biological source
mouse
conjugate
unconjugated
antibody form
culture supernatant
antibody product type
primary antibodies
clone
PWS44, monoclonal
description
For In Vitro Diagnostic Use in Select Regions (See Chart)
form
buffered aqueous solution
species reactivity
human
packaging
vial of 0.1 mL concentrate (133M-14), vial of 0.5 mL concentrate (133M-15), bottle of 1.0 mL predilute (133M-17), vial of 1.0 mL concentrate (133M-16), bottle of 7.0 mL predilute (133M-18)
manufacturer/tradename
Cell Marque®
technique(s)
immunohistochemistry (formalin-fixed, paraffin-embedded sections): 1:20-1:80
isotype
IgG2b
control
acute myeloid leukemia with monocytic
shipped in
wet ice
storage temp.
2-8°C
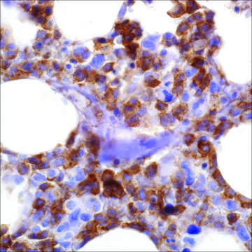
visualization
membranous
Gene Information
human ... CD33(945)
General description
CD33 (gp67, or siglec-3) is a 67 kDa glycosylated transmembrane protein that is a member of the sialic acid-binding immunoglobulin-like lectin (siglec) family. The genomic locus of this protein has been mapped to chromosome 1 9q1 3.1-3.5. In maturing granulocytic cells, there is progressive down-regulation of CD33 from the blast stage to mature neutrophils. However, in monocytes and macrophages/histiocytes, strong expression of CD33 is maintained throughout maturation. Therefore, the positive control tissue should be bone marrow myeloid cells (especially myeloid precursors), liver Kupffer cells, lung alveolar macrophages, or placental syncytiotrophoblasts. Detection of CD33 using monoclonal antibodies has been a critical component in immunophenotyping acute leukemias, particularly acute myeloid leukemias. This anti-CD33 may be particularly advantageous for cases of acute myeloid leukemia, minimally differentiated (AML-M0) and acute monocytic leukemia (AML-M5), in which other paraffin section markers of myeloid differentiation (such as anti-myeloperoxidase) may be negative. However, anti-CD33 staining cannot be used in isolation and must be correlated with other myeloid and lymphoid markers because cases of myeloid antigen-positive acute lymphoblastic leukemia may show bona fide CD33 expression. In characterizing a blast population, this antibody seems to be most useful when the percentage of blasts is high, such as in acute leukemias. It is not a helpful marker in estimating the percentage of blasts, such as in myelodysplastic syndromes or chronic myeloproliferative disorders, because other early granulocytic precursors such as promyelocytes and myelocytes will also stain with anti-CD33. Acute myeloid leukemias that involve extramedullary tissues frequently have monocytic differentiation. A definitive immunophenotype is often difficult to obtain because these cases may be negative or only focally positive for myeloperoxidase, and the currently available monocytic markers (anti-CD68 and anti-lysozyme) have limited specificity. All cases of myeloid sarcoma in this study showed anti-CD33 positivity in the myeloid and monocytic subsets, allowing for easy interpretation. The excellent sensitivity and specificity for myelomonocytic lineage makes this anti-CD33 a useful diagnostic marker for myeloid sarcoma. In addition, this anti-CD33 may be useful in determining CD33 expression on previous paraffin-embedded material if flow cytometry studies were not initially performed in patients with acute leukemia. Analysis of CD33 expression in paraffin-embedded bone marrow biopsy specimens provides another alternative when evaluating acute leukemias.
Physical form
Solution in Tris Buffer, pH 7.3-7.7, with 1% BSA and <0.1% Sodium Azide
Preparation Note
Download the IFU specific to your product lot and formatNote: This requires a keycode which can be found on your packaging or product label.
Analysis Note
![]() IVD | ![]() IVD | ![]() IVD | ![]() RUO |
Other Notes
For Technical Service please contact: 800-665-7284 or email: service@cellmarque.com
Legal Information
Cell Marque is a registered trademark of Merck KGaA, Darmstadt, Germany
Still not finding the right product?
试用我们的 产品选型工具 工具缩小选择范围
存储类别
12 - Non Combustible Liquids
wgk
WGK 2
flash_point_f
Not applicable
flash_point_c
Not applicable
法规信息
监管及禁止进口产品
此项目有
R C Braylan et al.
Cytometry, 46(1), 23-27 (2001-03-10)
At the ISAC 2000 Congress, the Clinical Cytometry Society organized a meeting of international experts to reach consensus on the minimum number of antibodies required for a full evaluation of hematologic and lymphoid neoplasias. A questionnaire was distributed prior to
Hong Chang et al.
Leukemia research, 28(1), 43-48 (2003-11-25)
We investigated the prognostic relevance of immunophenotype and other clinical pathological features in 379 adult patients with de novo (acute myeloid leukemia) AML diagnosed and treated at our institution during an 8-year period. Acute promyelocytic leukemia (APL) cases were excluded
Kylie D Mason et al.
Blood reviews, 20(2), 71-82 (2005-09-28)
Immunophenotyping of acute myeloid leukemia has controversial implications with regards to prognosis. Many associations have been described between individual antigen expression on myeloid blasts and prognosis, however few are consistent. Markers with a consistent prognostic association that have been demonstrated
全球贸易项目编号
| 货号 | GTIN |
|---|---|
| 133M-14 | 0841683124566 |
| 133M-15 | 0841683124573 |
| 133M-16 | 0841683124580 |
| 133M-16-RUO | 04061836539306 |
| 133M-17 | 0841683124597 |
| 133M-18 | 0841683124603 |



