biological source
mouse
conjugate
unconjugated
antibody form
diluted ascites fluid
antibody product type
primary antibodies
clone
NK-1, monoclonal
description
For In Vitro Diagnostic Use in Select Regions (See Chart)
form
buffered aqueous solution
species reactivity
human
packaging
vial of 0.1 mL concentrate (157M-94), vial of 0.5 mL concentrate (157M-95), bottle of 1.0 mL predilute (157M-97), vial of 1.0 mL concentrate (157M-96), bottle of 7.0 mL predilute (157M-98)
manufacturer/tradename
Cell Marque®
technique(s)
immunohistochemistry (formalin-fixed, paraffin-embedded sections): 1:100-1:500
isotype
IgMκ
control
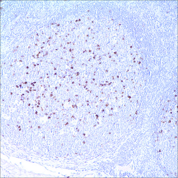
tonsil
shipped in
wet ice
storage temp.
2-8°C
visualization
membranous
Gene Information
human ... B3GAT1(27087)
General description
CD57 is a marker expressed in the membrane of NK cells and other T cells. It is often used in the identification of nodular lymphocyte predominant Hodgkin lymphoma (NLPHL) to visualize the small T-cells that ring the LP cells (rosettes of follicular T cells around the large neoplastic LP cells). These features can be used to distinguish NLPHL from T-cell/histiocyte-rich large B-cell lymphoma, which usually shows no rosettes of CD57-positive follicular T-cells around the large tumor cells. Anti-CD57 also reacts with neuroendocrine cells and their derived tumors, including neuroendocrine tumors of diverse origins, pheochromocytomas, paragangliomas, medulloblastoma, and varying proportions of neural tumors such as schwannomas, neurofibromas, neuromas, and granular cell tumors. However, anti-CD57 lacks the specificity of chromogranin and synaptophysin for detecting neuroendocrine neoplasms and therefore should be considered in a panel. Anti-CD57 can also be useful in separating thymoma from thymic carcinoma when combined with a panel that includes antibodies against CD5 and CD117.
CD57, also known as HNK-1 (human natural killer-1), is a cell surface carbohydrate epitope expressed on terminally differentiated T-cells and subsets of natural killer (NK) cells. It has also been identified in cells of neural crest origin. CD57 antibodies are often used to visualize non-neoplastic bystander T-cells. These T-cells have been known to form rosettes around neoplastic lymphocyte-predominant (LP) cells in nodular lymphocyte-predominant Hodgkin lymphoma (NLPHL).
Physical form
Solution in Tris Buffer, pH 7.3-7.7, with 1% BSA and <0.1% Sodium Azide
Preparation Note
Download the IFU specific to your product lot and formatNote: This requires a keycode which can be found on your packaging or product label.
Analysis Note
![]() IVD | ![]() IVD | ![]() IVD | ![]() RUO |
Other Notes
CD57 Positive Control Slides, Product No. 157S, are available for immunohistochemistry (formalin-fixed, paraffin-embedded sections).
For Technical Service please contact: 800-665-7284 or email: service@cellmarque.com
Legal Information
Cell Marque is a registered trademark of Merck KGaA, Darmstadt, Germany
Still not finding the right product?
试用我们的 产品选型工具 工具缩小选择范围
法规信息
监管及禁止进口产品
此项目有
商品
结直肠癌是男性和女性中第三大常见癌症。预计2016年将发生136,000例结直肠癌。
Colorectal cancer is the third most common cancer in both men and women. An estimated 136,000 cases of colorectal cancer are expected to occur in 2016.
Diagnostic Immunohistochemistry: Theranostic and Genomic Applications, 324-324 (2014)
Ludmila Boudová et al.
Blood, 102(10), 3753-3758 (2003-07-26)
Nodular lymphocyte-predominant Hodgkin lymphoma (NLPHL) and T-cell/histiocyte-rich B-cell lymphoma (T/HRBCL) are distinct tumors and are treated differently. They are linked by a morphologic and probably a biologic continuum, which renders the differential diagnosis difficult. To develop criteria to distinguish the
Susanne Van Eeden et al.
Human pathology, 33(11), 1126-1132 (2002-11-28)
Metastasized neuroendocrine tumors of the gastrointestinal tract and of unknown origin show a highly variable clinical course. Within this group, low-grade and high-grade malignant tumors can be recognized based on the revised classification of neuroendocrine tumors of the lung, pancreas
全球贸易项目编号
| 货号 | GTIN |
|---|---|
| 157M-95 | 0841683125167 |
| 157M-98 | 0841683125198 |
| 157M-94 | 0841683125150 |
| 157M-96 | 0841683125174 |
| 157M-96-RUO | 04061836550240 |
| 157M-97 | 0841683125181 |



