biological source
mouse
conjugate
unconjugated
antibody form
culture supernatant
antibody product type
primary antibodies
clone
2f2, monoclonal
description
For In Vitro Diagnostic Use in Select Regions (See Chart)
form
buffered aqueous solution
species reactivity
human
packaging
vial of 0.1 mL concentrate (161M-14), vial of 0.5 mL concentrate (161M-15), bottle of 1.0 mL predilute (161M-17), vial of 1.0 mL concentrate (161M-16), bottle of 7.0 mL predilute (161M-18)
manufacturer/tradename
Cell Marque®
technique(s)
immunohistochemistry (formalin-fixed, paraffin-embedded sections): 1:25-1:100
isotype
IgG1
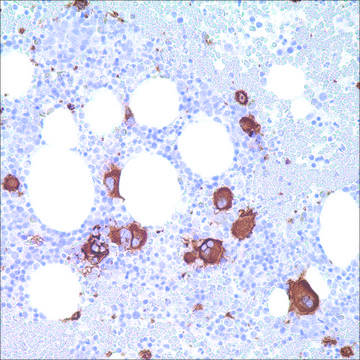
control
bone marrow
shipped in
wet ice
storage temp.
2-8°C
visualization
cytoplasmic
Gene Information
human ... ITGB3(3690)
General description
CD61 also known as integrin beta chain beta 3 (ITGB3) is an integrin cell-surface protein associated with cellular adhesion and cell-surface mediated signaling. Immunohistochemical staining for CD61 can be useful in evaluating normal and abnormal megakaryocytes, which can aid in the identification of some hematopoietic malignancies. Anti-CD61 reactivity is also seen in platelets, osteoclasts, and macrophages.
Physical form
Solution in Tris Buffer, pH 7.3-7.7, with 1% BSA and <0.1% Sodium Azide
Preparation Note
Download the IFU specific to your product lot and formatNote: This requires a keycode which can be found on your packaging or product label.
Analysis Note
![]() IVD | ![]() IVD | ![]() IVD | ![]() RUO |
Other Notes
CD61 Positive Control Slides, Product No. 161S, are available for immunohistochemistry (formalin-fixed, paraffin-embedded sections).
For Technical Service please contact: 800-665-7284 or email: service@cellmarque.com
Legal Information
Cell Marque is a registered trademark of Merck KGaA, Darmstadt, Germany
Still not finding the right product?
试用我们的 产品选型工具 工具缩小选择范围
存储类别
12 - Non Combustible Liquids
wgk
WGK 2
flash_point_f
Not applicable
flash_point_c
Not applicable
法规信息
监管及禁止进口产品
此项目有
J Thiele et al.
Analytical and quantitative cytology and histology, 12(4), 285-289 (1990-08-01)
On routinely processed trephine biopsies of the normal human bone marrow derived from 15 patients, immunostaining with a monoclonal antibody against platelet glycoprotein IIIa (Y2/51) and morphometric measurements were performed for the determination of megakaryocyte precursor cells. Based on cell
A Duperray et al.
Blood, 74(5), 1603-1611 (1989-10-01)
The platelet membrane glycoproteins GPIIb and GPIIIa form a calcium-dependent heterodimer that functions as a receptor for adhesive proteins on stimulated platelets. In this study, we have investigated the kinetics of the assembly reaction that result in GPIIb-IIIa dimerization. Pulse-chase
J Thiele et al.
Virchows Archiv. B, Cell pathology including molecular pathology, 58(4), 295-302 (1990-01-01)
To determine the number of megakaryocyte precursors (pro- and megakaryoblasts), an immunomorphometric study was performed on paraffin-embedded trephine biopsies of the bone marrow using a monoclonal antibody against platelet glycoprotein IIIa. Eighteen control specimens from patients with no evidence of
全球贸易项目编号
| 货号 | GTIN |
|---|---|
| 161M-15 | 0841683125228 |
| 161M-16 | 0841683125235 |
| 161M-16-RUO | 04061836539771 |
| 161M-18 | 0841683125259 |
| 161M-14 | 0841683125211 |
| 161M-17 | 0841683125242 |



