biological source
mouse
conjugate
unconjugated
antibody form
culture supernatant
antibody product type
primary antibodies
clone
Kp-1, monoclonal
description
For In Vitro Diagnostic Use in Select Regions (See Chart)
form
buffered aqueous solution
species reactivity
human
packaging
vial of 0.1 mL concentrate (168M-94), vial of 0.5 mL concentrate (168M-95), bottle of 1.0 mL predilute (168M-97), vial of 1.0 mL concentrate (168M-96), bottle of 7.0 mL predilute (168M-98)
manufacturer/tradename
Cell Marque®
technique(s)
immunohistochemistry (formalin-fixed, paraffin-embedded sections): 1:100-1:500
isotype
IgG1κ
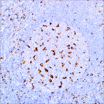
control
tonsil
shipped in
wet ice
storage temp.
2-8°C
visualization
cytoplasmic
Gene Information
human ... CD68(968)
General description
Anti-CD68 marks cells of monocyte/macrophage lineage. This antibody is capable of staining monocytes, Kupffer cells, osteoclasts, granulocytes and their precursors; lymphomas are negative or show a few granules. This antibody may be useful for the identification of myelomonocytic and histiocytic tumors. Anti-CD68 may help to distinguish malignant fibrous histiocytoma from other pleomorphic sarcomas. However, since this detects a formalin-resistant epitope that may be associated with lysosomal granules, other lysosome-rich cells may also stain.
Physical form
Solution in Tris Buffer, pH 7.3-7.7, with 1% BSA and <0.1% Sodium Azide
Preparation Note
Download the IFU specific to your product lot and formatNote: This requires a keycode which can be found on your packaging or product label.
Analysis Note
![]() IVD | ![]() IVD | ![]() IVD | ![]() RUO |
Other Notes
CD68 Positive Control Slides, Product No. 168S, are available for immunohistochemistry (formalin-fixed, paraffin-embedded sections).
For Technical Service please contact: 800-665-7284 or email: service@cellmarque.com
Legal Information
Cell Marque is a registered trademark of Merck KGaA, Darmstadt, Germany
Still not finding the right product?
试用我们的 产品选型工具 工具缩小选择范围
法规信息
监管及禁止进口产品
此项目有
F Facchetti et al.
Histopathology, 19(2), 141-145 (1991-08-01)
The monoclonal antibody KP1, which recognizes the CD 68 antigen on macrophages and myeloid precursors, was tested on 28 malignant (primary and metastatic) melanomas, 28 naevi, and 17 skin biopsies showing either normal (10) or hyperplastic melanocytes (7). Sixteen of
J L Snow et al.
The British journal of dermatology, 133(1), 71-76 (1995-07-01)
The clinical, histopathological, and immunophenotypic characteristics of four cases of malignancy-associated multicentric reticulohistiocytosis (MMR) and one case each of diffuse cutaneous reticulohistiocytosis (DCR) and isolated reticulohistiocytoma (IR), are reviewed. In all four cases of MMR the cutaneous lesions and joint
B Vergier et al.
Blood, 95(7), 2212-2218 (2000-03-25)
The course of mycosis fungoides (MF) is indolent except when transformation to a large T-cell lymphoma occurs. The diagnosis of transformed MF (T-MF) relies on the presence of more than 25% of large cells on biopsy of an MF lesion.
全球贸易项目编号
| 货号 | GTIN |
|---|---|
| 168M-96 | 0841683125358 |
| 168M-96-RUO | 04061836539825 |
| 168M-94 | 0841683125334 |
| 168M-95 | 0841683125341 |
| 168M-97 | 0841683125365 |
| 168M-98 | 0841683125372 |



