biological source
mouse
conjugate
unconjugated
antibody form
culture supernatant
antibody product type
primary antibodies
clone
B-A38, monoclonal
description
For In Vitro Diagnostic Use in Select Regions (See Chart)
form
buffered aqueous solution
species reactivity
human
packaging
vial of 0.1 mL concentrate (138M-14), vial of 0.5 mL concentrate (138M-15), bottle of 1.0 mL predilute (138M-17), vial of 1.0 mL concentrate (138M-16), bottle of 7.0 mL predilute (138M-18)
manufacturer/tradename
Cell Marque®
technique(s)
immunohistochemistry (formalin-fixed, paraffin-embedded sections): 1:25-1:200
isotype
IgG1
control
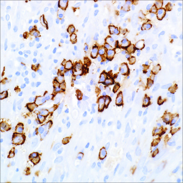
tonsil
shipped in
wet ice
storage temp.
2-8°C
visualization
membranous
Gene Information
human ... SDC1(6382)
General description
Physical form
Preparation Note
Analysis Note
![]() IVD | ![]() IVD | ![]() IVD | ![]() RUO |
Other Notes
Legal Information
Still not finding the right product?
试用我们的 产品选型工具 工具缩小选择范围
存储类别
12 - Non Combustible Liquids
wgk
WGK 2
flash_point_f
Not applicable
flash_point_c
Not applicable
法规信息
此项目有
相关内容
诊断性免疫组化是一系列用于识别组织异常、建立预后并提示治疗方式的技术。其基本原理是一种抗原-抗体结合反应,利用酶或荧光染料来标记抗体,呈现出组织或组织切片中特定抗原的位置和分布。
Diagnostic immunohistochemistry overview highlights its importance in cancer diagnosis and detecting infectious diseases in modern clinical pathology.
全球贸易项目编号
| 货号 | GTIN |
|---|---|
| 138M-16 | 0841683124764 |
| 138M-16-RUO | 04061836567538 |
| 138M-14 | 0841683124733 |
| 138M-15 | 0841683124740 |
| 138M-17 | 0841683104957 |
| 138M-18 | 0841683124771 |



