte-related differentiation antigen, represents a highly effective reagent for detection of diagnostic Reed-Sternberg (R-S) cells and variants in paraffin-embedded tissues of Hodgkin's disease. In 69 of 73 cases of Hodgkin's disease (41 nodular sclerosis, 25
R Wieczorek et al.
The American journal of pathology, 121(3), 374-380 (1985-12-01)
The Leu-M1 antigen has been recently proposed as a valuable immunodiagnostic marker of the Reed-Sternberg cells of Hodgkin's disease and to be particularly helpful is distinguishing Hodgkin's disease from other lymphoproliferative disorders such as peripheral T-cell lymphomas. In this study
S M Hsu et al.
American journal of clinical pathology, 82(1), 29-32 (1984-07-01)
It has been suggested that the malignant cells of Hodgkin's disease (HD), Reed-Sternberg cells, and their mononuclear variants may be related to cells of the monocyte-histiocyte system. To test this hypothesis, 20 cases of HD were tested with nine antibodies
全球贸易项目编号
| 货号 | GTIN |
|---|---|
| 115M-14 | 0841683123637 |
| 115M-16 | 0841683123651 |
| 115M-15 | 0841683123644 |
| 115M-16-RUO | 04061836567446 |
| 115M-17 | 0841683123668 |
| 115M-18 | 0841683123675 |



